Telefon:
+49 (0)241 95 163 153
Fax:
+49 (0)241 95 163 155
E-Mail:
orders@antikoerper-online.de

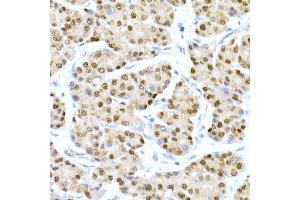
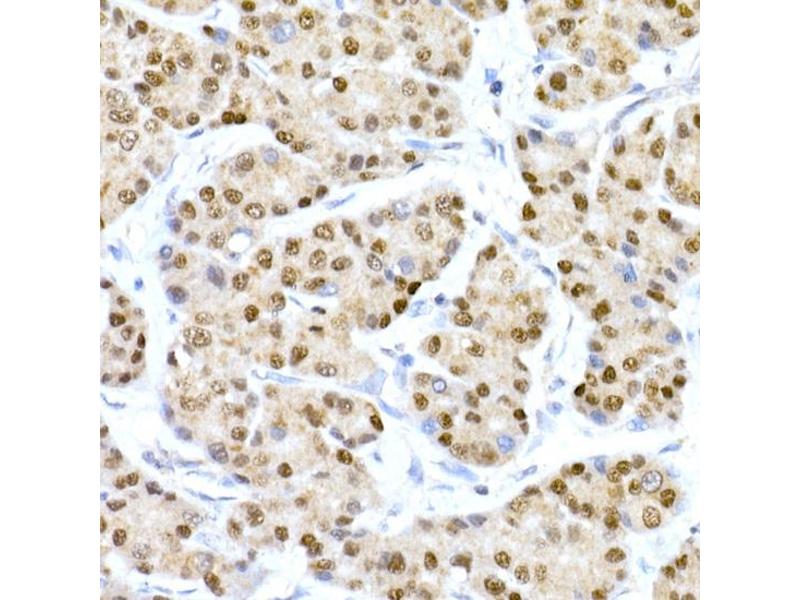
HNF4A Antikörper

Dieser Kaninchen Monoklonal Antikörper detektiert spezifisch HNF4A in WB, IHC und ChIP. Es zeigt Reaktivität gegenüber Proben von Maus.
Produktnummer ABIN7267621
330,00 €
Zzgl. Versandkosten 20,00 € und MwSt
Lieferung nach: Deutschland
Lieferung in 7 bis 9 Werktagen

Kurzübersicht für HNF4A Antikörper (ABIN7267621)

Target

Alle HNF4A Antikörper anzeigen
HNF4A (Hepatocyte Nuclear Factor 4, alpha (HNF4A))

Reaktivität

  • 137
  • 75
  • 70
  • 6
  • 5
  • 5
  • 5
  • 4
  • 4
  • 4
  • 4
  • 3
  • 2
  • 2
  • 1
Maus

Wirt

  • 131
  • 9
  • 2
Kaninchen

Klonalität

  • 92
  • 50
Monoklonal

Konjugat

  • 76
  • 8
  • 5
  • 5
  • 5
  • 5
  • 5
  • 5
  • 4
  • 3
  • 3
  • 3
  • 2
  • 2
  • 1
  • 1
  • 1
  • 1
  • 1
  • 1
  • 1
  • 1
  • 1
  • 1
  • 1
Dieser HNF4A Antikörper ist unkonjugiert

Applikation

  • 120
  • 56
  • 51
  • 41
  • 40
  • 24
  • 14
  • 14
  • 13
  • 11
  • 10
  • 4
  • 2
  • 1
  • 1
Western Blotting (WB), Immunohistochemistry (IHC), Chromatin Immunoprecipitation (ChIP)
  • Verwendungszweck

    HNF-4-alpha Rabbit mAb

    Kreuzreaktivität

    Human, Maus, Ratte

    Produktmerkmale

    Monoclonal Antibodies

    Aufreinigung

    Affinity purification

    Immunogen

    Recombinant protein of Mouse HNF-4-alpha.

    Isotyp

    IgG
  • Applikationshinweise

    WB,1:500 - 1:2000,IHC,1:50 - 1:200,ChIP,1:50 - 1:200

    Beschränkungen

    Nur für Forschungszwecke einsetzbar
  • Format

    Liquid

    Buffer

    PBS with 0.02 % sodium azide,0.05 % BSA,50 % glycerol, pH 7.3.

    Konservierungsmittel

    Sodium azide

    Vorsichtsmaßnahmen

    This product contains Sodium azide: a POISONOUS AND HAZARDOUS SUBSTANCE which should be handled by trained staff only.

    Lagerung

    -20 °C

    Informationen zur Lagerung

    Store at -20°C. Avoid freeze / thaw cycles.
  • Target

    HNF4A (Hepatocyte Nuclear Factor 4, alpha (HNF4A))

    Andere Bezeichnung

    HNF-4-alpha

    Hintergrund

    The protein encoded by this gene is a nuclear transcription factor which binds DNA as a homodimer. The encoded protein controls the expression of several genes, including hepatocyte nuclear factor 1 alpha, a transcription factor which regulates the expression of several hepatic genes. This gene may play a role in development of the liver, kidney, and intestines. Mutations in this gene have been associated with monogenic autosomal dominant non-insulin-dependent diabetes mellitus type I. Alternative splicing of this gene results in multiple transcript variants encoding several different isoforms.,HNF4A,FRTS4,HNF4,HNF4a7,HNF4a8,HNF4a9,HNF4alpha,MODY,MODY1,NR2A1,NR2A21,TCF,TCF14,HNF4a,Epigenetics & Nuclear Signaling,Transcription Factors,Nuclear Receptor Signaling,Cancer,Signal Transduction,Cell Biology & Developmental Biology,Cell Adhesion,Wnt/β-Catenin Signaling Pathway,Endocrine & Metabolism,Lipid Metabolism,Cholesterol Metabolism,Cytochromes,AMPK Signaling Pathway,Endocrine and metabolic diseases,Diabetes,Stem Cells,Cardiovascular,Blood,Coagulation,Lipids,HNF-4-alpha

    Molekulargewicht

    51kDa/52kDa

    Gen-ID

    15378

    UniProt

    P49698

    Pathways

    AMPK Signaling, Nuclear Receptor Transcription Pathway, Steroid Hormone Mediated Signaling Pathway, Carbohydrate Homeostasis, Cell-Cell Junction Organization, Regulation of Carbohydrate Metabolic Process
Sie sind hier:
Chat with us!