Telefon:
+49 (0)241 95 163 153
Fax:
+49 (0)241 95 163 155
E-Mail:
orders@antikoerper-online.de

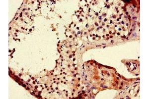
LIN28B Antikörper (AA 166-250)

Der Kaninchen Polyklonal anti-LIN28B Antikörper (ABIN7165750) detektiert spezifisch LIN28B in ELISA, IHC und IF. Dieser Antikörper reagiert spezifisch mit Proben aus Human.
Produktnummer ABIN7165750
328,90 €
Zzgl. Versandkosten 20,00 € und MwSt
Lieferung nach: Deutschland
Lieferung in 11 bis 15 Werktagen

Kurzübersicht für LIN28B Antikörper (AA 166-250) (ABIN7165750)

Target

Alle LIN28B Antikörper anzeigen
LIN28B (Lin-28 Homolog B (LIN28B))

Reaktivität

  • 61
  • 11
  • 2
  • 1
  • 1
  • 1
  • 1
  • 1
Human

Wirt

  • 58
  • 3
  • 1
Kaninchen

Klonalität

  • 48
  • 14
Polyklonal

Konjugat

  • 37
  • 4
  • 3
  • 2
  • 2
  • 2
  • 2
  • 2
  • 2
  • 2
  • 1
  • 1
  • 1
  • 1
Dieser LIN28B Antikörper ist unkonjugiert

Applikation

  • 48
  • 32
  • 26
  • 21
  • 18
  • 15
  • 13
  • 6
  • 4
  • 1
ELISA, Immunohistochemistry (IHC), Immunofluorescence (IF)
  • Bindungsspezifität

    • 8
    • 6
    • 6
    • 4
    • 3
    • 3
    • 3
    • 2
    • 1
    • 1
    • 1
    • 1
    • 1
    • 1
    • 1
    • 1
    AA 166-250

    Verwendungszweck

    LIN28B Antibody

    Aufreinigung

    Protein G purified

    Reinheit

    >95 %

    Immunogen

    Recombinant Human Protein lin-28 homolog B protein (166-250AA)

    Isotyp

    IgG
  • Applikationshinweise

    Optimal working dilution should be determined by the investigator.

    Beschränkungen

    Nur für Forschungszwecke einsetzbar
  • Format

    Liquid

    Buffer

    Preservative: 0.03 % Proclin 300
    Constituents: 50 % Glycerol, 0.01M PBS, PH 7.4

    Konservierungsmittel

    ProClin

    Vorsichtsmaßnahmen

    This product contains ProClin: a POISONOUS AND HAZARDOUS SUBSTANCE which should be handled by trained staff only.

    Lagerung

    -20 °C,-80 °C

    Informationen zur Lagerung

    Upon receipt, store at -20°C or -80°C. Avoid repeated freeze.
  • Target

    LIN28B (Lin-28 Homolog B (LIN28B))

    Andere Bezeichnung

    LIN28B

    Hintergrund

    Background: Suppressor of microRNA (miRNA) biogenesis, including that of let-7 and possibly of miR107, miR-143 and miR-200c. Binds primary let-7 transcripts (pri-let-7), including pri-let-7g and pri-let-7a-1, and sequester them in the nucleolus, away from the microprocessor complex, hence preventing their processing into mature miRNA (PubMed:22118463). Does not act on pri-miR21 (PubMed:22118463). The repression of let-7 expression is required for normal development and contributes to maintain the pluripotent state of embryonic stem cells by preventing let-7-mediated differentiation. When overexpressed, recruits ZCCHC11/TUT4 uridylyltransferase to pre-let-7 transcripts, leading to their terminal uridylation and degradation (PubMed:19703396). This activity might not be relevant in vivo, as LIN28B-mediated inhibition of let-7 miRNA maturation appears to be ZCCHC11-independent (PubMed:22118463). Interaction with target pre-miRNAs occurs via an 5\'-GGAG-3\' motif in the pre-miRNA terminal loop. Mediates MYC-induced let-7 repression (By similarity). When overexpressed, isoform 1 stimulates growth of the breast adenocarcinoma cell line MCF-7. Isoform 2 has no effect on cell growth.

    Aliases: CSDD 2 antibody, CSDD2 antibody, FLJ16517 antibody, Lin 28 homolog B (C. elegans) antibody, Lin 28.2 antibody, Lin-28B antibody, LIN28B antibody, LN28B_HUMAN antibody, Protein lin-28 homolog B antibody

    UniProt

    Q6ZN17
Sie sind hier:
Chat with us!