Telefon:
+49 (0)241 95 163 153
Fax:
+49 (0)241 95 163 155
E-Mail:
orders@antikoerper-online.de

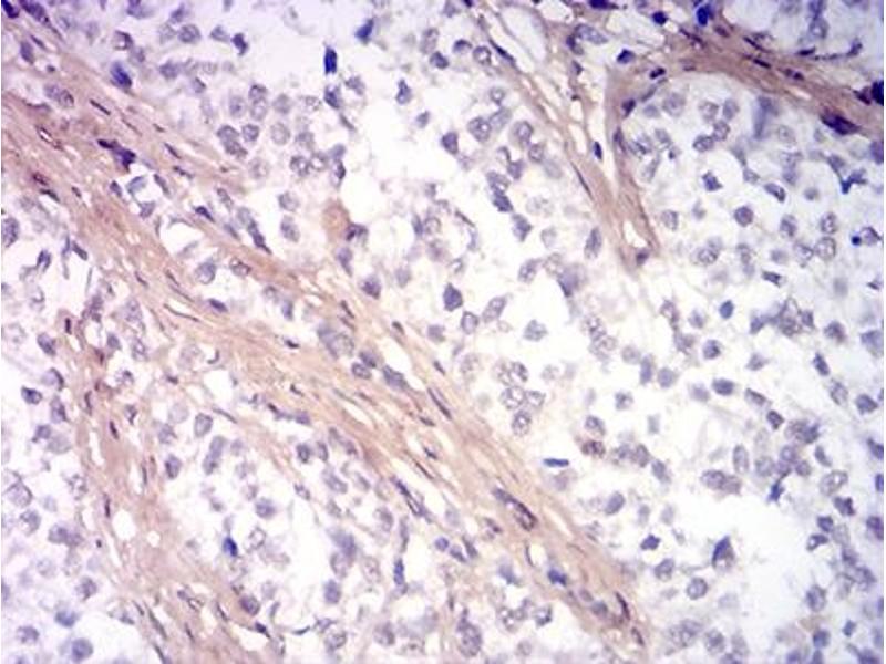
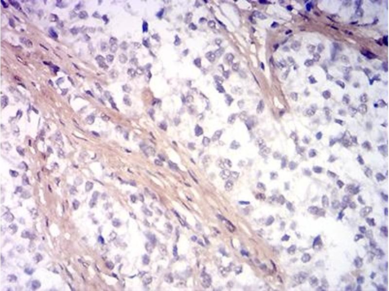
PINK1 Antikörper (AA 112-273)

Dieser Maus Monoklonal Antikörper detektiert spezifisch PINK1 in IHC, ELISA und FACS. Es zeigt Reaktivität gegenüber Proben von Human.
Produktnummer ABIN7193446
657,84 €
Zzgl. Versandkosten 20,00 € und MwSt
100 μL
Lieferung nach: Deutschland
Lieferung in 7 bis 10 Werktagen

Kurzübersicht für PINK1 Antikörper (AA 112-273) (ABIN7193446)

Target

Alle PINK1 Antikörper anzeigen
PINK1 (PTEN Induced Putative Kinase 1 (PINK1))

Reaktivität

  • 92
  • 32
  • 14
  • 2
  • 2
  • 1
  • 1
  • 1
Human

Wirt

  • 61
  • 39
  • 1
Maus

Klonalität

  • 65
  • 38
Monoklonal

Konjugat

  • 61
  • 8
  • 6
  • 5
  • 4
  • 4
  • 2
  • 1
  • 1
  • 1
  • 1
  • 1
  • 1
  • 1
  • 1
  • 1
  • 1
  • 1
  • 1
  • 1
Dieser PINK1 Antikörper ist unkonjugiert

Applikation

  • 79
  • 56
  • 45
  • 22
  • 22
  • 6
  • 6
  • 5
  • 5
  • 3
  • 1
Immunohistochemistry (IHC), ELISA, Flow Cytometry (FACS)

Klon

3A9F8
  • Bindungsspezifität

    • 24
    • 8
    • 7
    • 6
    • 6
    • 5
    • 3
    • 3
    • 2
    • 2
    • 2
    • 2
    • 2
    • 1
    • 1
    • 1
    • 1
    • 1
    • 1
    • 1
    • 1
    • 1
    • 1
    • 1
    • 1
    • 1
    • 1
    • 1
    • 1
    AA 112-273

    Verwendungszweck

    PINK1 Antibody

    Aufreinigung

    Purified antibody

    Immunogen

    Purified recombinant fragment of human PINK1 (AA: 112-273) expressed in E. Coli.

    Isotyp

    IgG2a
  • Applikationshinweise

    ELISA: 1/10000

    FCM: 1/200 - 1/400

    Beschränkungen

    Nur für Forschungszwecke einsetzbar
  • Format

    Liquid

    Buffer

    Purified antibody in PBS with 0.05 % sodium azide.

    Konservierungsmittel

    Sodium azide

    Vorsichtsmaßnahmen

    This product contains Sodium azide: a POISONOUS AND HAZARDOUS SUBSTANCE which should be handled by trained staff only.

    Lagerung

    4 °C,-20 °C

    Informationen zur Lagerung

    Store at 4°C short term. Aliquot and store at -20°C long term. Avoid freeze/thaw cycles.
  • Target

    PINK1 (PTEN Induced Putative Kinase 1 (PINK1))

    Andere Bezeichnung

    PINK1

    Hintergrund

    This gene encodes a serine/threonine protein kinase that localizes to mitochondria. It is thought to protect cells from stress-induced mitochondrial dysfunction. Mutations in this gene cause one form of autosomal recessive early-onset Parkinson disease.

    Molekulargewicht

    62.8 kDa

    UniProt

    Q9BXM7

    Pathways

    Autophagie
Sie sind hier:
Chat with us!