Telefon:
+49 (0)241 95 163 153
Fax:
+49 (0)241 95 163 155
E-Mail:
orders@antikoerper-online.de

MUC13 Antikörper (AA 390-470)

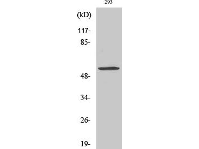
Der Kaninchen Polyklonal anti-MUC13 Antikörper (ABIN7215910) detektiert spezifisch MUC13 in WB, ELISA, IF und IHC (p). Dieser Antikörper reagiert spezifisch mit Proben aus Human.
Produktnummer ABIN7215910
623,62 €
Zzgl. Versandkosten 20,00 € und MwSt
Lieferung nach: Deutschland
Lieferung in 10 bis 14 Werktagen

Kurzübersicht für MUC13 Antikörper (AA 390-470) (ABIN7215910)

Target

Alle MUC13 Antikörper anzeigen
MUC13 (Mucin 13, Cell Surface Associated (MUC13))

Reaktivität

  • 33
  • 25
  • 11
  • 4
  • 1
  • 1
  • 1
  • 1
  • 1
  • 1
Human

Wirt

  • 40
  • 5
  • 2
  • 1
Kaninchen

Klonalität

  • 40
  • 8
Polyklonal

Konjugat

  • 23
  • 2
  • 1
  • 1
  • 1
  • 1
  • 1
  • 1
  • 1
  • 1
  • 1
  • 1
  • 1
  • 1
  • 1
  • 1
  • 1
  • 1
  • 1
  • 1
  • 1
  • 1
  • 1
  • 1
  • 1
Dieser MUC13 Antikörper ist unkonjugiert

Applikation

  • 34
  • 14
  • 13
  • 13
  • 11
  • 9
  • 5
  • 5
  • 4
  • 3
  • 3
  • 1
  • 1
  • 1
Western Blotting (WB), ELISA, Immunofluorescence (IF), Immunohistochemistry (Paraffin-embedded Sections) (IHC (p))
  • Bindungsspezifität

    • 15
    • 6
    • 2
    • 1
    • 1
    • 1
    • 1
    • 1
    • 1
    AA 390-470

    Verwendungszweck

    Mucin 13 Polyclonal Antibody

    Spezifität

    Mucin 13 Polyclonal Antibody detects endogenous levels of Mucin 13 protein.

    Aufreinigung

    The antibody was affinity-purified from rabbit antiserum by affinity-chromatography using epitope-specific immunogen

    Immunogen

    Synthesized peptide derived from the C-terminal region of human Mucin 13 at AA range: 390-470

    Isotyp

    IgG
  • Applikationshinweise

    Optimal working dilutions should be determined experimentally by the investigator. Suggested starting dilutions are as follows: WB (1:500-1:2000), IHC-P (1:100-1:300), IF (1:200-1:1000), ELISA (1:20000). Not yet tested in other applications.

    Kommentare

    Primary Antibody

    Beschränkungen

    Nur für Forschungszwecke einsetzbar
  • Format

    Liquid

    Konzentration

    1 mg/mL

    Buffer

    PBS containing 50 % Glycerol, 0.5 % BSA and 0.02 % Sodium Azide.

    Konservierungsmittel

    Sodium azide

    Vorsichtsmaßnahmen

    This product contains Sodium azide: a POISONOUS AND HAZARDOUS SUBSTANCE which should be handled by trained staff only.

    Lagerung

    -20 °C

    Informationen zur Lagerung

    Stable for one year at -20°C from date of shipment. For maximum recovery of product, centrifuge the original vial after thawing and prior to removing the cap. Aliquot to avoid repeated freezing and thawing.
  • Target

    MUC13 (Mucin 13, Cell Surface Associated (MUC13))

    Andere Bezeichnung

    Mucin 13

    Hintergrund

    Rabbit Anti-Mucin 13 Polyclonal Antibody,MUC13, DRCC1, RECC, Mucin-13, MUC-13, Down-regulated in colon cancer 1,Epithelial mucins, such as MUC13, are a family of secreted and cell surface glycoproteins expressed by ductal and glandular epithelial tissues.,Mucin-13

    Molekulargewicht

    observerd band 50kDa

    Gen-ID

    56667

    UniProt

    Q9H3R2
Sie sind hier:
Chat with us!