Telefon:
+49 (0)241 95 163 153
Fax:
+49 (0)241 95 163 155
E-Mail:
orders@antikoerper-online.de

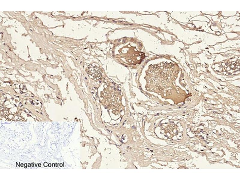
Caspase 3 p12 (AA 130-210), (Cleaved-Asp175) Antikörper

Der Kaninchen Polyklonal anti-Caspase 3 p12 Antikörper wird verwendet zum Nachweis von Caspase 3 p12 in Proben von Human. Er wurde validiert für WB, IF, ELISA und IHC (p).
Produktnummer ABIN7202043
613,62 €
Zzgl. Versandkosten 20,00 € und MwSt
100 μL
Lieferung nach: Deutschland
Lieferung in 10 bis 14 Werktagen

Kurzübersicht für Caspase 3 p12 (AA 130-210), (Cleaved-Asp175) Antikörper (ABIN7202043)

Target

Caspase 3 p12

Reaktivität

  • 13
  • 10
  • 10
Human

Wirt

  • 13
Kaninchen

Klonalität

  • 11
  • 2
Polyklonal

Konjugat

  • 4
  • 1
  • 1
  • 1
  • 1
  • 1
  • 1
  • 1
  • 1
  • 1
Unkonjugiert

Applikation

  • 13
  • 12
  • 11
  • 10
  • 1
  • 1
  • 1
  • 1
  • 1
Western Blotting (WB), Immunofluorescence (IF), ELISA, Immunohistochemistry (Paraffin-embedded Sections) (IHC (p))
  • Bindungsspezifität

    • 1
    • 1
    • 1
    AA 130-210, Cleaved-Asp175

    Verwendungszweck

    Cleaved-Caspase-3 p12 (D175) Polyclonal Antibody

    Spezifität

    Cleaved-Caspase-3 p12 (D175) Polyclonal Antibody detects endogenous levels of fragment of activated Caspase-3 p12 protein resulting from cleavage adjacent to D175.

    Aufreinigung

    The antibody was affinity-purified from rabbit antiserum by affinity-chromatography using epitope-specific immunogen

    Immunogen

    Synthesized peptide derived from the Internal region of human Caspase-3 p12 at AA range: 130-210

    Isotyp

    IgG
  • Applikationshinweise

    Optimal working dilutions should be determined experimentally by the investigator. Suggested starting dilutions are as follows: WB (1:500-1:2000), IF (1:50-1:300), IHC-P (1:50-1:300), ELISA (1:20000). Not yet tested in other applications.

    Beschränkungen

    Nur für Forschungszwecke einsetzbar
  • Format

    Liquid

    Konzentration

    1 mg/mL

    Buffer

    PBS containing 50 % Glycerol, 0.5 % BSA and 0.02 % Sodium Azide.

    Konservierungsmittel

    Sodium azide

    Vorsichtsmaßnahmen

    This product contains Sodium azide: a POISONOUS AND HAZARDOUS SUBSTANCE which should be handled by trained staff only.

    Lagerung

    -20 °C

    Informationen zur Lagerung

    Stable for one year at -20°C from date of shipment. For maximum recovery of product, centrifuge the original vial after thawing and prior to removing the cap. Aliquot to avoid repeated freezing and thawing.
  • Target

    Caspase 3 p12

    Andere Bezeichnung

    Caspase-3 p12

    Hintergrund

    Rabbit Anti-Cleaved-Caspase-3 p12 (D175) Polyclonal Antibody,CASP3, CPP32, Caspase-3, CASP-3, Apopain, Cysteine protease CPP32, CPP-32, Protein Yama, SREBP cleavage activity 1, SCA-1,CASP3 encodes caspase 3 which is a member of the cysteine-aspartic acid protease (caspase) family. Sequential activation of caspases plays a central role in the execution-phase of cell apoptosis. Caspases exist as inactive proenzymes which undergo proteolytic processing at conserved aspartic residues to produce two subunits, large and small, that dimerize to form the active enzyme. Caspase 3 cleaves and activates caspases 6, 7 and 9, and caspase 3 itself is processed by caspases 8, 9 and 10. It is the predominant caspase involved in the cleavage of amyloid-beta 4A precursor protein, which is associated with neuronal death in Alzheimer's disease. Alternative splicing of CASP3 results in two transcript variants that encode the same protein.,Caspase-3

    Gen-ID

    836

    UniProt

    P42574
Sie sind hier:
Chat with us!