Telefon:
+49 (0)241 95 163 153
Fax:
+49 (0)241 95 163 155
E-Mail:
orders@antikoerper-online.de

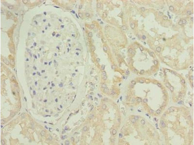
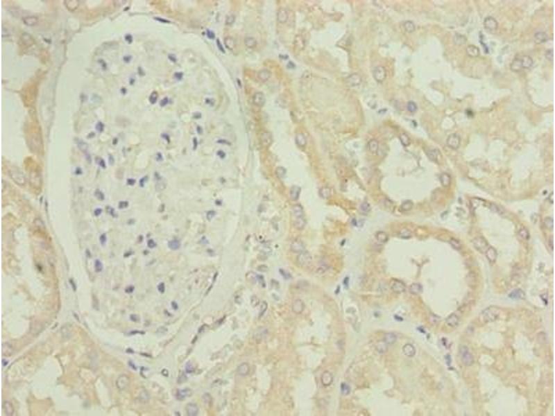
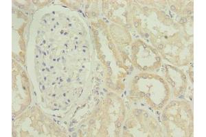
POGZ Antikörper (AA 1-300)

Der Kaninchen Polyklonal anti-POGZ Antikörper wird verwendet zum Nachweis von POGZ in Proben von Human. Er wurde validiert für ELISA und IHC.
Produktnummer ABIN7163733
328,90 €
Zzgl. Versandkosten 20,00 € und MwSt
Lieferung nach: Deutschland
Lieferung in 11 bis 15 Werktagen

Kurzübersicht für POGZ Antikörper (AA 1-300) (ABIN7163733)

Target

Alle POGZ Antikörper anzeigen
POGZ (Pogo Transposable Element with ZNF Domain (POGZ))

Reaktivität

  • 24
  • 14
  • 10
  • 8
  • 6
  • 6
  • 5
  • 5
  • 3
  • 3
  • 2
  • 2
Human

Wirt

  • 23
  • 2
Kaninchen

Klonalität

  • 25
Polyklonal

Konjugat

  • 21
  • 2
  • 1
  • 1
Dieser POGZ Antikörper ist unkonjugiert

Applikation

  • 20
  • 8
  • 6
  • 4
  • 4
  • 2
  • 1
  • 1
  • 1
ELISA, Immunohistochemistry (IHC)
  • Bindungsspezifität

    • 4
    • 4
    • 3
    • 3
    • 2
    • 2
    • 1
    • 1
    • 1
    • 1
    AA 1-300

    Verwendungszweck

    POGZ Antibody

    Aufreinigung

    Protein G purified

    Reinheit

    >95 %

    Immunogen

    Recombinant Human Pogo transposable element with ZNF domain protein (1-300AA)

    Isotyp

    IgG
  • Applikationshinweise

    Optimal working dilution should be determined by the investigator.

    Beschränkungen

    Nur für Forschungszwecke einsetzbar
  • Format

    Liquid

    Buffer

    Preservative: 0.03 % Proclin 300
    Constituents: 50 % Glycerol, 0.01M PBS, PH 7.4

    Konservierungsmittel

    ProClin

    Vorsichtsmaßnahmen

    This product contains ProClin: a POISONOUS AND HAZARDOUS SUBSTANCE which should be handled by trained staff only.

    Lagerung

    -20 °C,-80 °C

    Informationen zur Lagerung

    Upon receipt, store at -20°C or -80°C. Avoid repeated freeze.
  • Target

    POGZ (Pogo Transposable Element with ZNF Domain (POGZ))

    Andere Bezeichnung

    POGZ

    Hintergrund

    Background: Plays a role in mitotic cell cycle progression and is involved in kinetochore assembly and mitotic sister chromatid cohesion. Probably through its association with CBX5 plays a role in mitotic chromosome segregation by regulating aurora kinase B/AURKB activation and AURKB and CBX5 dissociation from chromosome arms.

    Aliases: KIAA0461 antibody, MGC71543 antibody, Pogo transposable element with ZNF domain antibody, POGZ antibody, POGZ_HUMAN antibody, putative protein product of Nbla00003 antibody, SUHW5 antibody, suppressor of hairy wing homolog antibody, Suppressor of hairy wing homolog 5 antibody, Zinc finger protein 280E antibody, Zinc finger protein 635 antibody, ZNF280E antibody, ZNF635 antibody, ZNF635M antibody

    UniProt

    Q7Z3K3
Sie sind hier:
Chat with us!