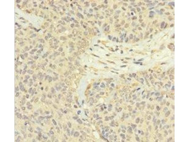
FAM60A Antikörper (AA 1-221)
Kurzübersicht für FAM60A Antikörper (AA 1-221) (ABIN7165526)
Target
Reaktivität
Wirt
Klonalität
Konjugat
Applikation
-
-
Bindungsspezifität
- AA 1-221
-
Verwendungszweck
- FAM60A Antibody
-
Aufreinigung
- Protein G purified
-
Reinheit
- >95 %
-
Immunogen
- Recombinant Human Protein FAM60A protein (1-221AA)
-
Isotyp
- IgG
-
-
-
-
Applikationshinweise
- Optimal working dilution should be determined by the investigator.
-
Beschränkungen
- Nur für Forschungszwecke einsetzbar
-
-
-
Format
- Liquid
-
Buffer
-
Preservative: 0.03 % Proclin 300
Constituents: 50 % Glycerol, 0.01M PBS, PH 7.4 -
Konservierungsmittel
- ProClin
-
Vorsichtsmaßnahmen
- This product contains ProClin: a POISONOUS AND HAZARDOUS SUBSTANCE which should be handled by trained staff only.
-
Lagerung
- -20 °C,-80 °C
-
Informationen zur Lagerung
- Upon receipt, store at -20°C or -80°C. Avoid repeated freeze.
-
-
- FAM60A (Family with Sequence Similarity 60, Member A (FAM60A))
-
Andere Bezeichnung
- FAM60A
-
Hintergrund
-
Background: Subunit of the Sin3 deacetylase complex (Sin3/HDAC), this subunit is important for the repression of genes encoding components of the TGF-beta signaling pathway.
Aliases: SINHCAF antibody, C12orf14 antibody, FAM60A antibody, L4 antibody, SIN3-HDAC complex-associated factor antibody, Protein FAM60A antibody, Tera protein homolog antibody
-
UniProt
- Q9NP50
Target
-