Telefon:
+49 (0)241 95 163 153
Fax:
+49 (0)241 95 163 155
E-Mail:
orders@antikoerper-online.de

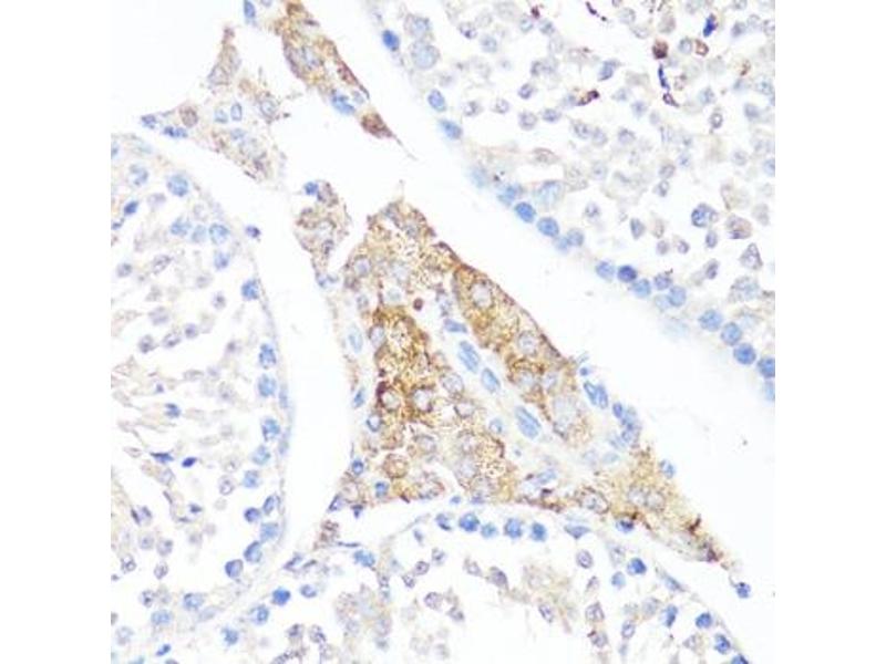
Fibronectin 1 Antikörper (AA 2200-2355)

Der Kaninchen Polyklonal anti-Fibronectin 1 Antikörper (ABIN7267194) detektiert spezifisch Fibronectin 1 in WB und IHC. Dieser Antikörper reagiert spezifisch mit Proben aus Human.
Produktnummer ABIN7267194
320,00 €
Zzgl. Versandkosten 20,00 € und MwSt
Lieferung nach: Deutschland
Lieferung in 7 bis 9 Werktagen

Kurzübersicht für Fibronectin 1 Antikörper (AA 2200-2355) (ABIN7267194)

Target

Alle Fibronectin 1 (FN1) Antikörper anzeigen
Fibronectin 1 (FN1)

Reaktivität

  • 102
  • 37
  • 34
  • 7
  • 6
  • 6
  • 5
  • 5
  • 4
  • 3
  • 3
  • 1
  • 1
  • 1
Human

Wirt

  • 81
  • 34
  • 1
  • 1
Kaninchen

Klonalität

  • 74
  • 42
Polyklonal

Konjugat

  • 71
  • 12
  • 10
  • 4
  • 1
  • 1
  • 1
  • 1
  • 1
  • 1
  • 1
  • 1
  • 1
  • 1
  • 1
  • 1
  • 1
  • 1
  • 1
  • 1
  • 1
  • 1
  • 1
  • 1
Dieser Fibronectin 1 Antikörper ist unkonjugiert

Applikation

  • 74
  • 54
  • 27
  • 18
  • 17
  • 13
  • 13
  • 10
  • 9
  • 8
  • 7
  • 7
  • 6
  • 2
  • 1
  • 1
  • 1
  • 1
Western Blotting (WB), Immunohistochemistry (IHC)
  • Bindungsspezifität

    • 15
    • 8
    • 6
    • 5
    • 4
    • 3
    • 3
    • 3
    • 2
    • 2
    • 2
    • 1
    • 1
    • 1
    • 1
    • 1
    • 1
    • 1
    • 1
    • 1
    AA 2200-2355

    Verwendungszweck

    Fibronectin Rabbit pAb

    Sequenz

    LLCQCLGFGS GHFRCDSSRW CHDNGVNYKI GEKWDRQGEN GQMMSCTCLG NGKGEFKCDP HEATCYDDGK TYHVGEQWQK EYLGAICSCT CFGGQRGWRC DNCRRPGGEP SPEGTTGQSY NQYSQRYHQR TNTNVNCPIE CFMPLDVQAD REDSRE

    Kreuzreaktivität

    Human, Maus

    Produktmerkmale

    Polyclonal Antibodies

    Aufreinigung

    Affinity purification

    Immunogen

    Recombinant fusion protein containing a sequence corresponding to amino acids 2200-2355 of human Fibronectin (NP_002017.1).

    Isotyp

    IgG
  • Applikationshinweise

    WB,1:500 - 1:1000,IHC,1:50 - 1:200

    Beschränkungen

    Nur für Forschungszwecke einsetzbar
  • Format

    Liquid

    Buffer

    PBS with 0.02 % sodium azide,50 % glycerol, pH 7.3.

    Konservierungsmittel

    Sodium azide

    Vorsichtsmaßnahmen

    This product contains Sodium azide: a POISONOUS AND HAZARDOUS SUBSTANCE which should be handled by trained staff only.

    Lagerung

    -20 °C

    Informationen zur Lagerung

    Store at -20°C. Avoid freeze / thaw cycles.
  • Target

    Fibronectin 1 (FN1)

    Andere Bezeichnung

    FN1

    Hintergrund

    This gene encodes fibronectin, a glycoprotein present in a soluble dimeric form in plasma, and in a dimeric or multimeric form at the cell surface and in extracellular matrix. The encoded preproprotein is proteolytically processed to generate the mature protein. Fibronectin is involved in cell adhesion and migration processes including embryogenesis, wound healing, blood coagulation, host defense, and metastasis. The gene has three regions subject to alternative splicing, with the potential to produce 20 different transcript variants, at least one of which encodes an isoform that undergoes proteolytic processing. The full-length nature of some variants has not been determined.,FN1,CIG,ED-B,FINC,FN,FNZ,GFND,GFND2,LETS,MSF,fibronectin,Cancer,Invasion and Metastasis,Signal Transduction,Cell Biology & Developmental Biology,Cytoskeleton,Extracellular Matrix,Stem Cells,Mesenchymal Stem Cells,Neural Stem Cells,Cardiovascular,Angiogenesis,FN1

    Molekulargewicht

    71-73kDa/221-272kDa

    Gen-ID

    2335

    UniProt

    P02751

    Pathways

    Cellular Response to Molecule of Bacterial Origin, Carbohydrate Homeostasis, Autophagie
Sie sind hier:
Chat with us!