Telefon:
+49 (0)241 95 163 153
Fax:
+49 (0)241 95 163 155
E-Mail:
orders@antikoerper-online.de

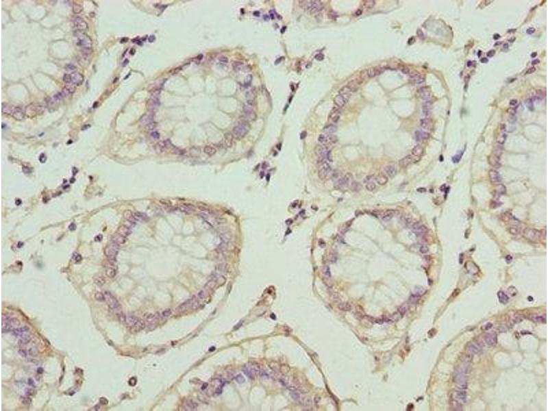
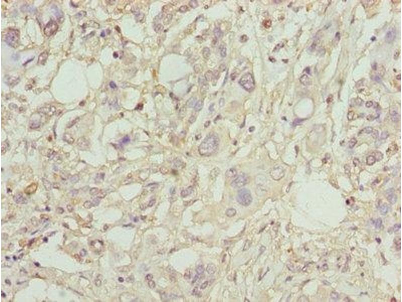
PLA2G7 Antikörper (AA 49-441)

Der Kaninchen Polyklonal anti-PLA2G7 Antikörper wird verwendet zum Nachweis von PLA2G7 in Proben von Human. Er wurde validiert für WB, ELISA und IHC.
Produktnummer ABIN7163613
328,90 €
Zzgl. Versandkosten 20,00 € und MwSt
Lieferung nach: Deutschland
Lieferung in 11 bis 15 Werktagen

Kurzübersicht für PLA2G7 Antikörper (AA 49-441) (ABIN7163613)

Target

Alle PLA2G7 (Lp-PLA2) Antikörper anzeigen
PLA2G7 (Lp-PLA2) (Lipoprotein-Associated phospholipase A2 (Lp-PLA2))

Reaktivität

  • 61
  • 20
  • 15
  • 15
  • 15
  • 2
  • 2
Human

Wirt

  • 45
  • 22
  • 1
  • 1
Kaninchen

Klonalität

  • 46
  • 23
Polyklonal

Konjugat

  • 30
  • 8
  • 7
  • 3
  • 2
  • 2
  • 1
  • 1
  • 1
  • 1
  • 1
  • 1
  • 1
  • 1
  • 1
  • 1
  • 1
  • 1
  • 1
  • 1
  • 1
  • 1
  • 1
Dieser PLA2G7 Antikörper ist unkonjugiert

Applikation

  • 50
  • 24
  • 20
  • 13
  • 13
  • 11
  • 8
  • 7
  • 5
  • 3
  • 3
  • 3
  • 2
  • 1
  • 1
  • 1
  • 1
  • 1
Western Blotting (WB), ELISA, Immunohistochemistry (IHC)
  • Bindungsspezifität

    • 15
    • 11
    • 7
    • 5
    • 3
    • 2
    • 1
    • 1
    • 1
    • 1
    • 1
    • 1
    • 1
    AA 49-441

    Verwendungszweck

    PLA2G7 Antibody

    Aufreinigung

    Protein G purified

    Reinheit

    >95 %

    Immunogen

    Recombinant Human Platelet-activating factor acetylhydrolase protein (49-441AA)

    Isotyp

    IgG
  • Applikationshinweise

    Optimal working dilution should be determined by the investigator.

    Beschränkungen

    Nur für Forschungszwecke einsetzbar
  • Format

    Liquid

    Buffer

    Preservative: 0.03 % Proclin 300
    Constituents: 50 % Glycerol, 0.01M PBS, PH 7.4

    Konservierungsmittel

    ProClin

    Vorsichtsmaßnahmen

    This product contains ProClin: a POISONOUS AND HAZARDOUS SUBSTANCE which should be handled by trained staff only.

    Lagerung

    -20 °C,-80 °C

    Informationen zur Lagerung

    Upon receipt, store at -20°C or -80°C. Avoid repeated freeze.
  • Target

    PLA2G7 (Lp-PLA2) (Lipoprotein-Associated phospholipase A2 (Lp-PLA2))

    Andere Bezeichnung

    PLA2G7

    Hintergrund

    Background: Modulates the action of platelet-activating factor (PAF) by hydrolyzing the sn-2 ester bond to yield the biologically inactive lyso-PAF. Has a specificity for substrates with a short residue at the sn-2 position. It is inactive against long-chain phospholipids.

    Aliases: Platelet-activating factor acetylhydrolase precursor antibody, 1 alkyl 2 acetylglycerophosphocholine esterase antibody, 1-alkyl-2-acetylglycerophosphocholine esterase antibody, 2 acetyl 1 alkylglycerophosphocholine esterase antibody, 2-acetyl-1-alkylglycerophosphocholine esterase antibody, EC 3.1.1.47 PAF acetylhydrolase PAF 2-acylhydrolase LDL associated phospholipase A2 antibody, Group VIIA phospholipase A2 antibody, Group-VIIA phospholipase A2 antibody, gVIIA PLA2 antibody, gVIIA-PLA2 antibody, LDL associated phospholipase A2 antibody, LDL PLA(2) antibody, LDL PLA2 antibody, LDL-associated phospholipase A2 antibody, LDL-PLA(2) antibody, Lipoprotein associated phospholipase A2 antibody, LP PLA2 antibody, PAF 2 acylhydrolase antibody, PAF 2 acylhydrolase LDL associated phospholipase A2 antibody, PAF 2-acylhydrolase antibody, PAF acetylhydrolase antibody, PAFA_HUMAN antibody, PAFAD antibody, PAFAH antibody, Phospholipase A2, group VII (platelet activating factor acetylhydrolase, plasma) antibody, PLA2G7 antibody, Platelet activating factor acetylhydrolase 2 antibody, Platelet activating factor acetylhydrolase antibody, Platelet-activating factor acetylhydrolase antibody

    UniProt

    Q13093

    Pathways

    Peptide Hormone Metabolism
Sie sind hier:
Chat with us!