Telefon:
+49 (0)241 95 163 153
Fax:
+49 (0)241 95 163 155
E-Mail:
orders@antikoerper-online.de

MEK1/2 Antikörper

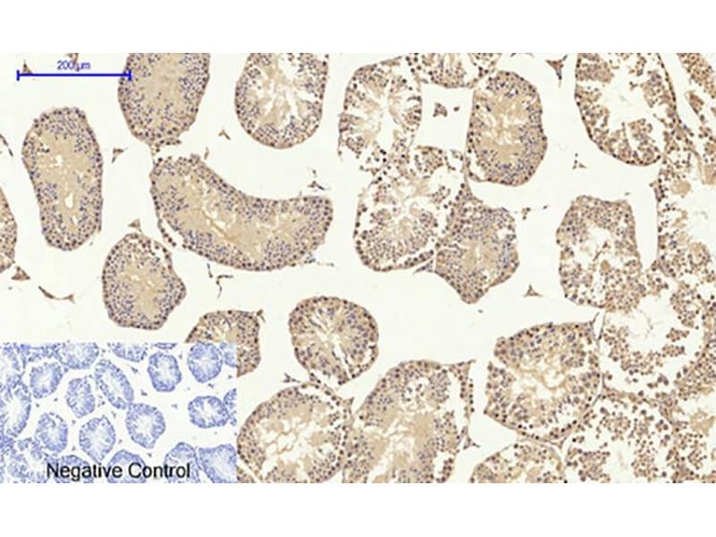
Dieser Kaninchen Polyklonal Antikörper detektiert spezifisch MEK1/2 in WB, ELISA, IHC (p) und IF. Es zeigt Reaktivität gegenüber Proben von Human, Maus, Ratte und Affe.
Produktnummer ABIN7206521
613,62 €
Zzgl. Versandkosten 20,00 € und MwSt
100 μL
Lieferung nach: Deutschland
Lieferung in 10 bis 14 Werktagen

Kurzübersicht für MEK1/2 Antikörper (ABIN7206521)

Target

MEK1/2 (MAP2K1/2) (Mitogen-Activated Protein Kinase Kinase 1/2 (MAP2K1/2))

Reaktivität

  • 82
  • 78
  • 78
  • 10
  • 3
  • 2
  • 2
  • 2
  • 2
  • 1
  • 1
  • 1
  • 1
Human, Maus, Ratte, Affe

Wirt

  • 82
  • 1
Kaninchen

Klonalität

  • 64
  • 19
Polyklonal

Konjugat

  • 19
  • 5
  • 3
  • 3
  • 3
  • 3
  • 3
  • 3
  • 3
  • 3
  • 3
  • 3
  • 3
  • 3
  • 3
  • 3
  • 3
  • 3
  • 3
  • 3
  • 3
  • 1
  • 1
Dieser MEK1/2 Antikörper ist unkonjugiert

Applikation

  • 70
  • 27
  • 27
  • 19
  • 14
  • 11
  • 11
  • 10
  • 9
  • 6
  • 1
Western Blotting (WB), ELISA, Immunohistochemistry (Paraffin-embedded Sections) (IHC (p)), Immunofluorescence (IF)
  • Verwendungszweck

    MEK-1/2 Polyclonal Antibody

    Spezifität

    MEK-1/2 Polyclonal Antibody detects endogenous levels of MEK-1/2 protein.

    Aufreinigung

    The antibody was affinity-purified from rabbit antiserum by affinity-chromatography using epitope-specific immunogen

    Immunogen

    Synthesized peptide derived from human MEK-1/2 around the non-phosphorylation site of S218/222

    Isotyp

    IgG
  • Applikationshinweise

    Optimal working dilutions should be determined experimentally by the investigator. Suggested starting dilutions are as follows: WB (1:500-1:2000), IF (1:50-1:200), IHC-P (1:50-1:300), ELISA (1:10000-1:20000). Not yet tested in other applications.

    Beschränkungen

    Nur für Forschungszwecke einsetzbar
  • Format

    Liquid

    Konzentration

    1 mg/mL

    Buffer

    PBS containing 50 % Glycerol, 0.5 % BSA and 0.02 % Sodium Azide.

    Konservierungsmittel

    Sodium azide

    Vorsichtsmaßnahmen

    This product contains Sodium azide: a POISONOUS AND HAZARDOUS SUBSTANCE which should be handled by trained staff only.

    Lagerung

    -20 °C

    Informationen zur Lagerung

    Stable for one year at -20°C from date of shipment. For maximum recovery of product, centrifuge the original vial after thawing and prior to removing the cap. Aliquot to avoid repeated freezing and thawing.
  • Target

    MEK1/2 (MAP2K1/2) (Mitogen-Activated Protein Kinase Kinase 1/2 (MAP2K1/2))

    Andere Bezeichnung

    MEK-1/2

    Hintergrund

    Rabbit Anti-MEK-1/2 Polyclonal Antibody,MAP2K1, MEK1, PRKMK1, Dual specificity mitogen-activated protein kinase kinase 1, MAP kinase kinase 1, MAPKK 1, MKK1, ERK activator kinase 1, MAPK/ERK kinase 1, MEK 1, MAP2K2, MEK2, MKK2, PRKMK2, Dual specificity mitogen-activated protein k,Dual specificity mitogen-activated protein kinase kinase 2 encoded by MAP2K2 is a dual specificity protein kinase that belongs to the MAP kinase kinase family. Dual specificity mitogen-activated protein kinase kinase 2 is known to play a critical role in mitogen growth factor signal transduction. It phosphorylates and thus activates MAPK1/ERK2 and MAPK2/ERK3. The activation of this kinase itself is dependent on the Ser/Thr phosphorylation by MAP kinase kinase kinases. Mutations in this gene cause cardiofaciocutaneous syndrome (CFC syndrome), a disease characterized by heart defects, mental retardation, and distinctive facial features similar to those found in Noonan syndrome. The inhibition or degradation of this kinase is also found to be involved in the pathogenesis of Yersinia and anthrax. A pseudogene, which is located on chromosome 7, has been identified for this gene.,Dual specificity mitogen-activated protein kinase kinase 1

    Gen-ID

    5604, 5605
Sie sind hier:
Chat with us!