Telefon:
+49 (0)241 95 163 153
Fax:
+49 (0)241 95 163 155
E-Mail:
orders@antikoerper-online.de

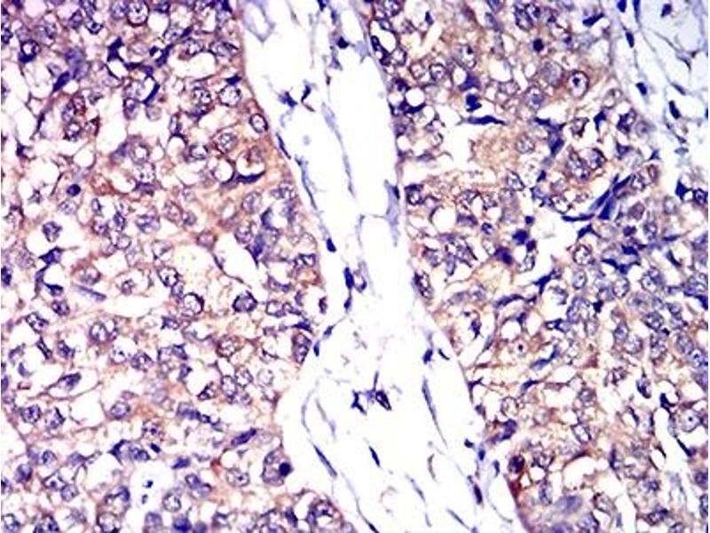
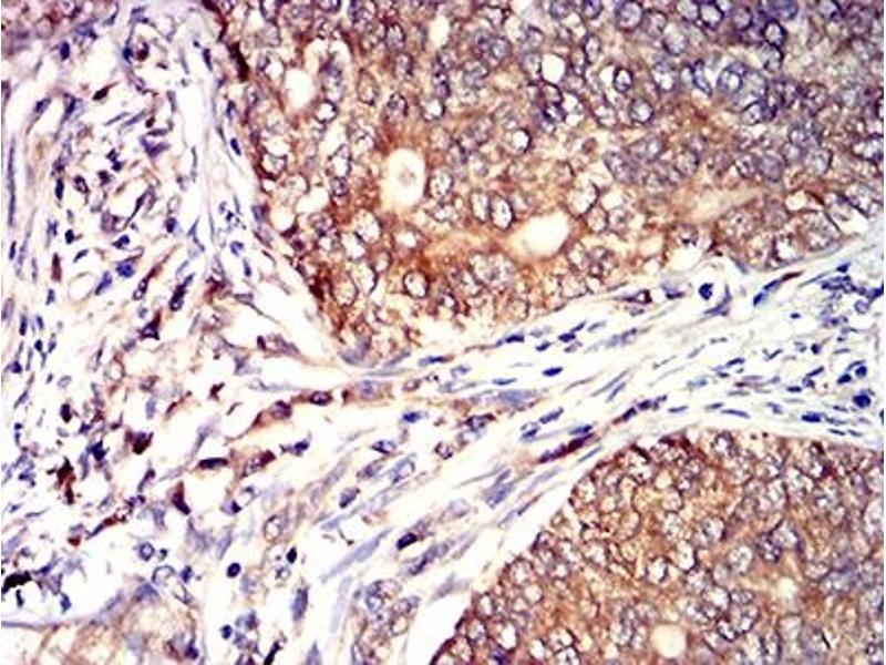
CD53 Antikörper

Dieser Maus Monoklonal Antikörper detektiert spezifisch CD53 in FACS, WB, IHC und ELISA. Es zeigt Reaktivität gegenüber Proben von Human.
Produktnummer ABIN7193233
657,84 €
Zzgl. Versandkosten 20,00 € und MwSt
100 μL
Lieferung nach: Deutschland
Lieferung in 7 bis 10 Werktagen

Kurzübersicht für CD53 Antikörper (ABIN7193233)

Target

Alle CD53 Antikörper anzeigen
CD53

Reaktivität

  • 80
  • 6
  • 5
Human

Wirt

  • 43
  • 39
  • 2
Maus

Klonalität

  • 57
  • 24
  • 3
Monoklonal

Konjugat

  • 36
  • 6
  • 4
  • 4
  • 2
  • 2
  • 2
  • 2
  • 2
  • 2
  • 2
  • 1
  • 1
  • 1
  • 1
  • 1
  • 1
  • 1
  • 1
  • 1
  • 1
  • 1
  • 1
  • 1
  • 1
  • 1
  • 1
  • 1
  • 1
  • 1
  • 1
Dieser CD53 Antikörper ist unkonjugiert

Applikation

  • 58
  • 43
  • 36
  • 21
  • 18
  • 13
  • 13
  • 13
  • 12
  • 9
  • 8
  • 5
  • 2
  • 1
Flow Cytometry (FACS), Western Blotting (WB), Immunohistochemistry (IHC), ELISA

Klon

7A8D3
  • Verwendungszweck

    CD53 Antibody

    Aufreinigung

    Purified antibody

    Immunogen

    Purified recombinant fragment of human CD53 (AA: mix) expressed in E. Coli.

    Isotyp

    IgG2a
  • Applikationshinweise

    ELISA: 1/10000

    FCM: 1/200 - 1/400

    Beschränkungen

    Nur für Forschungszwecke einsetzbar
  • Format

    Liquid

    Buffer

    Purified antibody in PBS with 0.05 % sodium azide.

    Konservierungsmittel

    Sodium azide

    Vorsichtsmaßnahmen

    This product contains Sodium azide: a POISONOUS AND HAZARDOUS SUBSTANCE which should be handled by trained staff only.

    Lagerung

    4 °C,-20 °C

    Informationen zur Lagerung

    Store at 4°C short term. Aliquot and store at -20°C long term. Avoid freeze/thaw cycles.
  • Target

    CD53

    Andere Bezeichnung

    CD53

    Hintergrund

    The protein encoded by this gene is a member of the transmembrane 4 superfamily, also known as the tetraspanin family. Most of these members are cell-surface proteins that are characterized by the presence of four hydrophobic domains. The proteins mediate signal transduction events that play a role in the regulation of cell development, activation, growth and motility. This encoded protein is a cell surface glycoprotein that is known to complex with integrins. It contributes to the transduction of CD2-generated signals in T cells and natural killer cells and has been suggested to play a role in growth regulation. Familial deficiency of this gene has been linked to an immunodeficiency associated with recurrent infectious diseases caused by bacteria, fungi and viruses. Alternative splicing results in multiple transcript variants.

    Molekulargewicht

    24.3 kDa

    Gen-ID

    963

    UniProt

    P19397
Sie sind hier:
Chat with us!