Telefon:
+49 (0)241 95 163 153
Fax:
+49 (0)241 95 163 155
E-Mail:
orders@antikoerper-online.de

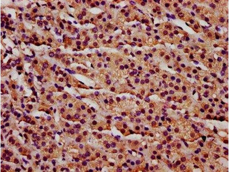
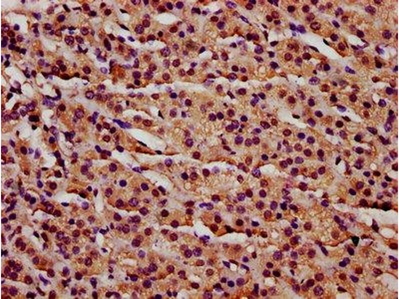
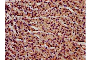
IFT140 Antikörper (AA 1291-1462)

Der Kaninchen Polyklonal anti-IFT140 Antikörper (ABIN7156969) detektiert spezifisch IFT140 in ELISA und IHC. Dieser Antikörper reagiert spezifisch mit Proben aus Human.
Produktnummer ABIN7156969
394,68 €
Zzgl. Versandkosten 20,00 € und MwSt
Lieferung nach: Deutschland
Lieferung in 11 bis 15 Werktagen

Kurzübersicht für IFT140 Antikörper (AA 1291-1462) (ABIN7156969)

Target

Alle IFT140 Antikörper anzeigen
IFT140 (Intraflagellar Transport 140 Homolog (IFT140))

Reaktivität

  • 11
  • 4
  • 4
  • 2
  • 2
  • 1
  • 1
  • 1
  • 1
Human

Wirt

  • 11
Kaninchen

Klonalität

  • 11
Polyklonal

Konjugat

  • 8
  • 1
  • 1
  • 1
Dieser IFT140 Antikörper ist unkonjugiert

Applikation

  • 7
  • 5
  • 2
  • 1
ELISA, Immunohistochemistry (IHC)
  • Bindungsspezifität

    • 3
    • 1
    • 1
    • 1
    • 1
    • 1
    AA 1291-1462

    Verwendungszweck

    IFT140 Antibody

    Aufreinigung

    Protein G purified

    Reinheit

    >95 %

    Immunogen

    Recombinant Human Intraflagellar transport protein 140 homolog protein (1291-1462AA)

    Isotyp

    IgG
  • Applikationshinweise

    Optimal working dilution should be determined by the investigator.

    Beschränkungen

    Nur für Forschungszwecke einsetzbar
  • Format

    Liquid

    Buffer

    Preservative: 0.03 % Proclin 300
    Constituents: 50 % Glycerol, 0.01M PBS, pH 7.4

    Konservierungsmittel

    ProClin

    Vorsichtsmaßnahmen

    This product contains ProClin: a POISONOUS AND HAZARDOUS SUBSTANCE which should be handled by trained staff only.

    Lagerung

    -20 °C,-80 °C

    Informationen zur Lagerung

    Upon receipt, store at -20°C or -80°C. Avoid repeated freeze.
  • Target

    IFT140 (Intraflagellar Transport 140 Homolog (IFT140))

    Andere Bezeichnung

    IFT140

    Hintergrund

    Background: Component of the IFT complex A (IFT-A), a complex required for retrograde ciliary transport. Plays a pivotal role in proper development and function of ciliated cells. Involved in ciliogenesis and cilia maintenance (PubMed:22503633). May play a role in ciliary assembly. Required for the development and maintenance of the outer segments of rod and cone photoreceptor cells. Plays a role in maintenance and the delivery of opsin to the outer segment of photoreceptor cells (By similarity).

    Aliases: IFT140 antibody, KIAA0590 antibody, WDTC2 antibody, Intraflagellar transport protein 140 homolog antibody, WD and tetratricopeptide repeats protein 2 antibody

    UniProt

    Q96RY7

    Pathways

    Hedgehog Signalweg
Sie sind hier:
Chat with us!