Telefon:
+49 (0)241 95 163 153
Fax:
+49 (0)241 95 163 155
E-Mail:
orders@antikoerper-online.de

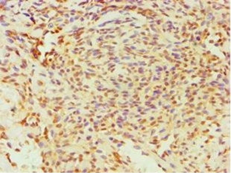
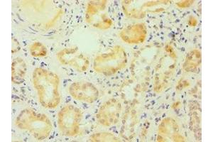
ESRRA Antikörper (AA 1-423)

Dieser Kaninchen Polyklonal Antikörper detektiert spezifisch ESRRA in IHC und ELISA. Es zeigt Reaktivität gegenüber Proben von Human.
Produktnummer ABIN7170761
328,90 €
Zzgl. Versandkosten 20,00 € und MwSt
Lieferung nach: Deutschland
Lieferung in 11 bis 15 Werktagen

Kurzübersicht für ESRRA Antikörper (AA 1-423) (ABIN7170761)

Target

Alle ESRRA Antikörper anzeigen
ESRRA (Estrogen-Related Receptor alpha (ESRRA))

Reaktivität

  • 55
  • 32
  • 31
  • 6
  • 6
  • 6
  • 5
  • 4
  • 4
  • 4
  • 2
  • 1
Human

Wirt

  • 45
  • 10
Kaninchen

Klonalität

  • 28
  • 27
Polyklonal

Konjugat

  • 36
  • 2
  • 2
  • 2
  • 2
  • 2
  • 2
  • 2
  • 1
  • 1
  • 1
  • 1
  • 1
Dieser ESRRA Antikörper ist unkonjugiert

Applikation

  • 44
  • 15
  • 14
  • 10
  • 8
  • 6
  • 4
  • 3
  • 2
  • 1
  • 1
  • 1
Immunohistochemistry (IHC), ELISA
  • Bindungsspezifität

    • 5
    • 4
    • 4
    • 3
    • 2
    • 2
    • 2
    • 2
    • 2
    • 1
    • 1
    • 1
    • 1
    • 1
    • 1
    • 1
    AA 1-423

    Verwendungszweck

    ESRRA Antibody

    Aufreinigung

    Antigen Affinity Purified

    Immunogen

    Recombinant Human Steroid hormone receptor ERR1 protein (1-423AA)

    Isotyp

    IgG
  • Applikationshinweise

    Optimal working dilution should be determined by the investigator.

    Beschränkungen

    Nur für Forschungszwecke einsetzbar
  • Format

    Liquid

    Buffer

    PBS with 0.02 % sodium azide, 50 % glycerol, pH 7.3.

    Konservierungsmittel

    Sodium azide

    Vorsichtsmaßnahmen

    This product contains Sodium azide: a POISONOUS AND HAZARDOUS SUBSTANCE which should be handled by trained staff only.

    Lagerung

    -20 °C,-80 °C

    Informationen zur Lagerung

    Upon receipt, store at -20°C or -80°C. Avoid repeated freeze.
  • Target

    ESRRA (Estrogen-Related Receptor alpha (ESRRA))

    Andere Bezeichnung

    ESRRA

    Hintergrund

    Background: Binds to an ERR-alpha response element (ERRE) containing a single consensus half-site, 5\\\'-TNAAGGTCA-3\\\'. Can bind to the medium-chain acyl coenzyme A dehydrogenase (MCAD) response element NRRE-1 and may act as an important regulator of MCAD promoter. Binds to the C1 region of the lactoferrin gene promoter. Requires dimerization and the coactivator, PGC-1A, for full activity. The ERRalpha/PGC1alpha complex is a regulator of energy metabolism. Induces the expression of PERM1 in the skeletal muscle.

    Aliases: Err 1 antibody, ERR a antibody, ERR alpha antibody, ERR-alpha antibody, Err1 antibody, ERR1 protein antibody, ERR1_HUMAN antibody, ERRa antibody, ERRalpha antibody, ESRL 1 antibody, ESRL1 antibody, ESRR A antibody, Esrra antibody, Estrogen receptor like 1 antibody, Estrogen receptor related 1 antibody, estrogen receptor related receptor alpha antibody, Estrogen receptor-like 1 antibody, Estrogen related receptor alpha antibody, Estrogen-related receptor alpha antibody, Estrra antibody, hERR1 antibody, NR3B1 antibody, Nuclear receptor subfamily 3 group B member 1 antibody, Steroid hormone receptor ERR1 antibody

    UniProt

    P11474

    Pathways

    Nuclear Receptor Transcription Pathway, Steroid Hormone Mediated Signaling Pathway, Regulation of Lipid Metabolism by PPARalpha
Sie sind hier:
Chat with us!