Telefon:
+49 (0)241 95 163 153
Fax:
+49 (0)241 95 163 155
E-Mail:
orders@antikoerper-online.de

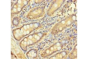
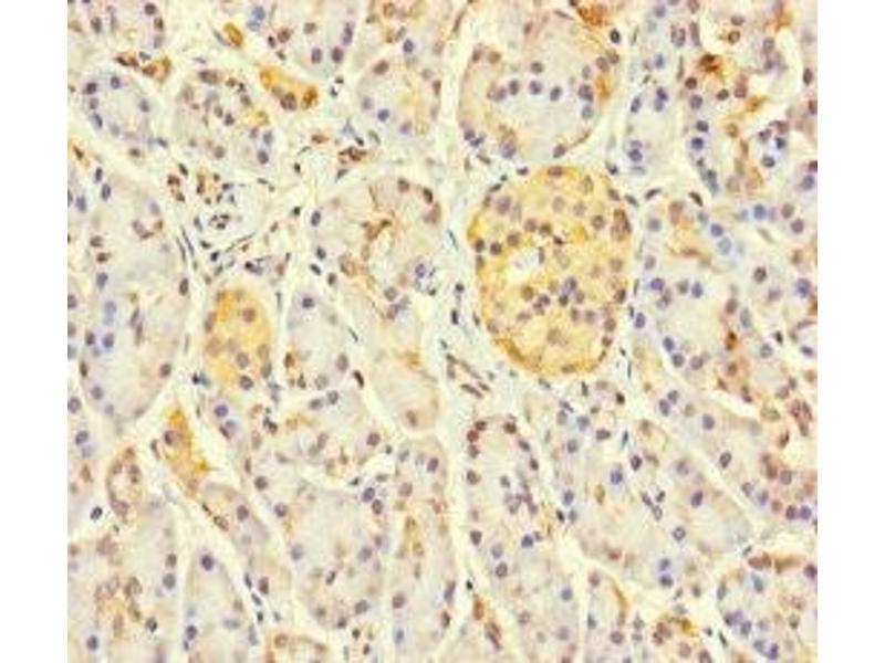
LOXL3 Antikörper (AA 401-608)

Der Kaninchen Polyklonal anti-LOXL3 Antikörper (ABIN7158841) detektiert spezifisch LOXL3 in IHC und ELISA. Dieser Antikörper reagiert spezifisch mit Proben aus Human.
Produktnummer ABIN7158841
328,90 €
Zzgl. Versandkosten 20,00 € und MwSt
Lieferung nach: Deutschland
Lieferung in 11 bis 15 Werktagen

Kurzübersicht für LOXL3 Antikörper (AA 401-608) (ABIN7158841)

Target

Alle LOXL3 Antikörper anzeigen
LOXL3 (Lysyl Oxidase-Like 3 (LOXL3))

Reaktivität

  • 32
  • 11
  • 2
  • 1
  • 1
  • 1
  • 1
  • 1
  • 1
  • 1
Human

Wirt

  • 31
  • 2
Kaninchen

Klonalität

  • 32
  • 1
Polyklonal

Konjugat

  • 17
  • 3
  • 3
  • 2
  • 1
  • 1
  • 1
  • 1
  • 1
  • 1
  • 1
  • 1
Dieser LOXL3 Antikörper ist unkonjugiert

Applikation

  • 20
  • 16
  • 15
  • 3
  • 2
  • 2
  • 1
  • 1
  • 1
Immunohistochemistry (IHC), ELISA
  • Bindungsspezifität

    • 8
    • 4
    • 4
    • 3
    • 2
    • 1
    • 1
    • 1
    • 1
    AA 401-608

    Verwendungszweck

    LOXL3 Antibody

    Aufreinigung

    Protein G purified

    Reinheit

    >95 %

    Immunogen

    Recombinant Human Lysyl oxidase homolog 3 protein (401-608AA)

    Isotyp

    IgG
  • Applikationshinweise

    Optimal working dilution should be determined by the investigator.

    Beschränkungen

    Nur für Forschungszwecke einsetzbar
  • Format

    Liquid

    Buffer

    Preservative: 0.03 % Proclin 300
    Constituents: 50 % Glycerol, 0.01M PBS, PH 7.4

    Konservierungsmittel

    ProClin

    Vorsichtsmaßnahmen

    This product contains ProClin: a POISONOUS AND HAZARDOUS SUBSTANCE which should be handled by trained staff only.

    Lagerung

    -20 °C,-80 °C

    Informationen zur Lagerung

    Upon receipt, store at -20°C or -80°C. Avoid repeated freeze.
  • Target

    LOXL3 (Lysyl Oxidase-Like 3 (LOXL3))

    Andere Bezeichnung

    LOXL3

    Hintergrund

    Background: Both isoforms function as amine oxidases toward elastin and different types of collagens. Isoform 1 shows the highest activity toward collagen type VIII, while Isoform 2 presents the highest activity toward collagen type IV.

    Aliases: LOXL antibody, Loxl3 antibody, LOXL3_HUMAN antibody, Lysyl oxidase homolog 3 antibody, Lysyl oxidase like 3 antibody, Lysyl oxidase-like protein 3 antibody

    UniProt

    P58215
Sie sind hier:
Chat with us!