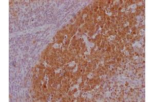
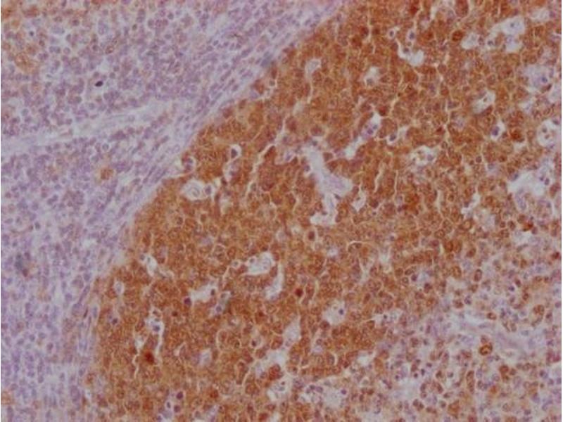
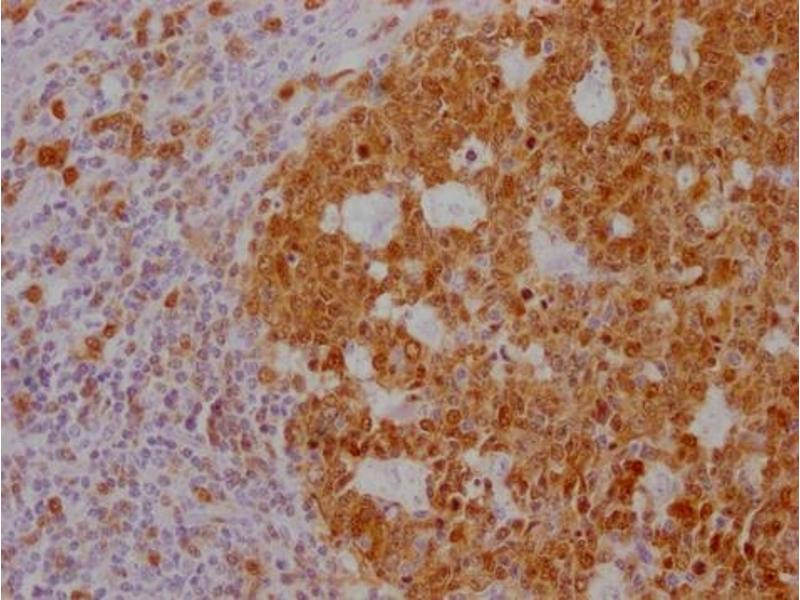
POU2AF1 Antikörper
Dieser Maus Monoklonal Antikörper detektiert spezifisch POU2AF1 in IHC und ELISA. Es zeigt Reaktivität gegenüber Proben von Human.
Produktnummer ABIN7180562
328,90 €
Zzgl. Versandkosten 20,00 € und MwSt
Lieferung in 11 bis 15 Werktagen
Kurzübersicht für POU2AF1 Antikörper (ABIN7180562)
Target
Alle POU2AF1 Antikörper anzeigen
POU2AF1
(POU Class 2 Associating Factor 1 (POU2AF1))
Reaktivität
Human
Wirt
Maus
Klonalität
Monoklonal
Konjugat
Dieser POU2AF1 Antikörper ist unkonjugiert
Applikation
Immunohistochemistry (IHC), ELISA
-
-
Verwendungszweck
-
POU2AF1 Monoclonal Antibody
-
Aufreinigung
-
The antibody was affinity-purified from mouse ascites by affinity-chromatography using specific immunogen.
-
Immunogen
-
Synthesized peptide derived from human BOB.1
-
Isotyp
-
IgG2a, kappa
-
-
-
Applikationshinweise
-
Optimal working dilution should be determined by the investigator.
-
Beschränkungen
-
Nur für Forschungszwecke einsetzbar
-
-
Format
-
Liquid
-
Buffer
-
PBS containing 50 % glycerol, 0.5 % BSA and 0.02 % sodium azide.
-
Konservierungsmittel
-
Sodium azide
-
Vorsichtsmaßnahmen
-
This product contains Sodium azide: a POISONOUS AND HAZARDOUS SUBSTANCE which should be handled by trained staff only.
-
Lagerung
-
-20 °C,-80 °C
-
Informationen zur Lagerung
-
Upon receipt, store at -20°C or -80°C. Avoid repeated freeze.
-
Target
-
POU2AF1
(POU Class 2 Associating Factor 1 (POU2AF1))
-
Andere Bezeichnung
-
POU2AF1
-
Hintergrund
-
POU domain class 2-associating factor 1 (B-cell-specific coactivator OBF-1) (BOB-1) (OCA-B) (OCT-binding factor 1), POU2AF1, OBF1
-
UniProt
-
Q16633
-