PAPPA Antikörper (AA 1321-1460)
Kurzübersicht für PAPPA Antikörper (AA 1321-1460) (ABIN718931)
Target
Alle PAPPA Antikörper anzeigenReaktivität
Wirt
Klonalität
Konjugat
Applikation
-
-
Bindungsspezifität
- AA 1321-1460
-
Kreuzreaktivität
- Human, Maus
-
Homologie
- Rat,Dog,Cow,Pig,Horse,Rabbit
-
Aufreinigung
- Purified by Protein A.
-
Immunogen
- KLH conjugated synthetic peptide derived from human PAPPA
-
Isotyp
- IgG
-
-
-
-
Applikationshinweise
-
WB 1:300-5000
ELISA 1:500-1000
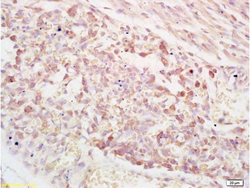
IHC-P 1:200-400
IHC-F 1:100-500
IF(IHC-P) 1:50-200
IF(IHC-F) 1:50-200
IF(ICC) 1:50-200 -
Beschränkungen
- Nur für Forschungszwecke einsetzbar
-
-
-
Format
- Liquid
-
Konzentration
- 1 μg/μL
-
Buffer
- 0.01M TBS( pH 7.4) with 1 % BSA, 0.02 % Proclin300 and 50 % Glycerol.
-
Konservierungsmittel
- ProClin
-
Vorsichtsmaßnahmen
- This product contains ProClin: a POISONOUS AND HAZARDOUS SUBSTANCE, which should be handled by trained staff only.
-
Lagerung
- 4 °C,-20 °C
-
Informationen zur Lagerung
- Shipped at 4°C. Store at -20°C for one year. Avoid repeated freeze/thaw cycles.
-
Haltbarkeit
- 12 months
-
-
- PAPPA (Pregnancy-Associated Plasma Protein A, Pappalysin 1 (PAPPA))
-
Andere Bezeichnung
- PAPPA
-
Hintergrund
-
Synonyms: PAPA, DIPLA1, PAPP-A, PAPPA1, ASBABP2, IGFBP-4ase, Pappalysin-1, Insulin-like growth factor-dependent IGF-binding protein 4 protease, IGF-dependent IGFBP-4 protease, Pregnancy-associated plasma protein A, PAPPA
Background: Metalloproteinase which specifically cleaves IGFBP-4 and IGFBP-5, resulting in release of bound IGF. Cleavage of IGFBP-4 is dramatically enhanced by the presence of IGF, whereas cleavage of IGFBP-5 is slightly inhibited by the presence of IGF.
-
Gen-ID
- 5069
-
UniProt
- Q13219
Target
-