Telefon:
+49 (0)241 95 163 153
Fax:
+49 (0)241 95 163 155
E-Mail:
orders@antikoerper-online.de

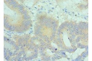
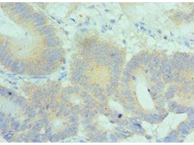
PLK2 Antikörper (AA 336-685)

Der Kaninchen Polyklonal anti-PLK2 Antikörper (ABIN7169161) detektiert spezifisch PLK2 in ELISA und IHC. Dieser Antikörper reagiert spezifisch mit Proben aus Human.
Produktnummer ABIN7169161
328,90 €
Zzgl. Versandkosten 20,00 € und MwSt
Lieferung nach: Deutschland
Lieferung in 11 bis 15 Werktagen

Kurzübersicht für PLK2 Antikörper (AA 336-685) (ABIN7169161)

Target

Alle PLK2 Antikörper anzeigen
PLK2 (Polo-Like Kinase 2 (PLK2))

Reaktivität

  • 47
  • 28
  • 25
  • 3
  • 3
  • 2
  • 2
  • 2
  • 2
  • 1
  • 1
  • 1
  • 1
  • 1
  • 1
Human

Wirt

  • 46
  • 1
Kaninchen

Klonalität

  • 47
Polyklonal

Konjugat

  • 30
  • 3
  • 2
  • 2
  • 2
  • 2
  • 1
  • 1
  • 1
  • 1
  • 1
  • 1
Dieser PLK2 Antikörper ist unkonjugiert

Applikation

  • 37
  • 27
  • 18
  • 7
  • 3
  • 2
  • 1
  • 1
  • 1
  • 1
  • 1
ELISA, Immunohistochemistry (IHC)
  • Bindungsspezifität

    • 8
    • 7
    • 5
    • 3
    • 2
    • 2
    • 2
    • 2
    • 1
    • 1
    • 1
    • 1
    • 1
    • 1
    • 1
    • 1
    • 1
    • 1
    AA 336-685

    Verwendungszweck

    PLK2 Antibody

    Aufreinigung

    Antigen Affinity Purified

    Immunogen

    Recombinant Human Serine/threonine-protein kinase PLK2 protein (336-685AA)

    Isotyp

    IgG
  • Applikationshinweise

    Optimal working dilution should be determined by the investigator.

    Beschränkungen

    Nur für Forschungszwecke einsetzbar
  • Format

    Liquid

    Buffer

    PBS with 0.02 % sodium azide, 50 % glycerol, pH 7.3.

    Konservierungsmittel

    Sodium azide

    Vorsichtsmaßnahmen

    This product contains Sodium azide: a POISONOUS AND HAZARDOUS SUBSTANCE which should be handled by trained staff only.

    Lagerung

    -20 °C,-80 °C

    Informationen zur Lagerung

    Upon receipt, store at -20°C or -80°C. Avoid repeated freeze.
  • Target

    PLK2 (Polo-Like Kinase 2 (PLK2))

    Andere Bezeichnung

    PLK2

    Hintergrund

    Background: Tumor suppressor serine/threonine-protein kinase involved in synaptic plasticity, centriole duplication and G1/S phase transition. Polo-like kinases act by binding and phosphorylating proteins are that already phosphorylated on a specific motif recognized by the POLO box domains. Phosphorylates CENPJ, NPM1, RAPGEF2, RASGRF1, SNCA, SIPA1L1 and SYNGAP1. Plays a key role in synaptic plasticity and memory by regulating the Ras and Rap protein signaling: required for overactivity-dependent spine remodeling by phosphorylating the Ras activator RASGRF1 and the Rap inhibitor SIPA1L1 leading to their degradation by the proteasome. Conversely, phosphorylates the Rap activator RAPGEF2 and the Ras inhibitor SYNGAP1, promoting their activity. Also regulates synaptic plasticity independently of kinase activity, via its interaction with NSF that disrupts the interaction between NSF and the GRIA2 subunit of AMPARs, leading to a rapid rundown of AMPAR-mediated current that occludes long term depression. Required for procentriole formation and centriole duplication by phosphorylating CENPJ and NPM1, respectively. Its induction by p53/TP53 suggests that it may participate in the mitotic checkpoint following stress.

    Aliases: hPlk2 antibody, hSNK antibody, PLK-2 antibody, Plk2 antibody, PLK2_HUMAN antibody, Polo like kinase 2 antibody, Polo-like kinase 2 antibody, Serine/threonine protein kinase PLK2 antibody, Serine/threonine protein kinase SNK antibody, Serine/threonine-protein kinase PLK2 antibody, Serine/threonine-protein kinase SNK antibody, Serum Induced Kinase antibody, Serum-inducible kinase antibody, SNK antibody

    UniProt

    Q9NYY3
Sie sind hier:
Chat with us!