Telefon:
+49 (0)241 95 163 153
Fax:
+49 (0)241 95 163 155
E-Mail:
orders@antikoerper-online.de

SF3B1 Antikörper

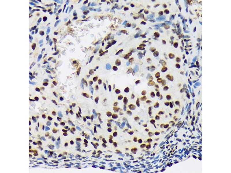
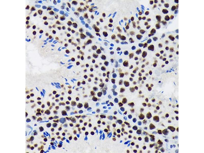
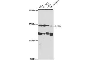
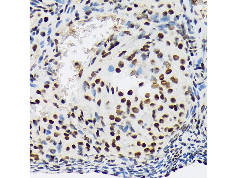
Der Kaninchen Monoklonal anti-SF3B1 Antikörper (ABIN7270542) detektiert spezifisch SF3B1 in WB, IHC und IF. Dieser Antikörper reagiert spezifisch mit Proben aus Human.
Produktnummer ABIN7270542
330,00 €
Zzgl. Versandkosten 20,00 € und MwSt
Lieferung nach: Deutschland
Lieferung in 7 bis 9 Werktagen

Kurzübersicht für SF3B1 Antikörper (ABIN7270542)

Target

Alle SF3B1 Antikörper anzeigen
SF3B1 (Splicing Factor 3b, Subunit 1, 155kDa (SF3B1))

Reaktivität

  • 54
  • 45
  • 41
  • 8
  • 6
  • 5
  • 4
  • 4
  • 4
  • 3
  • 3
  • 3
  • 3
  • 2
  • 1
  • 1
Human

Wirt

  • 65
  • 4
Kaninchen

Klonalität

  • 42
  • 27
Monoklonal

Konjugat

  • 36
  • 4
  • 2
  • 2
  • 2
  • 2
  • 2
  • 2
  • 2
  • 2
  • 1
  • 1
  • 1
  • 1
  • 1
  • 1
  • 1
  • 1
  • 1
  • 1
  • 1
  • 1
  • 1
Dieser SF3B1 Antikörper ist unkonjugiert

Applikation

  • 56
  • 25
  • 21
  • 15
  • 14
  • 13
  • 13
  • 12
  • 11
  • 6
  • 3
  • 1
  • 1
Western Blotting (WB), Immunohistochemistry (IHC), Immunofluorescence (IF)
  • Verwendungszweck

    SF3B1 Rabbit mAb

    Kreuzreaktivität

    Human, Maus, Ratte

    Produktmerkmale

    Monoclonal Antibodies

    Aufreinigung

    Affinity purification

    Immunogen

    A synthesized peptide derived from human SF3B1

    Isotyp

    IgG
  • Applikationshinweise

    WB,1:500 - 1:2000,IHC,1:50 - 1:200,IF,1:50 - 1:200

    Beschränkungen

    Nur für Forschungszwecke einsetzbar
  • Format

    Liquid

    Buffer

    PBS with 0.02 % sodium azide,0.05 % BSA,50 % glycerol, pH 7.3.

    Konservierungsmittel

    Sodium azide

    Vorsichtsmaßnahmen

    This product contains Sodium azide: a POISONOUS AND HAZARDOUS SUBSTANCE which should be handled by trained staff only.

    Lagerung

    -20 °C

    Informationen zur Lagerung

    Store at -20°C. Avoid freeze / thaw cycles.
  • Target

    SF3B1 (Splicing Factor 3b, Subunit 1, 155kDa (SF3B1))

    Andere Bezeichnung

    SF3B1

    Hintergrund

    This gene encodes subunit 1 of the splicing factor 3b protein complex. Splicing factor 3b, together with splicing factor 3a and a 12S RNA unit, forms the U2 small nuclear ribonucleoproteins complex (U2 snRNP). The splicing factor 3b/3a complex binds pre-mRNA upstream of the intron's branch site in a sequence independent manner and may anchor the U2 snRNP to the pre-mRNA. Splicing factor 3b is also a component of the minor U12-type spliceosome. The carboxy-terminal two-thirds of subunit 1 have 22 non-identical, tandem HEAT repeats that form rod-like, helical structures. Alternative splicing results in multiple transcript variants encoding different isoforms. [provided by RefSeq, Jul 2008],Hsh155, MDS, PRP10, PRPF10, SAP155, SF3b155,Epigenetics & Nuclear Signaling,Protein phosphorylation,RNA Binding,SF3B1

    Molekulargewicht

    155kDa

    Gen-ID

    23451

    UniProt

    O75533

    Pathways

    Chromatin Binding
Sie sind hier:
Chat with us!