Telefon:
+49 (0)241 95 163 153
Fax:
+49 (0)241 95 163 155
E-Mail:
orders@antikoerper-online.de

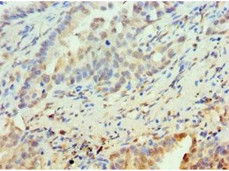
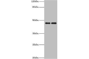
PAX6 Antikörper (AA 1-300)

Dieser Kaninchen Polyklonal Antikörper detektiert spezifisch PAX6 in WB, IHC und ELISA. Es zeigt Reaktivität gegenüber Proben von Human.
Produktnummer ABIN7162505
328,90 €
Zzgl. Versandkosten 20,00 € und MwSt
Lieferung nach: Deutschland
Lieferung in 11 bis 15 Werktagen

Kurzübersicht für PAX6 Antikörper (AA 1-300) (ABIN7162505)

Target

Alle PAX6 Antikörper anzeigen
PAX6 (Paired Box 6 (PAX6))

Reaktivität

  • 149
  • 93
  • 89
  • 18
  • 8
  • 4
  • 4
  • 3
  • 3
  • 3
  • 3
  • 2
  • 1
  • 1
  • 1
Human

Wirt

  • 114
  • 55
  • 1
Kaninchen

Klonalität

  • 90
  • 79
Polyklonal

Konjugat

  • 90
  • 9
  • 4
  • 4
  • 3
  • 3
  • 3
  • 3
  • 3
  • 3
  • 3
  • 2
  • 2
  • 2
  • 2
  • 2
  • 2
  • 2
  • 2
  • 2
  • 2
  • 2
  • 2
  • 2
  • 2
  • 2
  • 2
  • 2
  • 2
  • 2
  • 2
  • 2
Dieser PAX6 Antikörper ist unkonjugiert

Applikation

  • 115
  • 61
  • 60
  • 60
  • 38
  • 26
  • 23
  • 13
  • 13
  • 8
  • 8
  • 5
  • 2
  • 2
  • 1
  • 1
  • 1
  • 1
  • 1
Western Blotting (WB), Immunohistochemistry (IHC), ELISA
  • Bindungsspezifität

    • 43
    • 41
    • 16
    • 15
    • 10
    • 8
    • 5
    • 5
    • 4
    • 3
    • 2
    • 1
    • 1
    • 1
    • 1
    • 1
    • 1
    • 1
    • 1
    • 1
    AA 1-300

    Verwendungszweck

    PAX6 Antibody

    Kreuzreaktivität

    Maus

    Aufreinigung

    Antigen Affinity Purified

    Immunogen

    Recombinant Human Paired box protein Pax-6 protein (1-300AA)

    Isotyp

    IgG
  • Applikationshinweise

    Optimal working dilution should be determined by the investigator.

    Beschränkungen

    Nur für Forschungszwecke einsetzbar
  • Format

    Liquid

    Buffer

    PBS with 0.02 % sodium azide, 50 % glycerol, pH 7.3.

    Konservierungsmittel

    Sodium azide

    Vorsichtsmaßnahmen

    This product contains Sodium azide: a POISONOUS AND HAZARDOUS SUBSTANCE which should be handled by trained staff only.

    Lagerung

    -20 °C,-80 °C

    Informationen zur Lagerung

    Upon receipt, store at -20°C or -80°C. Avoid repeated freeze.
  • Target

    PAX6 (Paired Box 6 (PAX6))

    Andere Bezeichnung

    PAX6

    Hintergrund

    Background: Transcription factor with important functions in the development of the eye, nose, central nervous system and pancreas. Required for the differentiation of pancreatic islet alpha cells (By similarity). Competes with PAX4 in binding to a common element in the glucagon, insulin and somatostatin promoters. Regulates specification of the ventral neuron subtypes by establishing the correct progenitor domains (By similarity). Isoform 5a appears to function as a molecular switch that specifies target genes.

    Aliases: AN 2 antibody, AN antibody, AN2 antibody, Aniridia type II protein antibody, D11S812E antibody, FVH1 antibody, KIAA0552 antibody, Leucine zipper putative tumor suppressor 3 antibody, LZTS3 antibody, MGC17209 antibody, MGDA antibody, Oculorhombin antibody, Paired box 6 antibody, Paired box gene 6 (aniridia keratitis) antibody, Paired Box Gene 6 antibody, Paired box homeotic gene 6 antibody, Paired box protein Pax-6 antibody, Paired box protein Pax6 antibody, PAX 6 antibody, PAX6 antibody, PAX6_HUMAN antibody, ProSAP-interacting protein 1 antibody, PROSAPIP1 antibody, Sey antibody, WAGR antibody

    UniProt

    P26367

    Pathways

    Peptide Hormone Metabolism, Carbohydrate Homeostasis
Sie sind hier:
Chat with us!