Telefon:
+49 (0)241 95 163 153
Fax:
+49 (0)241 95 163 155
E-Mail:
orders@antikoerper-online.de

Caspase 3 p12 (Cleaved-Asp175) Antikörper

Dieser unabhängig validierte Kaninchen Polyklonal Antikörper detektiert spezifisch Caspase 3 p12 in WB, IF, ELISA und IHC (p). Es zeigt Reaktivität gegenüber Proben von Human.
Produktnummer ABIN7251292
449,00 €
Zzgl. Versandkosten 20,00 € und MwSt
Lieferung nach: Deutschland
Lieferung in 9 bis 13 Werktagen

Kurzübersicht für Caspase 3 p12 (Cleaved-Asp175) Antikörper (ABIN7251292)

Target

Caspase 3 p12

Reaktivität

  • 13
  • 10
  • 10
Human

Wirt

  • 13
Kaninchen

Klonalität

  • 11
  • 2
Polyklonal

Konjugat

  • 4
  • 1
  • 1
  • 1
  • 1
  • 1
  • 1
  • 1
  • 1
  • 1
Unkonjugiert

Applikation

  • 13
  • 12
  • 11
  • 10
  • 1
  • 1
  • 1
  • 1
  • 1
Western Blotting (WB), Immunofluorescence (IF), ELISA, Immunohistochemistry (Paraffin-embedded Sections) (IHC (p))
  • Bindungsspezifität

    • 1
    • 1
    • 1
    • 1
    Cleaved-Asp175

    Produktmerkmale

    Polyclonal Antibody

    Aufreinigung

    Affinity purification

    Immunogen

    Synthesized peptide derived from the Internal region of human Caspase-3 p12

    Isotyp

    IgG
  • Applikationshinweise

    WB 1:500-2000, IHC 1:50-300, IF 1:50-300

    Beschränkungen

    Nur für Forschungszwecke einsetzbar
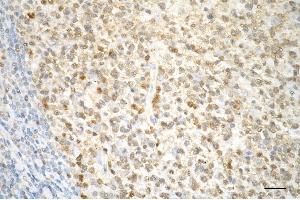
  • Validierung #104628 (Immunohistochemistry)
    'Independent Validation' Siegel
    by
    Prof. Merighi, Laboratory of Neurobiology, Department of Veterinary Sciences, University of Turin
    No.
    #104628
    Datum
    15.03.2025
    Antigen
    Caspase 3 p12
    Chargennummer
    DX05PXZ02179
    Validierte Anwendung
    Immunohistochemistry
    Positivkontrolle

    The expression of caspase 3 at P5 was already attested in our laboratory (Lossi et al., 2004).

    Negativkontrolle

    A one control slice was processed for each experimental procedure, omitting the primary antibody.

    Bewertung
    • Reference:

    • Lossi L., Tamagno I. and Merighi A. (2004) “Molecular morphology of neuronal apoptosis: analysis of Caspase 3 activation during postnatal development of mouse cerebellar cortex.” J Mol Histol, 35(6):621-9.

    'Independent Validation' Siegel
    Validierungsbilder
    Protokoll
    Primärantikörper
    ABIN7251291
    Sekundärantikörper
    anti-rabbit Alexa Fluor 488 (Invitrogen. Lot 2541675)
    Full Protocol
    • Sample analyzed: mouse brain at post-natal day (P) 5-6
    • Paraffin-embedded slices (7 µm thick) were deparaffinized and rehydrated through a graded series of alcohols and distilled water (dH2O).
    • Sections were blocked in ovalbumin 1% 1 hour at room temperature
    • Antigen retrieval was performed in all the sections by microwave treatment (1 minute at 750W + 1 minute at 250W in Citrate buffer pH 6)
    • 3x5 minutes washing in 0.01M PBS
    • Sections were incubated with the primary antibody at the following dilutions of 1:50/1:100/1:200, overnight at room temperature (primary antibody was diluted in PLL/BSA/PBS diluent)
    • 3x5 minutes washing in 0.01M PBS
    • Incubation with the anti-rabbit secondary antibody 1:400 in PLL/BSA/PBS diluent, 1 hour at room temperature.
    • 3x5 minutes washing in 0.01M PBS
    • Nuclear counterstaining was performed with DAPI 1µg/mL, 2 minutes
    • 2x5 minutes washing in 0.01M PBS
    • Specimens were then mounted in Fluoroshield mounting medium (Sigma)
    Anmerkungen

    The antibody works in IHC-P at concentrations from 1:50-1:200.

  • Format

    Liquid

    Konzentration

    1 mg/mL

    Buffer

    PBS with 0.02 % sodium azide, 0.5 % BSA and 50 % glycerol, pH 7.4

    Konservierungsmittel

    Sodium azide

    Vorsichtsmaßnahmen

    This product contains Sodium azide: a POISONOUS AND HAZARDOUS SUBSTANCE which should be handled by trained staff only.

    Lagerung

    -20 °C

    Informationen zur Lagerung

    Store at -20°C. Avoid freeze / thaw cycles.
  • Target

    Caspase 3 p12

    Andere Bezeichnung

    CASP3 p12

    Hintergrund

    Involved in the activation cascade of caspases responsible for apoptosis execution. At the onset of apoptosis it proteolytically cleaves poly(ADP-ribose) polymerase (PARP) at a '216-Asp-Gly-217' bond. Cleaves and activates sterol regulatory element binding proteins (SREBPs) between the basic helix-loop-helix leucine zipper domain and the membrane attachment domain. Cleaves and activates caspase-6, -7 and -9. Involved in the cleavage of huntingtin.

    Molekulargewicht

    Observed_MW: 20+35 kDa

    Calculated_MW: 32 kDa

    UniProt

    P42574
Sie sind hier:
Chat with us!