Telefon:
+49 (0)241 95 163 153
Fax:
+49 (0)241 95 163 155
E-Mail:
orders@antikoerper-online.de

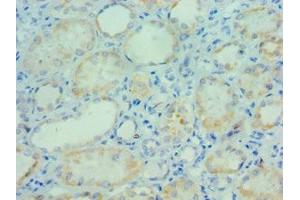
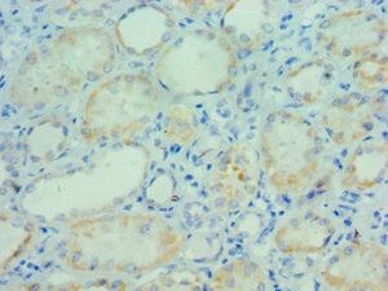
PARP3 Antikörper (AA 294-533)

Der Kaninchen Polyklonal anti-PARP3 Antikörper (ABIN7163755) detektiert spezifisch PARP3 in ELISA, WB, IHC und IF. Dieser Antikörper reagiert spezifisch mit Proben aus Human.
Produktnummer ABIN7163755
328,90 €
Zzgl. Versandkosten 20,00 € und MwSt
Lieferung nach: Deutschland
Lieferung in 11 bis 15 Werktagen

Kurzübersicht für PARP3 Antikörper (AA 294-533) (ABIN7163755)

Target

Alle PARP3 Antikörper anzeigen
PARP3 (Poly (ADP-Ribose) Polymerase Family, Member 3 (PARP3))

Reaktivität

  • 33
  • 26
  • 5
  • 2
  • 2
  • 2
  • 1
  • 1
  • 1
  • 1
Human

Wirt

  • 45
  • 3
  • 1
Kaninchen

Klonalität

  • 48
  • 1
Polyklonal

Konjugat

  • 26
  • 2
  • 2
  • 2
  • 1
  • 1
  • 1
  • 1
  • 1
  • 1
  • 1
  • 1
  • 1
  • 1
  • 1
  • 1
  • 1
  • 1
  • 1
  • 1
  • 1
Dieser PARP3 Antikörper ist unkonjugiert

Applikation

  • 34
  • 17
  • 13
  • 13
  • 12
  • 7
  • 5
  • 3
  • 1
  • 1
  • 1
ELISA, Western Blotting (WB), Immunohistochemistry (IHC), Immunofluorescence (IF)
  • Bindungsspezifität

    • 15
    • 4
    • 4
    • 3
    • 3
    • 3
    • 2
    • 1
    • 1
    • 1
    • 1
    • 1
    • 1
    • 1
    • 1
    AA 294-533

    Verwendungszweck

    PARP3 Antibody

    Kreuzreaktivität

    Maus

    Aufreinigung

    Antigen Affinity Purified

    Immunogen

    Recombinant Human Poly [ADP-ribose] polymerase 3 protein (294-533AA)

    Isotyp

    IgG
  • Applikationshinweise

    Optimal working dilution should be determined by the investigator.

    Beschränkungen

    Nur für Forschungszwecke einsetzbar
  • Format

    Liquid

    Buffer

    PBS with 0.02 % sodium azide, 50 % glycerol, pH 7.3.

    Konservierungsmittel

    Sodium azide

    Vorsichtsmaßnahmen

    This product contains Sodium azide: a POISONOUS AND HAZARDOUS SUBSTANCE which should be handled by trained staff only.

    Lagerung

    -20 °C,-80 °C

    Informationen zur Lagerung

    Upon receipt, store at -20°C or -80°C. Avoid repeated freeze.
  • Target

    PARP3 (Poly (ADP-Ribose) Polymerase Family, Member 3 (PARP3))

    Andere Bezeichnung

    PARP3

    Hintergrund

    Background: Involved in the base excision repair (BER) pathway, by catalyzing the poly(ADP-ribosyl)ation of a limited number of acceptor proteins involved in chromatin architecture and in DNA metabolism. This modification follows DNA damages and appears as an obligatory step in a detection/signaling pathway leading to the reparation of DNA strand breaks. May link the DNA damage surveillance network to the mitotic fidelity checkpoint. Negatively influences the G1/S cell cycle progression without interfering with centrosome duplication. Binds DNA. May be involved in the regulation of PRC2 and PRC3 complex-dependent gene silencing.

    Aliases: ADP ribosyltransferase (NAD+, poly (ADP ribose) antibody, ADP ribosyltransferase diphtheria toxin like 3 antibody, ADPRT-3 antibody, ADPRT3 antibody, ADPRTL2 antibody, ADPRTL3 antibody, ARTD3 antibody, hPARP 3 antibody, hPARP-3 antibody, hPARP3 antibody, IRT 1 antibody, IRT1 antibody, NAD(+) ADP ribosyltransferase 3 antibody, NAD(+) ADP-ribosyltransferase 3 antibody, NAD+ ADP ribosyltransferase 3 antibody, pADPRT 3 antibody, pADPRT-3 antibody, pADPRT3 antibody, PARP 3 antibody, PARP-3 antibody, PARP3 antibody, PARP3_HUMAN antibody, Poly (ADP ribose) polymerase family, member 3 antibody, Poly (ADP ribose) synthetase 3 antibody, Poly [ADP-ribose] polymerase 3 antibody, Poly[ADP ribose] synthetase 3 antibody, Poly[ADP-ribose] synthase 3 antibody

    UniProt

    Q9Y6F1
Sie sind hier:
Chat with us!