Telefon:
+49 (0)241 95 163 153
Fax:
+49 (0)241 95 163 155
E-Mail:
orders@antikoerper-online.de

CRTC3 Antikörper

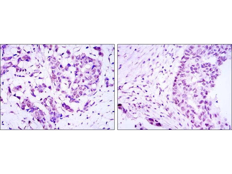
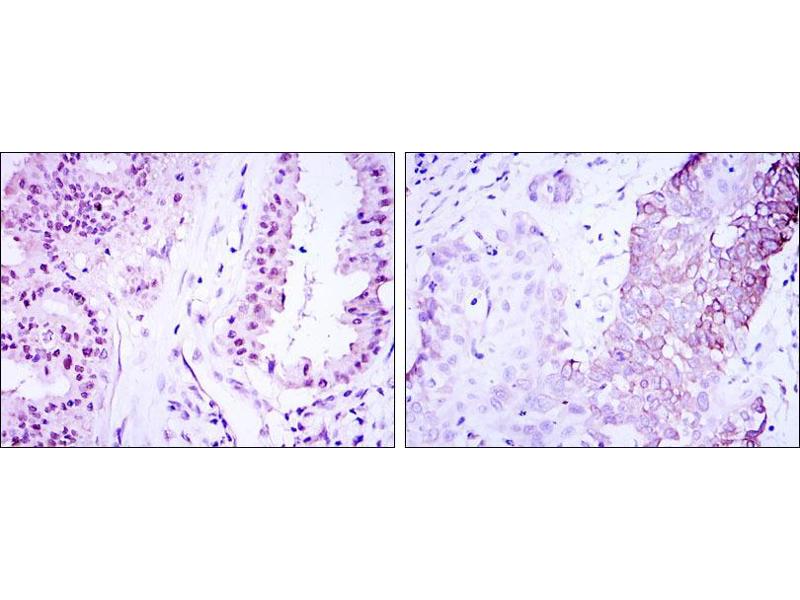
Es sind 2+ Publikationen für dieses Produkt verfügbar. Der Maus Monoklonal anti-CRTC3 Antikörper wird verwendet zum Nachweis von CRTC3 in Proben von Human und Affe. Er wurde validiert für WB, IHC, ICC und ELISA.
Produktnummer ABIN969068
657,84 €
Zzgl. Versandkosten 20,00 € und MwSt
100 μL
Lieferung nach: Deutschland
Lieferung in 7 bis 10 Werktagen

Kurzübersicht für CRTC3 Antikörper (ABIN969068)

Target

Alle CRTC3 Antikörper anzeigen
CRTC3 (CREB Regulated Transcription Coactivator 3 (CRTC3))

Reaktivität

  • 46
  • 16
  • 14
  • 2
  • 1
  • 1
  • 1
  • 1
Human, Affe

Wirt

  • 44
  • 2
Maus

Klonalität

  • 29
  • 17
Monoklonal

Konjugat

  • 20
  • 3
  • 2
  • 2
  • 1
  • 1
  • 1
  • 1
  • 1
  • 1
  • 1
  • 1
  • 1
  • 1
  • 1
  • 1
  • 1
  • 1
  • 1
  • 1
  • 1
  • 1
  • 1
Dieser CRTC3 Antikörper ist unkonjugiert

Applikation

  • 38
  • 21
  • 16
  • 15
  • 13
  • 13
  • 13
  • 6
  • 4
  • 3
  • 2
  • 1
Western Blotting (WB), Immunohistochemistry (IHC), Immunocytochemistry (ICC), ELISA

Klon

5G9
  • Verwendungszweck

    CRTC3 Antibody

    Aufreinigung

    Ascitic fluid

    Immunogen

    Purified recombinant fragment of human CRTC3 expressed in E. Coli.

    Isotyp

    IgG1
  • Applikationshinweise

    ELISA: 1/10000

    ICC: 1/200 - 1/1000

    Beschränkungen

    Nur für Forschungszwecke einsetzbar
  • Format

    Liquid

    Buffer

    Ascitic fluid containing 0.03 % sodium azide.

    Konservierungsmittel

    Sodium azide

    Vorsichtsmaßnahmen

    This product contains Sodium azide: a POISONOUS AND HAZARDOUS SUBSTANCE which should be handled by trained staff only.

    Lagerung

    4 °C,-20 °C

    Informationen zur Lagerung

    Store at 4°C short term. Aliquot and store at -20°C long term. Avoid freeze/thaw cycles.
  • Nakayama, Miyabe, Okabe, Sakuma, Ijichi, Hasegawa, Nagatsuka, Shimozato, Inagaki: "Clinicopathological significance of the CRTC3-MAML2 fusion transcript in mucoepidermoid carcinoma." in: Modern pathology : an official journal of the United States and Canadian Academy of Pathology, Inc, Vol. 22, Issue 12, pp. 1575-81, (2009) (PubMed).

    Fehr, Röser, Heidorn, Hallas, Löning, Bullerdiek: "A new type of MAML2 fusion in mucoepidermoid carcinoma." in: Genes, chromosomes & cancer, Vol. 47, Issue 3, pp. 203-6, (2008) (PubMed).

  • Target

    CRTC3 (CREB Regulated Transcription Coactivator 3 (CRTC3))

    Andere Bezeichnung

    CRTC3

    Hintergrund

    Transcriptional coactivator for CREB1 which activates transcription through both consensus and variant cAMP response element (CRE) sites. Acts as a coactivator, in the SIK/TORC signaling pathway, being active when dephosphorylated and acts independently of CREB1 'Ser-133' phosphorylation. Enhances the interaction of CREB1 with TAF4. Regulates the expression of specific CREB-activated genes such as the steroidogenic gene, StAR. Potent coactivator of PPARGC1A and inducer of mitochondrial biogenesis in muscle cells. Also coactivator for TAX activation of the human T-cell leukemia virus type 1 (HTLV-1) long terminal repeats (LTR) .Tissue specificity: Predominantly expressed in B and T lymphocytes. Highest levels in lung. Also expressed in brain, colon, heart, kidney, ovary, and prostate. Weak expression in liver, pancreas, muscle, small intestine, spleen and stomach.

    Molekulargewicht

    68 kDa

    Gen-ID

    64784

    UniProt

    Q6UUV7

    Pathways

    SARS-CoV-2 Protein Interaktom, Phosphorylierungen bei SARS-CoV-2 Infektion
Sie sind hier:
Chat with us!