Telefon:
+49 (0)241 95 163 153
Fax:
+49 (0)241 95 163 155
E-Mail:
orders@antikoerper-online.de

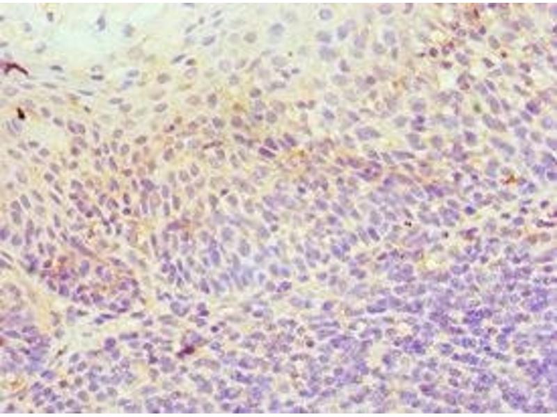
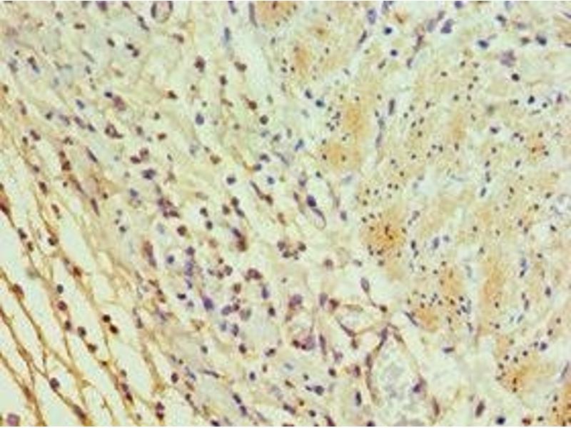
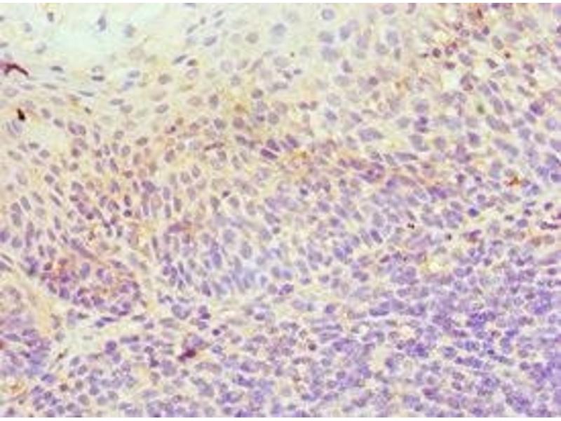
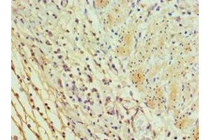
ICOSLG Antikörper (AA 19-256)

Dieser Kaninchen Polyklonal Antikörper detektiert spezifisch ICOSLG in IHC und ELISA. Es zeigt Reaktivität gegenüber Proben von Human.
Produktnummer ABIN7156037
328,90 €
Zzgl. Versandkosten 20,00 € und MwSt
Lieferung nach: Deutschland
Lieferung in 11 bis 15 Werktagen

Kurzübersicht für ICOSLG Antikörper (AA 19-256) (ABIN7156037)

Target

Alle ICOSLG Antikörper anzeigen
ICOSLG (Inducible T-Cell Co-Stimulator Ligand (ICOSLG))

Reaktivität

  • 103
  • 17
  • 1
  • 1
  • 1
  • 1
  • 1
  • 1
Human

Wirt

  • 56
  • 46
  • 8
  • 5
  • 1
Kaninchen

Klonalität

  • 74
  • 41
  • 1
Polyklonal

Konjugat

  • 60
  • 10
  • 8
  • 4
  • 3
  • 2
  • 2
  • 2
  • 2
  • 2
  • 2
  • 2
  • 2
  • 2
  • 2
  • 2
  • 2
  • 2
  • 2
  • 1
  • 1
  • 1
Dieser ICOSLG Antikörper ist unkonjugiert

Applikation

  • 54
  • 39
  • 35
  • 34
  • 18
  • 16
  • 15
  • 5
  • 4
  • 4
  • 4
  • 3
  • 3
  • 2
  • 2
  • 2
  • 2
  • 1
  • 1
  • 1
  • 1
  • 1
  • 1
  • 1
Immunohistochemistry (IHC), ELISA
  • Bindungsspezifität

    • 22
    • 7
    • 5
    • 5
    • 4
    • 4
    • 3
    • 2
    • 2
    • 2
    • 2
    • 1
    • 1
    • 1
    • 1
    • 1
    • 1
    • 1
    • 1
    • 1
    • 1
    • 1
    AA 19-256

    Verwendungszweck

    ICOSLG Antibody

    Aufreinigung

    Antigen Affinity Purified

    Immunogen

    Recombinant Human ICOS ligand protein (19-256AA)

    Isotyp

    IgG
  • Applikationshinweise

    Optimal working dilution should be determined by the investigator.

    Beschränkungen

    Nur für Forschungszwecke einsetzbar
  • Format

    Liquid

    Buffer

    PBS with 0.02 % sodium azide, 50 % glycerol, pH 7.3.

    Konservierungsmittel

    Sodium azide

    Vorsichtsmaßnahmen

    This product contains Sodium azide: a POISONOUS AND HAZARDOUS SUBSTANCE which should be handled by trained staff only.

    Lagerung

    -20 °C,-80 °C

    Informationen zur Lagerung

    Upon receipt, store at -20°C or -80°C. Avoid repeated freeze.
  • Target

    ICOSLG (Inducible T-Cell Co-Stimulator Ligand (ICOSLG))

    Andere Bezeichnung

    ICOSLG

    Hintergrund

    Background: Ligand for the T-cell-specific cell surface receptor ICOS. Acts as a costimulatory signal for T-cell proliferation and cytokine secretion, induces also B-cell proliferation and differentiation into plasma cells. Could play an important role in mediating local tissue responses to inflammatory conditions, as well as in modulating the secondary immune response by co-stimulating memory T-cell function (By similarity).

    Aliases: B7 H2 antibody, B7 homolog 2 antibody, B7 homologue 2 antibody, B7 like protein Gl50 antibody, B7 related protein 1 antibody, B7-H2 antibody, B7-like protein Gl50 antibody, B7-related protein 1 antibody, B7H2 antibody, B7RP 1 antibody, B7RP-1 antibody, B7RP1 antibody, CD 275 antibody, CD275 antibody, CD275 antigen antibody, GL 50 antibody, GL50 antibody, ICOS L antibody, ICOS LG antibody, ICOS ligand antibody, ICOSL antibody, ICOSL_HUMAN antibody, Icoslg antibody, Inducible T cell co stimulator ligand antibody, KIAA0653 antibody, LICOS antibody, Transmembrane protein B7 H2 ICOS ligand antibody

    UniProt

    O75144

    Pathways

    Production of Molecular Mediator of Immune Response, Activated T Cell Proliferation
Sie sind hier:
Chat with us!