Transglutaminase 2 Antikörper (AA 551-650)
Kurzübersicht für Transglutaminase 2 Antikörper (AA 551-650) (ABIN715616)
Target
Alle Transglutaminase 2 (TGM2) Antikörper anzeigenReaktivität
Wirt
Klonalität
Konjugat
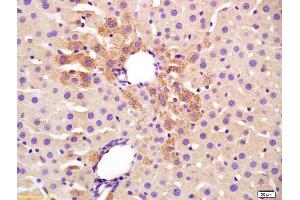
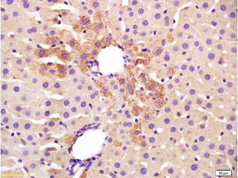
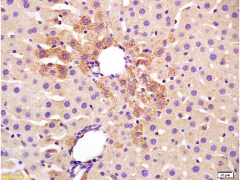
Applikation
-
-
Bindungsspezifität
- AA 551-650
-
Kreuzreaktivität
- Ratte
-
Homologie
- Human,Mouse,Dog,Cow,Pig
-
Aufreinigung
- Purified by Protein A.
-
Immunogen
- KLH conjugated synthetic peptide derived from human TGM2.
-
Isotyp
- IgG
-
-
-
-
Applikationshinweise
-
WB 1:300-5000
ELISA 1:500-1000
IHC-P 1:200-400
IHC-F 1:100-500
IF(IHC-P) 1:50-200
IF(IHC-F) 1:50-200
IF(ICC) 1:50-200 -
Beschränkungen
- Nur für Forschungszwecke einsetzbar
-
-
-
Format
- Liquid
-
Konzentration
- 1 μg/μL
-
Buffer
- 0.01M TBS( pH 7.4) with 1 % BSA, 0.02 % Proclin300 and 50 % Glycerol.
-
Konservierungsmittel
- ProClin
-
Vorsichtsmaßnahmen
- This product contains ProClin: a POISONOUS AND HAZARDOUS SUBSTANCE, which should be handled by trained staff only.
-
Lagerung
- 4 °C,-20 °C
-
Informationen zur Lagerung
- Shipped at 4°C. Store at -20°C for one year. Avoid repeated freeze/thaw cycles.
-
Haltbarkeit
- 12 months
-
-
- Transglutaminase 2 (TGM2) (Transglutaminase 2 (C Polypeptide, Protein-Glutamine-gamma-Glutamyltransferase) (TGM2))
-
Andere Bezeichnung
- TGM2
-
Hintergrund
-
Synonyms: TG2, TGC, GNAH, HEL-S-45, G-ALPHA-h, Protein-glutamine gamma-glutamyltransferase 2, Tissue transglutaminase, Transglutaminase C, TG(C), TGase C, Transglutaminase H, TGase H, Transglutaminase-2, TGase-2, TGM2
Background: Catalyzes the cross-linking of proteins and the conjugation of polyamines to proteins.
-
Gen-ID
- 7052
-
UniProt
- P21980
-
Pathways
- Tube Formation, Thromboxane A2 Receptor Signaling
Target
-