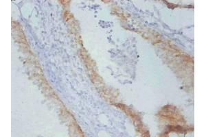
TIMP1 Antikörper
Kurzübersicht für TIMP1 Antikörper (ABIN7179094)
Target
Alle TIMP1 Antikörper anzeigenReaktivität
Wirt
Klonalität
Konjugat
Applikation
Klon
-
-
Verwendungszweck
- Timp1 Monoclonal Antibody
-
Aufreinigung
- Protein G purified
-
Reinheit
- >95 %
-
Immunogen
- Recombinant Rat Timp1
-
Isotyp
- IgG1
-
-
-
-
Applikationshinweise
- Optimal working dilution should be determined by the investigator.
-
Beschränkungen
- Nur für Forschungszwecke einsetzbar
-
-
-
Format
- Liquid
-
Buffer
-
Preservative: 0.03 % Proclin 300
Constituents: 50 % Glycerol, 0.01M PBS, PH 7.4 -
Konservierungsmittel
- ProClin
-
Vorsichtsmaßnahmen
- This product contains ProClin: a POISONOUS AND HAZARDOUS SUBSTANCE which should be handled by trained staff only.
-
Lagerung
- -20 °C,-80 °C
-
Informationen zur Lagerung
- Upon receipt, store at -20°C or -80°C. Avoid repeated freeze.
-
-
- TIMP1 (TIMP Metallopeptidase Inhibitor 1 (TIMP1))
-
Andere Bezeichnung
- Timp1
-
Hintergrund
-
Background: Complexes with metalloproteinases (such as collagenases) and irreversibly inactivates them by binding to their catalytic zinc cofactor. Also stimulates steroidogenesis by Leydig and ovarian granuloma cells, procathepsin L is required for maximal activity.
Aliases: Timp-1
-
UniProt
- P30120
Target
-