Telefon:
+49 (0)241 95 163 153
Fax:
+49 (0)241 95 163 155
E-Mail:
orders@antikoerper-online.de

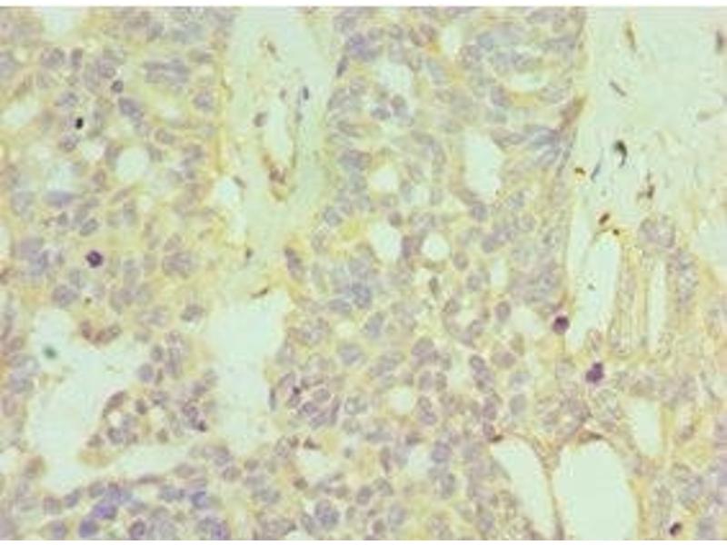
HYAL1 Antikörper (AA 136-435)

Der Kaninchen Polyklonal anti-HYAL1 Antikörper wird verwendet zum Nachweis von HYAL1 in Proben von Human. Er wurde validiert für IHC und ELISA.
Produktnummer ABIN7155969
328,90 €
Zzgl. Versandkosten 20,00 € und MwSt
Lieferung nach: Deutschland
Lieferung in 11 bis 15 Werktagen

Kurzübersicht für HYAL1 Antikörper (AA 136-435) (ABIN7155969)

Target

Alle HYAL1 Antikörper anzeigen
HYAL1 (Hyaluronidase-1 (HYAL1))

Reaktivität

  • 63
  • 12
  • 11
  • 5
  • 4
  • 4
  • 3
  • 2
  • 2
  • 2
  • 2
  • 1
  • 1
Human

Wirt

  • 63
  • 6
  • 1
Kaninchen

Klonalität

  • 67
  • 3
Polyklonal

Konjugat

  • 40
  • 5
  • 4
  • 2
  • 1
  • 1
  • 1
  • 1
  • 1
  • 1
  • 1
  • 1
  • 1
  • 1
  • 1
  • 1
  • 1
  • 1
  • 1
  • 1
  • 1
  • 1
  • 1
Dieser HYAL1 Antikörper ist unkonjugiert

Applikation

  • 44
  • 31
  • 17
  • 13
  • 13
  • 10
  • 9
  • 9
  • 4
  • 3
  • 2
  • 1
  • 1
  • 1
Immunohistochemistry (IHC), ELISA
  • Bindungsspezifität

    • 15
    • 9
    • 5
    • 5
    • 4
    • 4
    • 2
    • 2
    • 2
    • 2
    • 1
    • 1
    • 1
    • 1
    • 1
    • 1
    AA 136-435

    Verwendungszweck

    HYAL1 Antibody

    Aufreinigung

    Antigen Affinity Purified

    Immunogen

    Recombinant Human Hyaluronidase-1 protein (136-435AA)

    Isotyp

    IgG
  • Applikationshinweise

    Optimal working dilution should be determined by the investigator.

    Beschränkungen

    Nur für Forschungszwecke einsetzbar
  • Format

    Liquid

    Buffer

    PBS with 0.02 % sodium azide, 50 % glycerol, pH 7.3.

    Konservierungsmittel

    Sodium azide

    Vorsichtsmaßnahmen

    This product contains Sodium azide: a POISONOUS AND HAZARDOUS SUBSTANCE which should be handled by trained staff only.

    Lagerung

    -20 °C,-80 °C

    Informationen zur Lagerung

    Upon receipt, store at -20°C or -80°C. Avoid repeated freeze.
  • Target

    HYAL1 (Hyaluronidase-1 (HYAL1))

    Andere Bezeichnung

    HYAL1

    Hintergrund

    Background: May have a role in promoting tumor progression. May block the TGFB1-enhanced cell growth.

    Aliases: HYAL 1 antibody, Hyal-1 antibody, HYAL1 antibody, HYAL1_HUMAN antibody, Hyaluronidase 1 antibody, Hyaluronidase-1 antibody, Hyaluronoglucosaminidase 1 antibody, Hyaluronoglucosaminidase-1 antibody, Hyaluronoglucosaminidase1 antibody, LUCA 1 antibody, LUCA-1 antibody, LUCA1 antibody, Lung carcinoma protein 1 antibody, MGC45987 antibody, NAT6 antibody, Plasma hyaluronidase antibody, Tumor suppressor LUCA 1 antibody

    UniProt

    Q12794

    Pathways

    Glycosaminoglycan Metabolic Process
Sie sind hier:
Chat with us!