Telefon:
+49 (0)241 95 163 153
Fax:
+49 (0)241 95 163 155
E-Mail:
orders@antikoerper-online.de

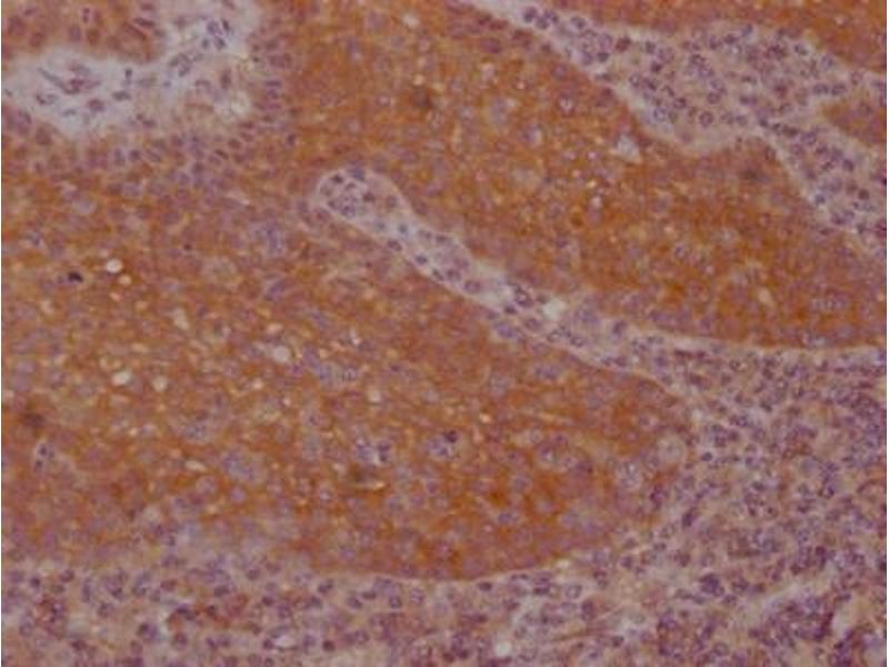
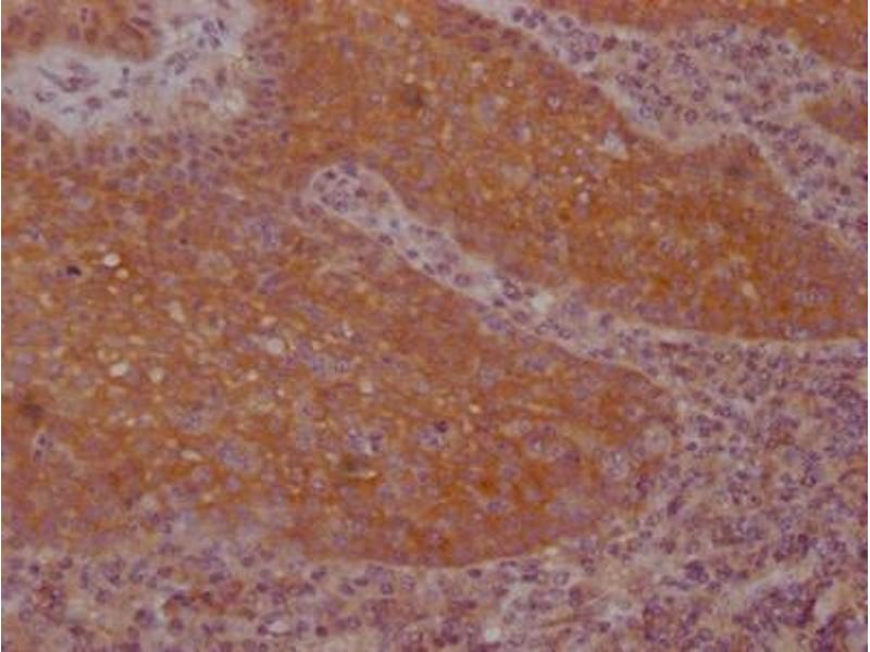
Rekombinanter FNTB Antikörper

Dieser Kaninchen Monoklonal Antikörper detektiert spezifisch FNTB in WB, ELISA, IHC und IP. Es zeigt Reaktivität gegenüber Proben von Human.
Produktnummer ABIN7127495
385,00 €
Zzgl. Versandkosten 20,00 € und MwSt
Lieferung nach: Deutschland
Lieferung in 11 bis 15 Werktagen

Kurzübersicht für Rekombinanter FNTB Antikörper (ABIN7127495)

Target

Alle FNTB Antikörper anzeigen
FNTB (Farnesyltransferase subunit beta (FNTB))

Antikörpertyp

Recombinant Antibody

Reaktivität

  • 59
  • 31
  • 14
  • 2
  • 1
  • 1
  • 1
  • 1
  • 1
Human

Wirt

  • 58
  • 1
Kaninchen

Klonalität

  • 39
  • 20
Monoklonal

Konjugat

  • 22
  • 6
  • 4
  • 3
  • 3
  • 3
  • 3
  • 3
  • 3
  • 3
  • 2
  • 2
  • 1
  • 1
Dieser FNTB Antikörper ist unkonjugiert

Applikation

  • 39
  • 22
  • 14
  • 12
  • 11
  • 3
  • 3
  • 1
  • 1
Western Blotting (WB), ELISA, Immunohistochemistry (IHC), Immunoprecipitation (IP)

Klon

5H4
  • Verwendungszweck

    FNTB Recombinant Monoclonal Antibody

    Kreuzreaktivität

    Ratte

    Aufreinigung

    Affinity-chromatography

    Immunogen

    A synthesized peptide derived from human FNTB

    Isotyp

    IgG
  • Applikationshinweise

    WB:1:500-1:5000, IHC:1:50-1:200, IP:1:200-1:1000

    Beschränkungen

    Nur für Forschungszwecke einsetzbar
  • Format

    Liquid

    Buffer

    phosphate buffered saline, pH 7.4, 150 mM NaCl, 0.02 % sodium azide and 50 % glycerol.

    Konservierungsmittel

    Sodium azide

    Vorsichtsmaßnahmen

    This product contains Sodium azide: a POISONOUS AND HAZARDOUS SUBSTANCE which should be handled by trained staff only.

    Lagerung

    -20 °C,-80 °C

    Informationen zur Lagerung

    Upon receipt, store at -20°C or -80°C. Avoid repeated freeze.
  • Target

    FNTB (Farnesyltransferase subunit beta (FNTB))

    Andere Bezeichnung

    FNTB

    Hintergrund

    Background: Essential subunit of the farnesyltransferase complex. Catalyzes the transfer of a farnesyl moiety from farnesyl diphosphate to a cysteine at the fourth position from the C-terminus of several proteins having the C-terminal sequence Cys-aliphatic-aliphatic-X.

    Aliases: Protein farnesyltransferase subunit beta (FTase-beta) (EC 2.5.1.58) (CAAX farnesyltransferase subunit beta) (Ras proteins prenyltransferase subunit beta), FNTB

    UniProt

    P49356
Sie sind hier:
Chat with us!