Telefon:
+49 (0)241 95 163 153
Fax:
+49 (0)241 95 163 155
E-Mail:
orders@antikoerper-online.de

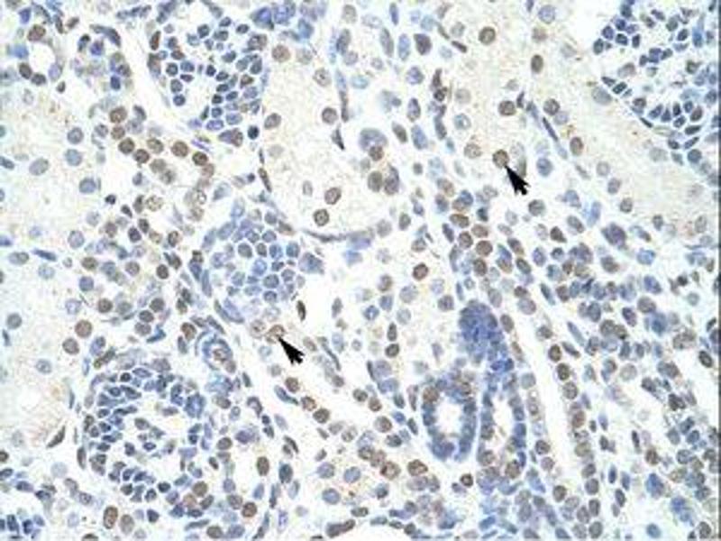
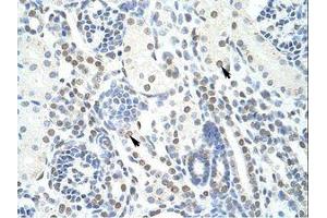
POGZ Antikörper (N-Term)

Dieser Kaninchen Polyklonal Antikörper detektiert spezifisch POGZ in WB, IHC und IHC (p). Es zeigt Reaktivität gegenüber Proben von Human, Maus, Ratte, Hund, Rind (Kuh), Kaninchen, Meerschweinchen, Pferd, Fledermaus, Affe, Hamster und Schwein.
Produktnummer ABIN203011
741,67 €
Zzgl. Versandkosten 20,00 € und MwSt
100 μL
Lieferung nach: Deutschland
Lieferung in 15 bis 20 Werktagen

Kurzübersicht für POGZ Antikörper (N-Term) (ABIN203011)

Target

Alle POGZ Antikörper anzeigen
POGZ (Pogo Transposable Element with ZNF Domain (POGZ))

Reaktivität

Human, Maus, Ratte, Hund, Rind (Kuh), Kaninchen, Meerschweinchen, Pferd, Fledermaus, Affe, Hamster, Schwein

Wirt

  • 23
  • 2
Kaninchen

Klonalität

  • 25
Polyklonal

Konjugat

  • 21
  • 2
  • 1
  • 1
Dieser POGZ Antikörper ist unkonjugiert

Applikation

  • 19
  • 9
  • 6
  • 4
  • 4
  • 1
  • 1
  • 1
  • 1
Western Blotting (WB), Immunohistochemistry (IHC), Immunohistochemistry (Paraffin-embedded Sections) (IHC (p))
  • Bindungsspezifität

    • 5
    • 3
    • 3
    • 3
    • 2
    • 2
    • 1
    • 1
    • 1
    • 1
    N-Term

    Spezifität

    Human POGZ

    Homologie

    Percent identity by BLAST analysis: Human, Mouse, Rat, Dog, Bovine, Rabbit, Horse, Pig, Guinea pig (100%).

    Aufreinigung

    Protein A purified

    Immunogen

    Synthetic peptide from N-Terminus of human POGZ (Q7Z3K3, NP_055915). Percent identity by BLAST analysis: Human, Chimpanzee, Gorilla, Gibbon, Baboon, Monkey, Marmoset, Mouse, Rat, Hamster, Elephant, Panda, Dog, Bovine, Bat, Rabbit, Horse, Pig, Opossum, Guinea pig, Turkey (100%), Zebra finch (85%).

    Type of Immunogen: Synthetic peptide

    Isotyp

    IgG
  • Applikationshinweise

    Approved: IHC, IHC-P, WB (5 μg/mL)

    Kommentare

    Target Species of Antibody: Human

    Beschränkungen

    Nur für Forschungszwecke einsetzbar
  • Format

    Lyophilized

    Rekonstitution

    After adding water, will consist of PBS buffer with 2 % sucrose

    Konzentration

    Lot specific

    Buffer

    Lyophilized from PBS with 2 % sucrose

    Handhabung

    Avoid repeat freeze-thaw cycles.

    Lagerung

    4 °C,-20 °C

    Informationen zur Lagerung

    Long term: -20°C, the use of 50% glycerol is recommended if storing aliquots in -20°C for long term use (up to 1 year)
    Short term (less than 1 week): 4°C. Avoid freeze-thaw cycles.
  • Target

    POGZ (Pogo Transposable Element with ZNF Domain (POGZ))

    Andere Bezeichnung

    POGZ

    Hintergrund

    Name/Gene ID: POGZ

    Synonyms: POGZ, KIAA0461, SUHW5, ZNF280E, Zinc finger protein 280E, ZNF635m, Zinc finger protein 635, ZNF635

    Gen-ID

    23126

    NCBI Accession

    NP_055915

    UniProt

    Q7Z3K3
Sie sind hier:
Chat with us!