Telefon:
+49 (0)241 95 163 153
Fax:
+49 (0)241 95 163 155
E-Mail:
orders@antikoerper-online.de

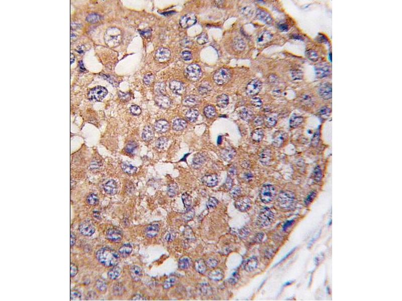
PLK2 Antikörper (C-Term)

Dieser Kaninchen Polyklonal Antikörper detektiert spezifisch PLK2 in WB und IHC (p). Es zeigt Reaktivität gegenüber Proben von Human, Maus und Ratte.
Produktnummer ABIN391375
434,77 €
Zzgl. Versandkosten 20,00 € und MwSt
Lieferung nach: Deutschland
Lieferung in 14 bis 17 Werktagen

Kurzübersicht für PLK2 Antikörper (C-Term) (ABIN391375)

Target

Alle PLK2 Antikörper anzeigen
PLK2 (Polo-Like Kinase 2 (PLK2))

Reaktivität

  • 47
  • 27
  • 24
  • 3
  • 3
  • 2
  • 2
  • 2
  • 2
  • 1
  • 1
  • 1
  • 1
  • 1
  • 1
Human, Maus, Ratte

Wirt

  • 46
  • 1
Kaninchen

Klonalität

  • 47
Polyklonal

Konjugat

  • 30
  • 3
  • 2
  • 2
  • 2
  • 2
  • 1
  • 1
  • 1
  • 1
  • 1
  • 1
Dieser PLK2 Antikörper ist unkonjugiert

Applikation

  • 36
  • 28
  • 19
  • 6
  • 3
  • 2
  • 1
  • 1
  • 1
  • 1
  • 1
Western Blotting (WB), Immunohistochemistry (Paraffin-embedded Sections) (IHC (p))

Klon

RB0873
  • Bindungsspezifität

    • 7
    • 7
    • 4
    • 3
    • 2
    • 2
    • 2
    • 2
    • 1
    • 1
    • 1
    • 1
    • 1
    • 1
    • 1
    • 1
    • 1
    • 1
    • 1
    AA 375-406, C-Term

    Aufreinigung

    This antibody is purified through a protein A column, followed by peptide affinity purification.

    Immunogen

    This PLK2 (SNK) antibody is generated from rabbits immunized with a KLH conjugated synthetic peptide between 375-406 amino acids from the C-terminal region of human PLK2 (SNK).

    Isotyp

    Ig Fraction
  • Applikationshinweise

    WB: 1:1000. WB: 1:1000. WB: 1:1000. IHC-P: 1:50~100

    Beschränkungen

    Nur für Forschungszwecke einsetzbar
  • Format

    Liquid

    Buffer

    Purified polyclonal antibody supplied in PBS with 0.09 % (W/V) sodium azide.

    Konservierungsmittel

    Sodium azide

    Vorsichtsmaßnahmen

    This product contains Sodium azide: a POISONOUS AND HAZARDOUS SUBSTANCE which should be handled by trained staff only.

    Lagerung

    4 °C,-20 °C

    Informationen zur Lagerung

    Maintain refrigerated at 2-8 °C for up to 6 months. For long term storage store at -20 °C in small aliquots to prevent freeze-thaw cycles.

    Haltbarkeit

    6 months
  • Target

    PLK2 (Polo-Like Kinase 2 (PLK2))

    Andere Bezeichnung

    PLK2 (SNK)

    Hintergrund

    Plks (polo-like kinases) encode serine/threonine kinases that are closely related to polo and CDC5, genes that are required for passage through mitosis in Drosophila and Saccharomyces, respectively. Polo-like kinases, which include Plk, Snk (for serum-inducible kinase, also designated Plk2) and Fnk (for FGF-inducible kinase, also designated Plk3 or PRK), play a role in cell proliferation. Plk protein accumulates in the cell during S and G2 phases of the cell cycle, and both protein content and catalytic activity peak at the onset of mitosis, followed by a rapid reduction after mitosis. Snk and Fnk are immediate-early response genes that are first expressed during G1 phase. SNK may play a role in the division of at least some cell types, such as fibroblasts, and could function in embryogenesis, wound healing or neoplasia SNK mRNA is rapidly induced in human lung fibroblasts upon reintroduction of serum following 36 hours of serum deprivation.

    Molekulargewicht

    78237

    Gen-ID

    10769

    NCBI Accession

    NP_001239155, NP_006613

    UniProt

    Q9NYY3
Sie sind hier:
Chat with us!