Telefon:
+49 (0)241 95 163 153
Fax:
+49 (0)241 95 163 155
E-Mail:
orders@antikoerper-online.de

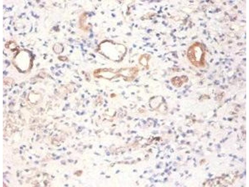
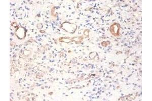
PKM Antikörper (AA 2-192)

Dieser Kaninchen Polyklonal Antikörper detektiert spezifisch PKM in ELISA, IHC und IF. Es zeigt Reaktivität gegenüber Proben von Human.
Produktnummer ABIN7166912
328,90 €
Zzgl. Versandkosten 20,00 € und MwSt
Lieferung nach: Deutschland
Lieferung in 11 bis 15 Werktagen

Kurzübersicht für PKM Antikörper (AA 2-192) (ABIN7166912)

Target

Alle PKM Antikörper anzeigen
PKM (Pyruvate Kinase M1/2 (PKM))

Reaktivität

  • 49
  • 17
  • 10
  • 4
  • 2
Human

Wirt

  • 43
  • 9
  • 3
Kaninchen

Klonalität

  • 42
  • 13
Polyklonal

Konjugat

  • 37
  • 5
  • 4
  • 3
  • 1
  • 1
  • 1
  • 1
  • 1
  • 1
Dieser PKM Antikörper ist unkonjugiert

Applikation

  • 33
  • 31
  • 19
  • 16
  • 8
  • 6
  • 6
  • 2
  • 1
ELISA, Immunohistochemistry (IHC), Immunofluorescence (IF)
  • Bindungsspezifität

    • 5
    • 4
    • 4
    • 4
    • 2
    • 2
    • 2
    • 2
    • 1
    • 1
    • 1
    • 1
    • 1
    • 1
    • 1
    AA 2-192

    Verwendungszweck

    PKM Antibody

    Aufreinigung

    Protein G purified

    Reinheit

    >95 %

    Immunogen

    Recombinant Human Pyruvate kinase PKM protein (2-192AA)

    Isotyp

    IgG
  • Applikationshinweise

    Optimal working dilution should be determined by the investigator.

    Beschränkungen

    Nur für Forschungszwecke einsetzbar
  • Format

    Liquid

    Buffer

    Preservative: 0.03 % Proclin 300
    Constituents: 50 % Glycerol, 0.01M PBS, PH 7.4

    Konservierungsmittel

    ProClin

    Vorsichtsmaßnahmen

    This product contains ProClin: a POISONOUS AND HAZARDOUS SUBSTANCE which should be handled by trained staff only.

    Lagerung

    -20 °C,-80 °C

    Informationen zur Lagerung

    Upon receipt, store at -20°C or -80°C. Avoid repeated freeze.
  • Target

    PKM (Pyruvate Kinase M1/2 (PKM))

    Andere Bezeichnung

    PKM

    Hintergrund

    Background: Glycolytic enzyme that catalyzes the transfer of a phosphoryl group from phosphoenolpyruvate (PEP) to ADP, generating ATP. Stimulates POU5F1-mediated transcriptional activation. Plays a general role in caspase independent cell death of tumor cells. The ratio betwween the highly active tetrameric form and nearly inactive dimeric form determines whether glucose carbons are channeled to biosynthetic processes or used for glycolytic ATP production. The transition between the 2 forms contributes to the control of glycolysis and is important for tumor cell proliferation and survival.

    Aliases: CTHBP antibody, Cytosolic thyroid hormone-binding protein antibody, KPYM_HUMAN antibody, OIP-3 antibody, Opa-interacting protein 3 antibody, p58 antibody, pkm antibody, PKM1 antibody, PKM2 antibody, Pyruvate kinase 2/3 antibody, Pyruvate kinase muscle isozyme antibody, Pyruvate kinase PKM antibody, THBP1 antibody, Thyroid hormone-binding protein 1 antibody, Tumor M2-PK antibody

    UniProt

    P14618

    Pathways

    Warburg Effekt
Sie sind hier:
Chat with us!