Telefon:
+49 (0)241 95 163 153
Fax:
+49 (0)241 95 163 155
E-Mail:
orders@antikoerper-online.de

beta Catenin Antikörper

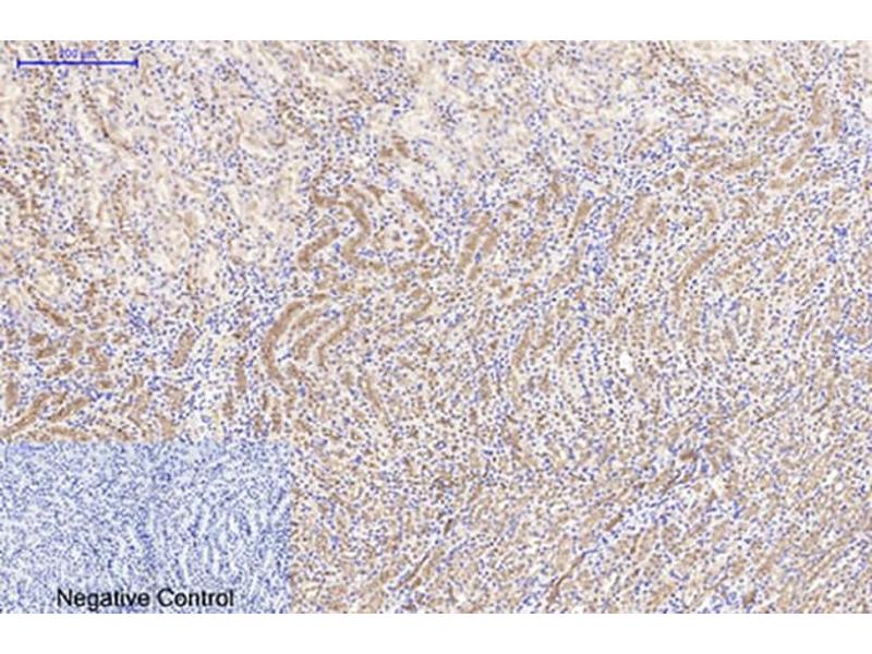
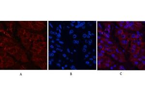
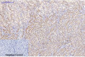
Dieser Maus Monoklonal Antikörper detektiert spezifisch beta Catenin in WB, IHC und IF. Es zeigt Reaktivität gegenüber Proben von Human, Maus, Ratte und Zebrafisch (Danio rerio).
Produktnummer ABIN7202102
613,62 €
Zzgl. Versandkosten 20,00 € und MwSt
100 μL
Lieferung nach: Deutschland
Lieferung in 10 bis 14 Werktagen

Kurzübersicht für beta Catenin Antikörper (ABIN7202102)

Target

Alle beta Catenin (CATNB) Antikörper anzeigen
beta Catenin (CATNB) (Catenin, beta (CATNB))

Reaktivität

  • 395
  • 272
  • 250
  • 30
  • 22
  • 21
  • 18
  • 18
  • 7
  • 5
  • 5
  • 4
  • 1
  • 1
  • 1
  • 1
  • 1
  • 1
  • 1
Human, Maus, Ratte, Zebrafisch (Danio rerio)

Wirt

  • 309
  • 90
  • 4
  • 1
  • 1
Maus

Klonalität

  • 254
  • 149
  • 2
Monoklonal

Konjugat

  • 143
  • 27
  • 11
  • 10
  • 9
  • 9
  • 9
  • 9
  • 9
  • 9
  • 9
  • 9
  • 9
  • 9
  • 9
  • 9
  • 8
  • 8
  • 8
  • 8
  • 8
  • 8
  • 7
  • 7
  • 7
  • 7
  • 7
  • 7
  • 7
  • 3
  • 3
  • 1
  • 1
  • 1
Dieser beta Catenin Antikörper ist unkonjugiert

Applikation

  • 261
  • 175
  • 144
  • 121
  • 118
  • 111
  • 72
  • 54
  • 49
  • 46
  • 36
  • 32
  • 7
  • 5
  • 2
  • 1
  • 1
  • 1
  • 1
Western Blotting (WB), Immunohistochemistry (IHC), Immunofluorescence (IF)
  • Verwendungszweck

    Mouse Anti-Catenin-β Monoclonal Antibody

    Spezifität

    The antibody detects endogenous Catenin-β protein.

    Aufreinigung

    The antibody was affinity-purified from mouse ascites by affinity-chromatography using epitope-specific immunogen.

    Immunogen

    Recombinant Protein

    Isotyp

    IgG1
  • Applikationshinweise

    Optimal working dilutions should be determined experimentally by the investigator. Suggested starting dilutions are as follows: WB 1:1000-2000,IHC 1:200-500,IF 1:200

    Beschränkungen

    Nur für Forschungszwecke einsetzbar
  • Format

    Liquid

    Konzentration

    1 mg/mL

    Buffer

    PBS, pH 7.4, containing 0.5 % BSA, 0.02 % sodium azide as Preservative and 50 % Glycerol.

    Konservierungsmittel

    Sodium azide

    Vorsichtsmaßnahmen

    This product contains Sodium azide: a POISONOUS AND HAZARDOUS SUBSTANCE which should be handled by trained staff only.

    Lagerung

    -20 °C

    Informationen zur Lagerung

    Stable for one year at -20°C from date of shipment. For maximum recovery of product, centrifuge the original vial after thawing and prior to removing the cap. Aliquot to avoid repeated freezing and thawing.

    Haltbarkeit

    12 months
  • Target

    beta Catenin (CATNB) (Catenin, beta (CATNB))

    Andere Bezeichnung

    Catenin-beta

    Hintergrund

    The protein encoded by CTNNB1 (catenin beta 1) is part of a complex of proteins that constitute adherens junctions (AJs). AJs are necessary for the creation and maintenance of epithelial cell layers by regulating cell growth and adhesion between cells. The encoded protein also anchors the actin cytoskeleton and may be responsible for transmitting the contact inhibition signal that causes cells to stop dividing once the epithelial sheet is complete. Finally, this protein binds to the product of the APC gene, which is mutated in adenomatous polyposis of the colon. Mutations in CTNNB1 are a cause of colorectal cancer (CRC), pilomatrixoma (PTR), medulloblastoma (MDB), and ovarian cancer. Three transcript variants encoding the same protein have been found for CTNNB1.

    Molekulargewicht

    92kD

    Gen-ID

    1499

    UniProt

    P35222

    Pathways

    Peptide Hormone Metabolism
Sie sind hier:
Chat with us!