Telefon:
+49 (0)241 95 163 153
Fax:
+49 (0)241 95 163 155
E-Mail:
orders@antikoerper-online.de

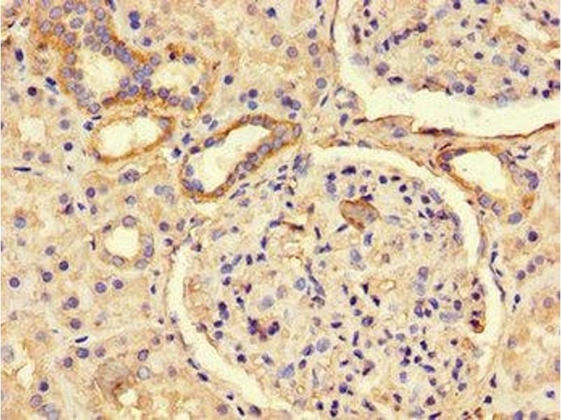
PREX2 Antikörper (AA 1417-1592)

Der Kaninchen Polyklonal anti-PREX2 Antikörper wird verwendet zum Nachweis von PREX2 in Proben von Human. Er wurde validiert für ELISA, WB, IHC und IF.
Produktnummer ABIN7163181
328,90 €
Zzgl. Versandkosten 20,00 € und MwSt
Lieferung nach: Deutschland
Lieferung in 11 bis 15 Werktagen

Kurzübersicht für PREX2 Antikörper (AA 1417-1592) (ABIN7163181)

Target

Alle PREX2 (DEPDC2) Antikörper anzeigen
PREX2 (DEPDC2) (DEP Domain Containing 2 (DEPDC2))

Reaktivität

  • 15
  • 8
  • 2
  • 1
  • 1
  • 1
  • 1
  • 1
  • 1
Human

Wirt

  • 13
  • 2
Kaninchen

Klonalität

  • 15
Polyklonal

Konjugat

  • 9
  • 3
  • 2
  • 1
Dieser PREX2 Antikörper ist unkonjugiert

Applikation

ELISA, Western Blotting (WB), Immunohistochemistry (IHC), Immunofluorescence (IF)
  • Bindungsspezifität

    • 5
    • 2
    • 2
    • 1
    • 1
    • 1
    • 1
    AA 1417-1592

    Verwendungszweck

    PREX2 Antibody

    Kreuzreaktivität

    Maus

    Aufreinigung

    Protein G purified

    Reinheit

    >95 %

    Immunogen

    Recombinant Human Phosphatidylinositol 3,4,5-trisphosphate-dependent Rac exchanger 2 protein (1417-1592AA)

    Isotyp

    IgG
  • Applikationshinweise

    Optimal working dilution should be determined by the investigator.

    Beschränkungen

    Nur für Forschungszwecke einsetzbar
  • Format

    Liquid

    Buffer

    Preservative: 0.03 % Proclin 300
    Constituents: 50 % Glycerol, 0.01M PBS, PH 7.4

    Konservierungsmittel

    ProClin

    Vorsichtsmaßnahmen

    This product contains ProClin: a POISONOUS AND HAZARDOUS SUBSTANCE which should be handled by trained staff only.

    Lagerung

    -20 °C,-80 °C

    Informationen zur Lagerung

    Upon receipt, store at -20°C or -80°C. Avoid repeated freeze.
  • Target

    PREX2 (DEPDC2) (DEP Domain Containing 2 (DEPDC2))

    Andere Bezeichnung

    PREX2

    Hintergrund

    Background: Functions as a RAC1 guanine nucleotide exchange factor (GEF), activating Rac proteins by exchanging bound GDP for free GTP. Its activity is synergistically activated by phosphatidylinositol 3,4,5-trisphosphate and the beta gamma subunits of heterotrimeric G protein. Mediates the activation of RAC1 in a PI3K-dependent manner. May be an important mediator of Rac signaling, acting directly downstream of both G protein-coupled receptors and phosphoinositide 3-kinase.

    Aliases: 4 antibody, 5)-dependent Rac exchanger 2 antibody, 5-trisphosphate-dependent Rac exchanger 2 protein antibody, 6230420N16Rik antibody, DEP domain-containing protein 2 antibody, DEP.2 antibody, DEPDC2 antibody, FLJ12987 antibody, P-Rex2 antibody, Phosphatidylinositol 3 antibody, phosphatidylinositol 3,4,5-trisphosphate-dependent Rac exchanger 2 antibody, phosphatidylinositol 3,4,5-trisphosphate-dependent Rac exchanger 2 protein antibody, phosphatidylinositol-3,4,5-trisphosphate-dependent Rac exchange factor 2 antibody, PREX2 antibody, PREX2_HUMAN antibody, PtdIns(3 antibody, PtdIns(3,4,5)-dependent Rac exchanger 2 antibody

    UniProt

    Q70Z35
Sie sind hier:
Chat with us!