Telefon:
+49 (0)241 95 163 153
Fax:
+49 (0)241 95 163 155
E-Mail:
orders@antikoerper-online.de

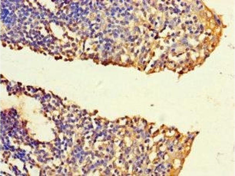
FNTB Antikörper (AA 1-300)

Dieser Kaninchen Polyklonal Antikörper detektiert spezifisch FNTB in WB, ELISA, IHC, IF und IP. Es zeigt Reaktivität gegenüber Proben von Human.
Produktnummer ABIN7165586
328,90 €
Zzgl. Versandkosten 20,00 € und MwSt
Lieferung nach: Deutschland
Lieferung in 11 bis 15 Werktagen

Kurzübersicht für FNTB Antikörper (AA 1-300) (ABIN7165586)

Target

Alle FNTB Antikörper anzeigen
FNTB (Farnesyltransferase subunit beta (FNTB))

Reaktivität

  • 59
  • 31
  • 14
  • 2
  • 1
  • 1
  • 1
  • 1
  • 1
Human

Wirt

  • 58
  • 1
Kaninchen

Klonalität

  • 38
  • 21
Polyklonal

Konjugat

  • 22
  • 6
  • 4
  • 3
  • 3
  • 3
  • 3
  • 3
  • 3
  • 3
  • 2
  • 2
  • 1
  • 1
Dieser FNTB Antikörper ist unkonjugiert

Applikation

  • 39
  • 22
  • 13
  • 12
  • 11
  • 3
  • 3
  • 1
  • 1
Western Blotting (WB), ELISA, Immunohistochemistry (IHC), Immunofluorescence (IF), Immunoprecipitation (IP)
  • Bindungsspezifität

    • 8
    • 7
    • 4
    • 4
    • 1
    • 1
    • 1
    • 1
    • 1
    • 1
    • 1
    AA 1-300

    Verwendungszweck

    FNTB Antibody

    Aufreinigung

    Protein G purified

    Reinheit

    >95 %

    Immunogen

    Recombinant Human Protein farnesyltransferase subunit beta protein (1-300AA)

    Isotyp

    IgG
  • Applikationshinweise

    Optimal working dilution should be determined by the investigator.

    Beschränkungen

    Nur für Forschungszwecke einsetzbar
  • Format

    Liquid

    Buffer

    Preservative: 0.03 % Proclin 300
    Constituents: 50 % Glycerol, 0.01M PBS, PH 7.4

    Konservierungsmittel

    ProClin

    Vorsichtsmaßnahmen

    This product contains ProClin: a POISONOUS AND HAZARDOUS SUBSTANCE which should be handled by trained staff only.

    Lagerung

    -20 °C,-80 °C

    Informationen zur Lagerung

    Upon receipt, store at -20°C or -80°C. Avoid repeated freeze.
  • Target

    FNTB (Farnesyltransferase subunit beta (FNTB))

    Andere Bezeichnung

    FNTB

    Hintergrund

    Background: Essential subunit of the farnesyltransferase complex. Catalyzes the transfer of a farnesyl moiety from farnesyl diphosphate to a cysteine at the fourth position from the C-terminus of several proteins having the C-terminal sequence Cys-aliphatic-aliphatic-X.

    Aliases: CAAX farnesyltransferase subunit beta antibody, EC 2.5.1.58 antibody, EC=2.5.1.58 antibody, Farnesyltransferase antibody, farnesyltransferase CAAX box beta1 antibody, farnesyltransferase, CAAX box, beta antibody, FNTB antibody, FNTB_HUMAN antibody, FPTB antibody, FTase beta antibody, FTase-beta antibody, MGC105303 antibody, Protein farnesyltransferase subunit beta antibody, RAS proteins prenyltransferase beta antibody, Ras proteins prenyltransferase subunit beta antibody

    UniProt

    P49356
Sie sind hier:
Chat with us!