Telefon:
+49 (0)241 95 163 153
Fax:
+49 (0)241 95 163 155
E-Mail:
orders@antikoerper-online.de

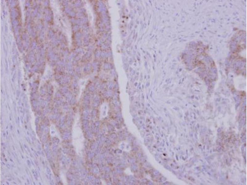
RRM1 Antikörper (Center)

Der Kaninchen Polyklonal anti-RRM1 Antikörper wird verwendet zum Nachweis von RRM1 in Proben von Human. Er wurde validiert für WB, IF, ICC und IHC (p).
Produktnummer ABIN2854856
583,17 €
Zzgl. Versandkosten 20,00 € und MwSt
100 μL
Lieferung nach: Deutschland
Lieferung in 7 bis 10 Werktagen

Kurzübersicht für RRM1 Antikörper (Center) (ABIN2854856)

Target

Alle RRM1 Antikörper anzeigen
RRM1 (Ribonucleotide Reductase M1 (RRM1))

Reaktivität

  • 97
  • 43
  • 31
  • 9
  • 8
  • 5
  • 4
  • 4
  • 4
  • 3
  • 2
  • 2
  • 2
  • 1
  • 1
  • 1
  • 1
Human

Wirt

  • 93
  • 8
Kaninchen

Klonalität

  • 70
  • 31
Polyklonal

Konjugat

  • 47
  • 7
  • 4
  • 4
  • 4
  • 4
  • 4
  • 4
  • 4
  • 4
  • 1
  • 1
  • 1
  • 1
  • 1
  • 1
  • 1
  • 1
  • 1
  • 1
  • 1
  • 1
  • 1
  • 1
  • 1
Dieser RRM1 Antikörper ist unkonjugiert

Applikation

  • 59
  • 28
  • 24
  • 21
  • 14
  • 13
  • 13
  • 8
  • 7
  • 6
  • 4
  • 1
Western Blotting (WB), Immunofluorescence (IF), Immunocytochemistry (ICC), Immunohistochemistry (Paraffin-embedded Sections) (IHC (p))
  • Bindungsspezifität

    • 15
    • 11
    • 7
    • 5
    • 2
    • 2
    • 2
    • 2
    • 2
    • 2
    • 2
    • 1
    • 1
    • 1
    • 1
    • 1
    • 1
    • 1
    Center

    Kreuzreaktivität

    Human, Maus

    Produktmerkmale

    Rabbit Polyclonal antibody to RRM1 (ribonucleotide reductase M1)
    RRM1 antibody

    Aufreinigung

    Purified by antigen-affinity chromatography.

    Immunogen

    Recombinant protein encompassing a sequence within the center region of human RRM1. The exact sequence is proprietary.

    Isotyp

    IgG
  • Applikationshinweise

    WB: 1:500-1:3000. ICC/IF: 1:100-1:1000. IHC-P: 1:100-1:1000. Optimal dilutions/concentrations should be determined by the researcher. Not tested in other applications.

    Kommentare

    Positive Control: NIH-3T3 , Raw264.7 , C2C12

    Beschränkungen

    Nur für Forschungszwecke einsetzbar
  • Format

    Liquid

    Konzentration

    0.49 mg/mL

    Buffer

    1XPBS ( pH 7), 20 % Glycerol, 0.025 % ProClin 300

    Konservierungsmittel

    ProClin

    Vorsichtsmaßnahmen

    This product contains ProClin: a POISONOUS AND HAZARDOUS SUBSTANCE which should be handled by trained staff only.

    Lagerung

    4 °C,-20 °C

    Informationen zur Lagerung

    Store as concentrated solution. Centrifuge briefly prior to opening vial. For short-term storage (1-2 weeks), store at 4°C. For long-term storage, aliquot and store at -20°C or below. Avoid multiple freeze-thaw cycles.
  • Target

    RRM1 (Ribonucleotide Reductase M1 (RRM1))

    Andere Bezeichnung

    ribonucleotide reductase M1

    Hintergrund

    This gene encodes one of two non-identical subunits that constitute ribonucleoside-diphosphate reductase, an enzyme essential for the production of deoxyribonucleotides prior to DNA synthesis in S phase of dividing cells. It is one of several genes located in the imprinted gene domain of 11p15.5, an important tumor-suppressor gene region. Alterations in this region have been associated with the Beckwith-Wiedemann syndrome, Wilms tumor, rhabdomyosarcoma, adrenocrotical carcinoma, and lung, ovarian, and breast cancer. This gene may play a role in malignancies and disease that involve this region.

    Cellular Localization: Cytoplasm

    Molekulargewicht

    90 kDa

    Gen-ID

    6240

    UniProt

    P23921

    Pathways

    Positive Regulation of Endopeptidase Activity
Sie sind hier:
Chat with us!