Telefon:
+49 (0)241 95 163 153
Fax:
+49 (0)241 95 163 155
E-Mail:
orders@antikoerper-online.de

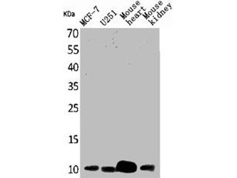
Diazepam Binding Inhibitor Antikörper (C-Term)

Der Kaninchen Polyklonal anti-Diazepam Binding Inhibitor Antikörper wird verwendet zum Nachweis von Diazepam Binding Inhibitor in Proben von Human. Er wurde validiert für WB und ELISA.
Produktnummer ABIN7184541
218,90 €
Zzgl. Versandkosten 20,00 € und MwSt
Lieferung nach: Deutschland
Lieferung in 11 bis 15 Werktagen

Kurzübersicht für Diazepam Binding Inhibitor Antikörper (C-Term) (ABIN7184541)

Target

Alle Diazepam Binding Inhibitor (DBI) Antikörper anzeigen
Diazepam Binding Inhibitor (DBI)

Reaktivität

  • 39
  • 14
  • 8
  • 1
  • 1
  • 1
  • 1
  • 1
  • 1
Human

Wirt

  • 40
  • 4
Kaninchen

Klonalität

  • 41
  • 3
Polyklonal

Konjugat

  • 25
  • 7
  • 4
  • 2
  • 1
  • 1
  • 1
  • 1
  • 1
  • 1
Dieser Diazepam Binding Inhibitor Antikörper ist unkonjugiert

Applikation

  • 33
  • 23
  • 15
  • 8
  • 5
  • 5
  • 3
  • 2
  • 2
  • 2
  • 1
Western Blotting (WB), ELISA
  • Bindungsspezifität

    • 5
    • 4
    • 4
    • 3
    • 3
    • 2
    • 1
    • 1
    • 1
    • 1
    • 1
    • 1
    C-Term

    Verwendungszweck

    DBI Antibody

    Kreuzreaktivität

    Maus, Ratte

    Aufreinigung

    The antibody was affinity-purified from rabbit antiserum by affinity-chromatography using epitope-specific immunogen.

    Immunogen

    Synthesized peptide derived from the C-terminal region of Human ACBP.

    Isotyp

    IgG
  • Applikationshinweise

    Optimal working dilution should be determined by the investigator.

    Beschränkungen

    Nur für Forschungszwecke einsetzbar
  • Format

    Liquid

    Buffer

    PBS containing 50 % glycerol, 0.5 % BSA and 0.02 % sodium azide.

    Konservierungsmittel

    Sodium azide

    Vorsichtsmaßnahmen

    This product contains Sodium azide: a POISONOUS AND HAZARDOUS SUBSTANCE which should be handled by trained staff only.

    Lagerung

    -20 °C,-80 °C

    Informationen zur Lagerung

    Upon receipt, store at -20°C or -80°C. Avoid repeated freeze.
  • Target

    Diazepam Binding Inhibitor (DBI)

    Andere Bezeichnung

    DBI

    Hintergrund

    ACBD 1 antibody, ACBD1 antibody, ACBP antibody, ACBP_HUMAN antibody, Acyl CoA binding domain containing 1 antibody, Acyl CoA binding protein antibody, Acyl Coenzyme A binding domain containing 1 antibody, Acyl coenzyme A binding protein antibody, Acyl-CoA-binding protein antibody, CCK RP antibody, CCKRP antibody, Cholecystokinin releasing peptide trypsin sensitive antibody, DBI antibody, Diazepam-binding inhibitor antibody, Endozepine antibody, EP antibody, GABA receptor modulator antibody, MGC70414 antibody

    UniProt

    P07108
Sie sind hier:
Chat with us!