Telefon:
+49 (0)241 95 163 153
Fax:
+49 (0)241 95 163 155
E-Mail:
orders@antikoerper-online.de

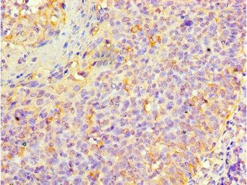
KRT6A Antikörper (AA 2-564)

Der Kaninchen Polyklonal anti-KRT6A Antikörper wird verwendet zum Nachweis von KRT6A in Proben von Human. Er wurde validiert für WB, IHC, ELISA und IF.
Produktnummer ABIN7157433
328,90 €
Zzgl. Versandkosten 20,00 € und MwSt
Lieferung nach: Deutschland
Lieferung in 11 bis 15 Werktagen

Kurzübersicht für KRT6A Antikörper (AA 2-564) (ABIN7157433)

Target

Alle KRT6A Antikörper anzeigen
KRT6A (Keratin 6A (KRT6A))

Reaktivität

  • 88
  • 23
  • 13
  • 4
  • 3
  • 3
  • 3
  • 3
  • 2
  • 2
  • 1
  • 1
  • 1
  • 1
Human

Wirt

  • 61
  • 39
  • 2
Kaninchen

Klonalität

  • 58
  • 44
Polyklonal

Konjugat

  • 55
  • 11
  • 7
  • 5
  • 2
  • 2
  • 2
  • 2
  • 2
  • 2
  • 2
  • 2
  • 2
  • 1
  • 1
  • 1
  • 1
  • 1
  • 1
Dieser KRT6A Antikörper ist unkonjugiert

Applikation

  • 57
  • 49
  • 35
  • 20
  • 20
  • 8
  • 6
  • 6
  • 3
  • 3
  • 3
  • 2
  • 1
Western Blotting (WB), Immunohistochemistry (IHC), ELISA, Immunofluorescence (IF)
  • Bindungsspezifität

    • 9
    • 7
    • 7
    • 4
    • 4
    • 3
    • 2
    • 2
    • 2
    • 1
    • 1
    • 1
    • 1
    • 1
    • 1
    AA 2-564

    Verwendungszweck

    KRT6A Antibody

    Aufreinigung

    Protein G purified

    Reinheit

    >95 %

    Immunogen

    Recombinant Human Keratin, type II cytoskeletal 6A protein (2-564AA)

    Isotyp

    IgG
  • Applikationshinweise

    Optimal working dilution should be determined by the investigator.

    Beschränkungen

    Nur für Forschungszwecke einsetzbar
  • Format

    Liquid

    Buffer

    Preservative: 0.03 % Proclin 300
    Constituents: 50 % Glycerol, 0.01M PBS, PH 7.4

    Konservierungsmittel

    ProClin

    Vorsichtsmaßnahmen

    This product contains ProClin: a POISONOUS AND HAZARDOUS SUBSTANCE which should be handled by trained staff only.

    Lagerung

    -20 °C,-80 °C

    Informationen zur Lagerung

    Upon receipt, store at -20°C or -80°C. Avoid repeated freeze.
  • Target

    KRT6A (Keratin 6A (KRT6A))

    Andere Bezeichnung

    KRT6A

    Hintergrund

    CK-6A antibody, CK-6D antibody, CK6A antibody, CK6C antibody, CK6D antibody, Cytokeratin-6A antibody, Cytokeratin-6D antibody, K2C6A_HUMAN antibody, K6A antibody, K6C antibody, K6D antibody, keratin 6A antibody, Keratin antibody, Keratin, type II cytoskeletal 6A antibody, Keratin-6A antibody, Krt6a antibody, KRT6C antibody, KRT6D antibody, type II cytoskeletal 6A antibody, Type-II keratin Kb6 antibody

    UniProt

    P02538
Sie sind hier:
Chat with us!