Telefon:
+49 (0)241 95 163 153
Fax:
+49 (0)241 95 163 155
E-Mail:
orders@antikoerper-online.de

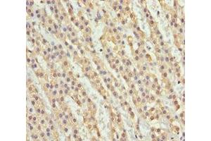
NDE1 Antikörper (AA 1-110)

Der Kaninchen Polyklonal anti-NDE1 Antikörper (ABIN7161754) detektiert spezifisch NDE1 in IHC und ELISA. Dieser Antikörper reagiert spezifisch mit Proben aus Human.
Produktnummer ABIN7161754
328,90 €
Zzgl. Versandkosten 20,00 € und MwSt
Lieferung nach: Deutschland
Lieferung in 11 bis 15 Werktagen

Kurzübersicht für NDE1 Antikörper (AA 1-110) (ABIN7161754)

Target

Alle NDE1 Antikörper anzeigen
NDE1

Reaktivität

  • 17
  • 6
  • 6
  • 1
  • 1
  • 1
  • 1
  • 1
  • 1
Human

Wirt

  • 14
  • 3
Kaninchen

Klonalität

  • 14
  • 3
Polyklonal

Konjugat

  • 17
Dieser NDE1 Antikörper ist unkonjugiert

Applikation

  • 15
  • 10
  • 6
  • 4
  • 2
  • 1
  • 1
  • 1
Immunohistochemistry (IHC), ELISA
  • Bindungsspezifität

    • 2
    • 2
    • 2
    • 1
    • 1
    • 1
    • 1
    • 1
    • 1
    • 1
    AA 1-110

    Verwendungszweck

    NDE1 Antibody

    Aufreinigung

    Antigen Affinity Purified

    Immunogen

    Recombinant Human Nuclear distribution protein nudE homolog 1 protein (1-110AA)

    Isotyp

    IgG
  • Applikationshinweise

    Optimal working dilution should be determined by the investigator.

    Beschränkungen

    Nur für Forschungszwecke einsetzbar
  • Format

    Liquid

    Buffer

    PBS with 0.02 % sodium azide, 50 % glycerol, pH 7.3.

    Konservierungsmittel

    Sodium azide

    Vorsichtsmaßnahmen

    This product contains Sodium azide: a POISONOUS AND HAZARDOUS SUBSTANCE which should be handled by trained staff only.

    Lagerung

    -20 °C,-80 °C

    Informationen zur Lagerung

    Upon receipt, store at -20°C or -80°C. Avoid repeated freeze.
  • Target

    NDE1

    Andere Bezeichnung

    NDE1

    Hintergrund

    Background: Required for centrosome duplication and formation and function of the mitotic spindle. Essential for the development of the cerebral cortex. May regulate the production of neurons by controlling the orientation of the mitotic spindle during division of cortical neuronal progenitors of the proliferative ventricular zone of the brain. Orientation of the division plane perpendicular to the layers of the cortex gives rise to two proliferative neuronal progenitors whereas parallel orientation of the division plane yields one proliferative neuronal progenitor and a post-mitotic neuron. A premature shift towards a neuronal fate within the progenitor population may result in an overall reduction in the final number of neurons and an increase in the number of neurons in the deeper layers of the cortex.

    Aliases: FLJ20101 antibody, HOM TES 87 antibody, LIS1 interacting protein NUDE1 rat homolog antibody, LIS1 interacting protein NUDE1 antibody, LIS4 antibody, NDE 1 antibody, NDE1 antibody, NDE1_HUMAN antibody, Nuclear distribution gene E homolog 1 antibody, Nuclear distribution protein nudE homolog 1 antibody, NUDE 1 antibody, NudE antibody, NudE nuclear distribution gene E homolog 1 (A. nidulans) antibody, NudE nuclear distribution gene E homolog 1 antibody, NUDE1 antibody

    UniProt

    Q9NXR1
Sie sind hier:
Chat with us!