Telefon:
+49 (0)241 95 163 153
Fax:
+49 (0)241 95 163 155
E-Mail:
orders@antikoerper-online.de

EED Antikörper (AA 1-300)

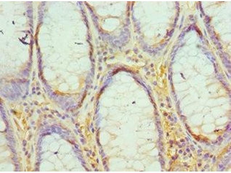
Der Kaninchen Polyklonal anti-EED Antikörper (ABIN7163806) detektiert spezifisch EED in WB, ELISA und IHC. Dieser Antikörper reagiert spezifisch mit Proben aus Human.
Produktnummer ABIN7163806
328,90 €
Zzgl. Versandkosten 20,00 € und MwSt
Lieferung nach: Deutschland
Lieferung in 11 bis 15 Werktagen

Kurzübersicht für EED Antikörper (AA 1-300) (ABIN7163806)

Target

Alle EED Antikörper anzeigen
EED (Embryonic Ectoderm Development (EED))

Reaktivität

  • 39
  • 31
  • 19
  • 17
  • 15
  • 15
  • 6
  • 6
  • 5
  • 5
  • 5
  • 4
  • 3
  • 3
  • 3
  • 3
Human

Wirt

  • 51
  • 7
  • 2
Kaninchen

Klonalität

  • 54
  • 6
Polyklonal

Konjugat

  • 39
  • 2
  • 1
  • 1
  • 1
  • 1
  • 1
  • 1
  • 1
  • 1
  • 1
  • 1
  • 1
  • 1
  • 1
  • 1
  • 1
  • 1
  • 1
  • 1
  • 1
Dieser EED Antikörper ist unkonjugiert

Applikation

  • 49
  • 16
  • 13
  • 13
  • 8
  • 8
  • 4
  • 3
  • 2
  • 2
  • 2
  • 2
  • 1
  • 1
Western Blotting (WB), ELISA, Immunohistochemistry (IHC)
  • Bindungsspezifität

    • 15
    • 6
    • 2
    • 2
    • 2
    • 2
    • 2
    • 2
    • 1
    • 1
    • 1
    • 1
    • 1
    • 1
    • 1
    • 1
    • 1
    • 1
    • 1
    • 1
    AA 1-300

    Verwendungszweck

    EED Antibody

    Aufreinigung

    Antigen Affinity Purified

    Immunogen

    Recombinant Human Polycomb protein EED protein (1-300AA)

    Isotyp

    IgG
  • Applikationshinweise

    Optimal working dilution should be determined by the investigator.

    Beschränkungen

    Nur für Forschungszwecke einsetzbar
  • Format

    Liquid

    Buffer

    PBS with 0.02 % sodium azide, 50 % glycerol, pH 7.3.

    Konservierungsmittel

    Sodium azide

    Vorsichtsmaßnahmen

    This product contains Sodium azide: a POISONOUS AND HAZARDOUS SUBSTANCE which should be handled by trained staff only.

    Lagerung

    -20 °C,-80 °C

    Informationen zur Lagerung

    Upon receipt, store at -20°C or -80°C. Avoid repeated freeze.
  • Target

    EED (Embryonic Ectoderm Development (EED))

    Andere Bezeichnung

    EED

    Hintergrund

    Background: Polycomb group (PcG) protein. Component of the PRC2/EED-EZH2 complex, which methylates \\\'Lys-9\\\' and \\\'Lys-27\\\' of histone H3, leading to transcriptional repression of the affected target gene. Also recognizes \\\'Lys-26\\\' trimethylated histone H1 with the effect of inhibiting PRC2 complex methyltransferase activity on nucleosomal histone H3 \\\'Lys-27\\\', whereas H3 \\\'Lys-27\\\' recognition has the opposite effect, enabling the propagation of this repressive mark. The PRC2/EED-EZH2 complex may also serve as a recruiting platform for DNA methyltransferases, thereby linking two epigenetic repression systems. Genes repressed by the PRC2/EED-EZH2 complex include HOXC8, HOXA9, MYT1 and CDKN2A.

    Aliases: eed antibody, EED protein antibody, EED, mouse, homolog of antibody, EED_HUMAN antibody, Embryonic ectoderm development antibody, Embryonic ectoderm development isoform a antibody, Embryonic ECTODERM development protein homolog antibody, Embryonic ectoderm development protein, mouse, homolog of antibody, hEED antibody, OTTHUMP00000235483 antibody, OTTHUMP00000235484 antibody, OTTHUMP00000235485 antibody, Polycomb protein eed antibody, WAIT 1 antibody, WAIT-1 antibody, WAIT1 antibody, WD protein associating with integrin cytoplasmic tails 1 antibody

    UniProt

    O75530
Sie sind hier:
Chat with us!