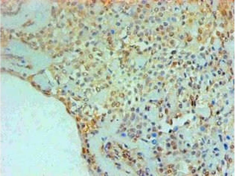
Transglutaminase 2 Antikörper
Kurzübersicht für Transglutaminase 2 Antikörper (ABIN7166415)
Target
Alle Transglutaminase 2 (TGM2) Antikörper anzeigenReaktivität
Wirt
Klonalität
Konjugat
Applikation
Klon
-
-
Verwendungszweck
- TGM2 Monoclonal Antibody
-
Aufreinigung
- Protein G purified
-
Reinheit
- >95 %
-
Immunogen
- Recombinant Human Protein-glutamine gamma-glutamyltransferase 2(TGM2)
-
Isotyp
- IgG
-
-
-
-
Applikationshinweise
- Optimal working dilution should be determined by the investigator.
-
Beschränkungen
- Nur für Forschungszwecke einsetzbar
-
-
-
Format
- Liquid
-
Buffer
-
Preservative: 0.03 % Proclin 300
Constituents: 50 % Glycerol, 0.01M PBS, PH 7.4 -
Konservierungsmittel
- ProClin
-
Vorsichtsmaßnahmen
- This product contains ProClin: a POISONOUS AND HAZARDOUS SUBSTANCE which should be handled by trained staff only.
-
Lagerung
- -20 °C,-80 °C
-
Informationen zur Lagerung
- Upon receipt, store at -20°C or -80°C. Avoid repeated freeze.
-
-
- Transglutaminase 2 (TGM2) (Transglutaminase 2 (C Polypeptide, Protein-Glutamine-gamma-Glutamyltransferase) (TGM2))
-
Andere Bezeichnung
- TGM2
-
Hintergrund
-
Background: Catalyzes the cross-linking of proteins and the conjugation of polyamines to proteins.
Aliases: Tissue transglutaminase,Transglutaminase C,TG(C),TGC,TGase C
-
UniProt
- P21980
-
Pathways
- Tube Formation, Thromboxane A2 Receptor Signaling
Target
-