Telefon:
+49 (0)241 95 163 153
Fax:
+49 (0)241 95 163 155
E-Mail:
orders@antikoerper-online.de

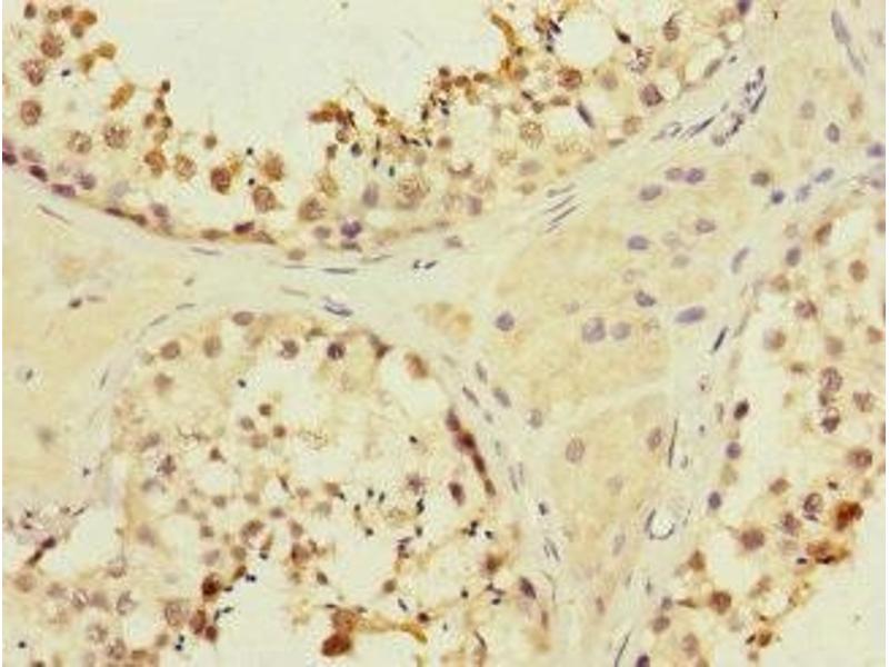
MYBL1 Antikörper (AA 503-752)

Der Kaninchen Polyklonal anti-MYBL1 Antikörper (ABIN7160377) detektiert spezifisch MYBL1 in ELISA und IHC. Dieser Antikörper reagiert spezifisch mit Proben aus Human.
Produktnummer ABIN7160377
328,90 €
Zzgl. Versandkosten 20,00 € und MwSt
Lieferung nach: Deutschland
Lieferung in 11 bis 15 Werktagen

Kurzübersicht für MYBL1 Antikörper (AA 503-752) (ABIN7160377)

Target

Alle MYBL1 Antikörper anzeigen
MYBL1 (Myb-Like Protein 1 (MYBL1))

Reaktivität

  • 33
  • 20
  • 10
  • 9
  • 7
  • 6
  • 6
  • 5
  • 3
  • 3
  • 2
  • 1
  • 1
  • 1
Human

Wirt

  • 31
  • 2
Kaninchen

Klonalität

  • 32
  • 1
Polyklonal

Konjugat

  • 21
  • 2
  • 1
  • 1
  • 1
  • 1
  • 1
  • 1
  • 1
  • 1
  • 1
  • 1
Dieser MYBL1 Antikörper ist unkonjugiert

Applikation

  • 26
  • 16
  • 3
  • 1
  • 1
  • 1
  • 1
ELISA, Immunohistochemistry (IHC)
  • Bindungsspezifität

    • 7
    • 3
    • 3
    • 2
    • 2
    • 1
    • 1
    • 1
    • 1
    • 1
    • 1
    • 1
    • 1
    • 1
    AA 503-752

    Verwendungszweck

    MYBL1 Antibody

    Aufreinigung

    Antigen Affinity Purified

    Immunogen

    Recombinant Human Myb-related protein A protein (503-752AA)

    Isotyp

    IgG
  • Applikationshinweise

    Optimal working dilution should be determined by the investigator.

    Beschränkungen

    Nur für Forschungszwecke einsetzbar
  • Format

    Liquid

    Buffer

    PBS with 0.02 % sodium azide, 50 % glycerol, pH 7.3.

    Konservierungsmittel

    Sodium azide

    Vorsichtsmaßnahmen

    This product contains Sodium azide: a POISONOUS AND HAZARDOUS SUBSTANCE which should be handled by trained staff only.

    Lagerung

    -20 °C,-80 °C

    Informationen zur Lagerung

    Upon receipt, store at -20°C or -80°C. Avoid repeated freeze.
  • Target

    MYBL1 (Myb-Like Protein 1 (MYBL1))

    Andere Bezeichnung

    MYBL1

    Hintergrund

    Background: Strong transcriptional activator, DNA-binding protein that specifically recognize the sequence 5\\\'-YAAC[GT]G-3\\\'. Could have a role in the proliferation and/or differentiation of neurogenic, spermatogenic and B-lymphoid cells.

    Aliases: A-Myb antibody, AMYB antibody, MGC120059 antibody, MGC120061 antibody, Myb related protein A antibody, Myb-like protein 1 antibody, Myb-related protein A antibody, MYBA_HUMAN antibody, MYBL1 antibody

    UniProt

    P10243

    Pathways

    Zellzyklus, Chromatin Binding
Sie sind hier:
Chat with us!