Telefon:
+49 (0)241 95 163 153
Fax:
+49 (0)241 95 163 155
E-Mail:
orders@antikoerper-online.de

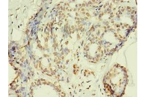
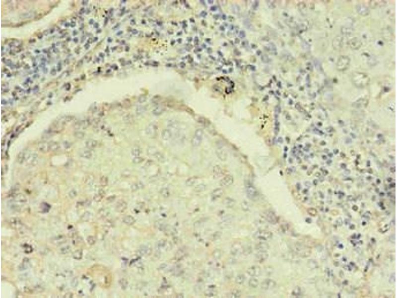
RRM1 Antikörper

Der Maus Monoklonal anti-RRM1 Antikörper wird verwendet zum Nachweis von RRM1 in Proben von Human. Er wurde validiert für ELISA und IHC.
Produktnummer ABIN7168449
385,00 €
Zzgl. Versandkosten 20,00 € und MwSt
Lieferung nach: Deutschland
Lieferung in 11 bis 15 Werktagen

Kurzübersicht für RRM1 Antikörper (ABIN7168449)

Target

Alle RRM1 Antikörper anzeigen
RRM1 (Ribonucleotide Reductase M1 (RRM1))

Reaktivität

  • 97
  • 43
  • 31
  • 9
  • 8
  • 5
  • 4
  • 4
  • 4
  • 3
  • 2
  • 2
  • 2
  • 1
  • 1
  • 1
  • 1
Human

Wirt

  • 94
  • 7
Maus

Klonalität

  • 71
  • 30
Monoklonal

Konjugat

  • 47
  • 7
  • 4
  • 4
  • 4
  • 4
  • 4
  • 4
  • 4
  • 4
  • 1
  • 1
  • 1
  • 1
  • 1
  • 1
  • 1
  • 1
  • 1
  • 1
  • 1
  • 1
  • 1
  • 1
  • 1
Dieser RRM1 Antikörper ist unkonjugiert

Applikation

  • 60
  • 27
  • 23
  • 22
  • 15
  • 13
  • 13
  • 8
  • 7
  • 7
  • 4
  • 1
ELISA, Immunohistochemistry (IHC)

Klon

3D6H5
  • Verwendungszweck

    RRM1 Monoclonal Antibody

    Aufreinigung

    Protein G purified

    Reinheit

    >95 %

    Immunogen

    Recombinant Human RRM1 Protein

    Isotyp

    IgG
  • Applikationshinweise

    Optimal working dilution should be determined by the investigator.

    Beschränkungen

    Nur für Forschungszwecke einsetzbar
  • Format

    Liquid

    Buffer

    Preservative: 0.03 % Proclin 300
    Constituents: 50 % Glycerol, 0.01M PBS, PH 7.4

    Konservierungsmittel

    ProClin

    Vorsichtsmaßnahmen

    This product contains ProClin: a POISONOUS AND HAZARDOUS SUBSTANCE which should be handled by trained staff only.

    Lagerung

    -20 °C,-80 °C

    Informationen zur Lagerung

    Upon receipt, store at -20°C or -80°C. Avoid repeated freeze.
  • Target

    RRM1 (Ribonucleotide Reductase M1 (RRM1))

    Andere Bezeichnung

    RRM1

    Hintergrund

    Background: This gene encodes one of two non-identical subunits that constitute ribonucleoside-diphosphate reductase, an enzyme essential for the production of deoxyribonucleotides prior to DNA synthesis in S phase of dividing cells.It is one of several genes located in the imprinted gene domain of 11p15.5, an important tumor-suppressor gene region. Alterations in this region have been associated with the Beckwith-Wiedemann syndrome, Wilms tumor,rhabdomyosarcoma, adrenocrotical carcinoma, and lung, ovarian, and breast cancer. This gene may play a role in malignancies and disease that involve this region.

    Aliases: Ribonucleotide Reductase M1,RRM1,RR1

    UniProt

    P23921

    Pathways

    Positive Regulation of Endopeptidase Activity
Sie sind hier:
Chat with us!