Telefon:
+49 (0)241 95 163 153
Fax:
+49 (0)241 95 163 155
E-Mail:
orders@antikoerper-online.de

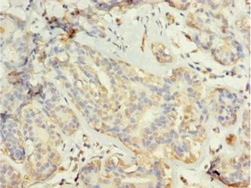
TUBG2 Antikörper (AA 276-451)

Der Kaninchen Polyklonal anti-TUBG2 Antikörper (ABIN7173703) detektiert spezifisch TUBG2 in ELISA, WB und IHC. Dieser Antikörper reagiert spezifisch mit Proben aus Human.
Produktnummer ABIN7173703
328,90 €
Zzgl. Versandkosten 20,00 € und MwSt
Lieferung nach: Deutschland
Lieferung in 11 bis 15 Werktagen

Kurzübersicht für TUBG2 Antikörper (AA 276-451) (ABIN7173703)

Target

Alle TUBG2 Antikörper anzeigen
TUBG2 (Tubulin, gamma 2 (TUBG2))

Reaktivität

  • 19
  • 14
  • 2
  • 2
  • 2
  • 2
  • 2
  • 1
  • 1
  • 1
  • 1
  • 1
  • 1
Human

Wirt

  • 19
  • 2
Kaninchen

Klonalität

  • 19
  • 2
Polyklonal

Konjugat

  • 10
  • 2
  • 2
  • 1
  • 1
  • 1
  • 1
  • 1
  • 1
  • 1
Dieser TUBG2 Antikörper ist unkonjugiert

Applikation

  • 9
  • 7
  • 2
  • 2
  • 1
ELISA, Western Blotting (WB), Immunohistochemistry (IHC)
  • Bindungsspezifität

    • 5
    • 3
    • 1
    • 1
    • 1
    • 1
    • 1
    AA 276-451

    Verwendungszweck

    TUBG2 Antibody

    Kreuzreaktivität

    Maus

    Aufreinigung

    Protein G purified

    Reinheit

    >95 %

    Immunogen

    Recombinant Human Tubulin gamma-2 chain protein (276-451AA)

    Isotyp

    IgG
  • Applikationshinweise

    Optimal working dilution should be determined by the investigator.

    Beschränkungen

    Nur für Forschungszwecke einsetzbar
  • Format

    Liquid

    Buffer

    Preservative: 0.03 % Proclin 300
    Constituents: 50 % Glycerol, 0.01M PBS, PH 7.4

    Konservierungsmittel

    ProClin

    Vorsichtsmaßnahmen

    This product contains ProClin: a POISONOUS AND HAZARDOUS SUBSTANCE which should be handled by trained staff only.

    Lagerung

    -20 °C,-80 °C

    Informationen zur Lagerung

    Upon receipt, store at -20°C or -80°C. Avoid repeated freeze.
  • Target

    TUBG2 (Tubulin, gamma 2 (TUBG2))

    Andere Bezeichnung

    TUBG2

    Hintergrund

    Background: Tubulin is the major constituent of microtubules. The gamma chain is found at microtubule organizing centers (MTOC) such as the spindle poles or the centrosome. Pericentriolar matrix component that regulates alpha/beta chain minus-end nucleation, centrosome duplication and spindle formation (By similarity).

    Aliases: Gamma 1 tubulin antibody, Gamma 2 tubulin antibody, Gamma Tubulin 1 antibody, Gamma Tubulin 2 antibody, Gamma tubulin complex component 1 antibody, Gamma-2-tubulin antibody, GCP 1 antibody, GCP-1 antibody, GCP1 antibody, MGC131994 antibody, TBG2_HUMAN antibody, TUBG antibody, TUBG1 antibody, TUBG2 antibody, TUBGCP1 antibody, Tubulin gamma 1 chain antibody, Tubulin gamma 2 chain antibody, Tubulin gamma complex-associated protein 1 antibody, Tubulin gamma-2 chain antibody, tubulin, gamma 1 antibody, tubulin, gamma 2 antibody, tubulin, gamma polypeptide antibody, Xgam antibody

    UniProt

    Q9NRH3

    Pathways

    Microtubule Dynamics, M Phase
Sie sind hier:
Chat with us!