Telefon:
+49 (0)241 95 163 153
Fax:
+49 (0)241 95 163 155
E-Mail:
orders@antikoerper-online.de

LIN28B Antikörper

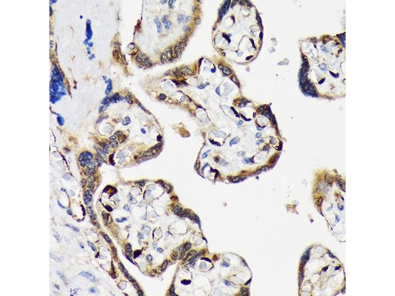
Der Kaninchen Monoklonal anti-LIN28B Antikörper wird verwendet zum Nachweis von LIN28B in Proben von Human. Er wurde validiert für WB und IHC.
Produktnummer ABIN7268267
330,00 €
Zzgl. Versandkosten 20,00 € und MwSt
Lieferung nach: Deutschland
Lieferung in 7 bis 9 Werktagen

Kurzübersicht für LIN28B Antikörper (ABIN7268267)

Target

Alle LIN28B Antikörper anzeigen
LIN28B (Lin-28 Homolog B (LIN28B))

Reaktivität

  • 61
  • 11
  • 2
  • 1
  • 1
  • 1
  • 1
  • 1
Human

Wirt

  • 58
  • 3
  • 1
Kaninchen

Klonalität

  • 49
  • 13
Monoklonal

Konjugat

  • 37
  • 4
  • 3
  • 2
  • 2
  • 2
  • 2
  • 2
  • 2
  • 2
  • 1
  • 1
  • 1
  • 1
Dieser LIN28B Antikörper ist unkonjugiert

Applikation

  • 47
  • 32
  • 27
  • 22
  • 18
  • 15
  • 13
  • 6
  • 4
  • 1
Western Blotting (WB), Immunohistochemistry (IHC)
  • Verwendungszweck

    LIN28B Rabbit mAb

    Kreuzreaktivität

    Human

    Produktmerkmale

    Monoclonal Antibodies

    Aufreinigung

    Affinity purification

    Immunogen

    A synthesized peptide derived from human LIN28B

    Isotyp

    IgG
  • Applikationshinweise

    WB,1:500 - 1:2000,IHC,1:50 - 1:200

    Beschränkungen

    Nur für Forschungszwecke einsetzbar
  • Format

    Liquid

    Buffer

    PBS with 0.02 % sodium azide,0.05 % BSA,50 % glycerol, pH 7.3.

    Konservierungsmittel

    Sodium azide

    Vorsichtsmaßnahmen

    This product contains Sodium azide: a POISONOUS AND HAZARDOUS SUBSTANCE which should be handled by trained staff only.

    Lagerung

    -20 °C

    Informationen zur Lagerung

    Store at -20°C. Avoid freeze / thaw cycles.
  • Target

    LIN28B (Lin-28 Homolog B (LIN28B))

    Andere Bezeichnung

    LIN28B

    Hintergrund

    The protein encoded by this gene belongs to the lin-28 family, which is characterized by the presence of a cold-shock domain and a pair of CCHC zinc finger domains. This gene is highly expressed in testis, fetal liver, placenta, and in primary human tumors and cancer cell lines. It is negatively regulated by microRNAs that target sites in the 3' UTR, and overexpression of this gene in primary tumors is linked to the repression of let-7 family of microRNAs and derepression of let-7 targets, which facilitates cellular transformation. [provided by RefSeq, Jun 2012],CSDD2,Cancer,Epigenetics & Nuclear Signaling,Tumor biomarkers,LIN28B

    Molekulargewicht

    32kDa

    Gen-ID

    389421

    UniProt

    Q6ZN17
Sie sind hier:
Chat with us!