Telefon:
+49 (0)241 95 163 153
Fax:
+49 (0)241 95 163 155
E-Mail:
orders@antikoerper-online.de

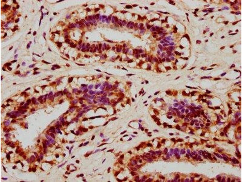
UVSSA/KIAA1530 Antikörper (AA 143-206)

Der Kaninchen Polyklonal anti-UVSSA/KIAA1530 Antikörper (ABIN7175182) detektiert spezifisch UVSSA/KIAA1530 in ELISA und IHC. Dieser Antikörper reagiert spezifisch mit Proben aus Human.
Produktnummer ABIN7175182
328,90 €
Zzgl. Versandkosten 20,00 € und MwSt
Lieferung nach: Deutschland
Lieferung in 11 bis 15 Werktagen

Kurzübersicht für UVSSA/KIAA1530 Antikörper (AA 143-206) (ABIN7175182)

Target

Alle UVSSA/KIAA1530 (UVSSA) Antikörper anzeigen
UVSSA/KIAA1530 (UVSSA) (UV Stimulated Scaffold Protein A (UVSSA))

Reaktivität

  • 8
  • 1
  • 1
Human

Wirt

  • 6
  • 2
Kaninchen

Klonalität

  • 7
  • 1
Polyklonal

Konjugat

  • 5
  • 1
  • 1
  • 1
Dieser UVSSA/KIAA1530 Antikörper ist unkonjugiert

Applikation

  • 5
  • 2
  • 2
  • 2
ELISA, Immunohistochemistry (IHC)
  • Bindungsspezifität

    • 3
    • 2
    • 1
    • 1
    • 1
    AA 143-206

    Verwendungszweck

    UVSSA Antibody

    Aufreinigung

    Protein G purified

    Reinheit

    >95 %

    Immunogen

    Recombinant Human UV-stimulated scaffold protein A protein (143-206AA)

    Isotyp

    IgG
  • Applikationshinweise

    Optimal working dilution should be determined by the investigator.

    Beschränkungen

    Nur für Forschungszwecke einsetzbar
  • Format

    Liquid

    Buffer

    Preservative: 0.03 % Proclin 300
    Constituents: 50 % Glycerol, 0.01M PBS, pH 7.4

    Konservierungsmittel

    ProClin

    Vorsichtsmaßnahmen

    This product contains ProClin: a POISONOUS AND HAZARDOUS SUBSTANCE which should be handled by trained staff only.

    Lagerung

    -20 °C,-80 °C

    Informationen zur Lagerung

    Upon receipt, store at -20°C or -80°C. Avoid repeated freeze.
  • Target

    UVSSA/KIAA1530 (UVSSA) (UV Stimulated Scaffold Protein A (UVSSA))

    Andere Bezeichnung

    UVSSA

    Hintergrund

    Background: Factor involved in transcription-coupled nucleotide excision repair (TC-NER) in response to UV damage. TC-NER allows RNA polymerase II-blocking lesions to be rapidly removed from the transcribed strand of active genes. Acts by promoting stabilization of ERCC6 by recruiting deubiquitinating enzyme USP7 to TC-NER complexes, preventing UV-induced degradation of ERCC6 by the proteasome. Interacts with the elongating form of RNA polymerase II (RNA pol IIo) and facilitates its ubiquitination at UV damage sites, leading to promote RNA pol IIo backtracking to allow access to the nucleotide excision repair machinery. Not involved in processing oxidative damage.

    Aliases: hypothetical protein LOC57654 antibody, K1530_HUMAN antibody, KIAA1530 antibody, Uncharacterized protein KIAA1530 antibody, UV stimulated scaffold protein A antibody, UVSS3 antibody, UVSSA antibody

    UniProt

    Q2YD98
Sie sind hier:
Chat with us!