Telefon:
+49 (0)241 95 163 153
Fax:
+49 (0)241 95 163 155
E-Mail:
orders@antikoerper-online.de

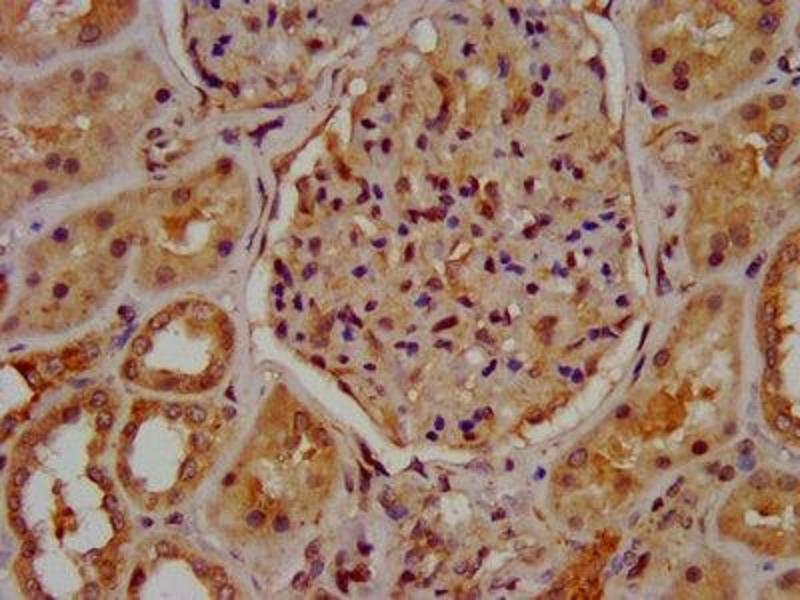
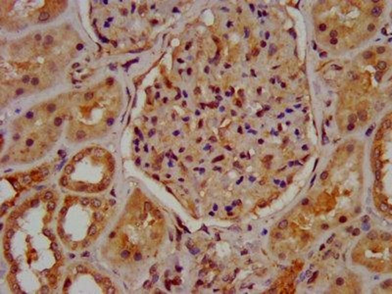
MUC20 Antikörper (AA 569-657)

Der Kaninchen Polyklonal anti-MUC20 Antikörper wird verwendet zum Nachweis von MUC20 in Proben von Human. Er wurde validiert für WB, ELISA, IHC und IF.
Produktnummer ABIN7160289
328,90 €
Zzgl. Versandkosten 20,00 € und MwSt
Lieferung nach: Deutschland
Lieferung in 11 bis 15 Werktagen

Kurzübersicht für MUC20 Antikörper (AA 569-657) (ABIN7160289)

Target

Alle MUC20 Antikörper anzeigen
MUC20 (Mucin 20, Cell Surface Associated (MUC20))

Reaktivität

  • 44
  • 13
  • 4
Human

Wirt

  • 46
  • 2
Kaninchen

Klonalität

  • 48
Polyklonal

Konjugat

  • 22
  • 5
  • 5
  • 4
  • 3
  • 3
  • 1
  • 1
  • 1
  • 1
  • 1
  • 1
Dieser MUC20 Antikörper ist unkonjugiert

Applikation

  • 34
  • 27
  • 23
  • 16
  • 13
  • 11
  • 3
  • 1
Western Blotting (WB), ELISA, Immunohistochemistry (IHC), Immunofluorescence (IF)
  • Bindungsspezifität

    • 10
    • 8
    • 7
    • 4
    • 4
    • 3
    • 1
    • 1
    • 1
    • 1
    • 1
    AA 569-657

    Verwendungszweck

    MUC20 Antibody

    Aufreinigung

    Protein G purified

    Reinheit

    >95 %

    Immunogen

    Recombinant Human Mucin-20 protein (569-657AA)

    Isotyp

    IgG
  • Applikationshinweise

    Optimal working dilution should be determined by the investigator.

    Beschränkungen

    Nur für Forschungszwecke einsetzbar
  • Format

    Liquid

    Buffer

    Preservative: 0.03 % Proclin 300
    Constituents: 50 % Glycerol, 0.01M PBS, pH 7.4

    Konservierungsmittel

    ProClin

    Vorsichtsmaßnahmen

    This product contains ProClin: a POISONOUS AND HAZARDOUS SUBSTANCE which should be handled by trained staff only.

    Lagerung

    -20 °C,-80 °C

    Informationen zur Lagerung

    Upon receipt, store at -20°C or -80°C. Avoid repeated freeze.
  • Target

    MUC20 (Mucin 20, Cell Surface Associated (MUC20))

    Andere Bezeichnung

    MUC20

    Hintergrund

    Background: May regulate MET signaling cascade. Seems to decrease hepatocyte growth factor (HGF)-induced transient MAPK activation. Blocks GRB2 recruitment to MET thus suppressing the GRB2-RAS pathway. Inhibits HGF-induced proliferation of MMP1 and MMP9 expression.

    Aliases: MUC 20 antibody, MUC-20 antibody, Muc20 antibody, MUC20_HUMAN antibody, Mucin 20 antibody, Mucin 20, cell surface associated antibody, Mucin-20 antibody, Transmembrane mucin MUC20S antibody

    UniProt

    Q8N307
Sie sind hier:
Chat with us!