Telefon:
+49 (0)241 95 163 153
Fax:
+49 (0)241 95 163 155
E-Mail:
orders@antikoerper-online.de

UBA3 Antikörper (Catalytic Subunit)

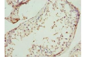
Der Kaninchen Polyklonal anti-UBA3 Antikörper (ABIN7161136) detektiert spezifisch UBA3 in IHC und ELISA. Dieser Antikörper reagiert spezifisch mit Proben aus Human.
Produktnummer ABIN7161136
328,90 €
Zzgl. Versandkosten 20,00 € und MwSt
Lieferung nach: Deutschland
Lieferung in 11 bis 15 Werktagen

Kurzübersicht für UBA3 Antikörper (Catalytic Subunit) (ABIN7161136)

Target

Alle UBA3 Antikörper anzeigen
UBA3 (Ubiquitin-Like Modifier Activating Enzyme 3 (UBA3))

Reaktivität

  • 29
  • 24
  • 15
  • 4
  • 3
  • 3
  • 2
  • 2
  • 2
  • 2
  • 1
  • 1
  • 1
  • 1
Human

Wirt

  • 30
Kaninchen

Klonalität

  • 27
  • 3
Polyklonal

Konjugat

  • 18
  • 2
  • 1
  • 1
  • 1
  • 1
  • 1
  • 1
  • 1
  • 1
  • 1
  • 1
Dieser UBA3 Antikörper ist unkonjugiert

Applikation

  • 22
  • 13
  • 8
  • 3
  • 1
  • 1
  • 1
  • 1
Immunohistochemistry (IHC), ELISA
  • Bindungsspezifität

    • 8
    • 4
    • 2
    • 1
    • 1
    • 1
    • 1
    • 1
    AA 234-463, Catalytic Subunit

    Verwendungszweck

    UBA3 Antibody

    Aufreinigung

    Antigen Affinity Purified

    Immunogen

    Recombinant Human NEDD8-activating enzyme E1 catalytic subunit protein (234-463AA)

    Isotyp

    IgG
  • Applikationshinweise

    Optimal working dilution should be determined by the investigator.

    Beschränkungen

    Nur für Forschungszwecke einsetzbar
  • Format

    Liquid

    Buffer

    PBS with 0.02 % sodium azide, 50 % glycerol, pH 7.3.

    Konservierungsmittel

    Sodium azide

    Vorsichtsmaßnahmen

    This product contains Sodium azide: a POISONOUS AND HAZARDOUS SUBSTANCE which should be handled by trained staff only.

    Lagerung

    -20 °C,-80 °C

    Informationen zur Lagerung

    Upon receipt, store at -20°C or -80°C. Avoid repeated freeze.
  • Target

    UBA3 (Ubiquitin-Like Modifier Activating Enzyme 3 (UBA3))

    Andere Bezeichnung

    UBA3

    Hintergrund

    Background: Catalytic subunit of the dimeric UBA3-NAE1 E1 enzyme. E1 activates NEDD8 by first adenylating its C-terminal glycine residue with ATP, thereafter linking this residue to the side chain of the catalytic cysteine, yielding a NEDD8-UBA3 thioester and free AMP. E1 finally transfers NEDD8 to the catalytic cysteine of UBE2M. Down-regulates steroid receptor activity. Necessary for cell cycle progression.

    Aliases: DKFZp566J164 antibody, EC 6.3.2. antibody, hUba3 antibody, MGC22384 antibody, NEDD8 activating enzyme E1 catalytic subunit antibody, NEDD8 activating enzyme E1C antibody, Nedd8 activating enzyme hUba3 antibody, NEDD8-activating enzyme E1 catalytic subunit antibody, NEDD8-activating enzyme E1C antibody, uba3 antibody, UBA3 ubiquitin activating enzyme E1 homolog antibody, UBA3_HUMAN antibody, UBE1C antibody, Ubiquitin activating enzyme 3 antibody, Ubiquitin activating enzyme E1C antibody, Ubiquitin-activating enzyme 3 antibody, Ubiquitin-activating enzyme E1C antibody, Ubiquitin-like modifier-activating enzyme 3 antibody

    UniProt

    Q8TBC4
Sie sind hier:
Chat with us!