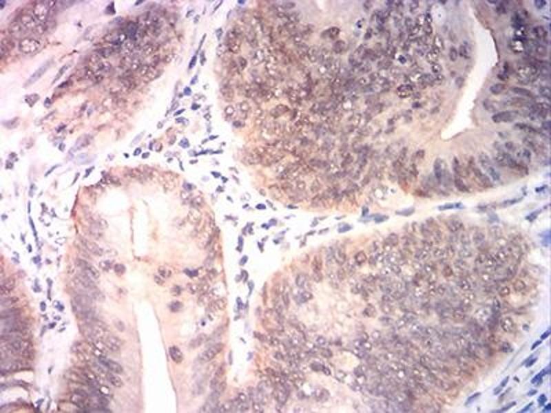
BRIP1 Antikörper (AA 904-986)
Kurzübersicht für BRIP1 Antikörper (AA 904-986) (ABIN7193527)
Target
Alle BRIP1 Antikörper anzeigenReaktivität
Wirt
Klonalität
Konjugat
Applikation
Klon
-
-
Bindungsspezifität
- AA 904-986
-
Verwendungszweck
- BRIP1 Antibody
-
Aufreinigung
- Purified antibody
-
Immunogen
- Purified recombinant fragment of human BRIP1 (AA: 904-986) expressed in E. Coli.
-
Isotyp
- IgG1
-
-
-
-
Applikationshinweise
-
ELISA: 1/10000
FCM: 1/200 - 1/400
-
Beschränkungen
- Nur für Forschungszwecke einsetzbar
-
-
-
Format
- Liquid
-
Buffer
- Purified antibody in PBS with 0.05 % sodium azide.
-
Konservierungsmittel
- Sodium azide
-
Vorsichtsmaßnahmen
- This product contains Sodium azide: a POISONOUS AND HAZARDOUS SUBSTANCE which should be handled by trained staff only.
-
Lagerung
- 4 °C,-20 °C
-
Informationen zur Lagerung
- Store at 4°C short term. Aliquot and store at -20°C long term. Avoid freeze/thaw cycles.
-
-
- BRIP1 (BRCA1 Interacting Protein C-terminal Helicase 1 (BRIP1))
-
Andere Bezeichnung
- BRIP1
-
Hintergrund
-
The protein encoded by this gene is a member of the RecQ DEAH helicase family and interacts with the BRCT repeats of breast cancer, type 1 (BRCA1). The bound complex is important in the normal double-strand break repair function of breast cancer, type 1 (BRCA1). This gene may be a target of germline cancer-inducing mutations.
-
Molekulargewicht
- 140.8 kDa
-
UniProt
- Q9BX63
-
Pathways
- DNA Reparatur
Target
-