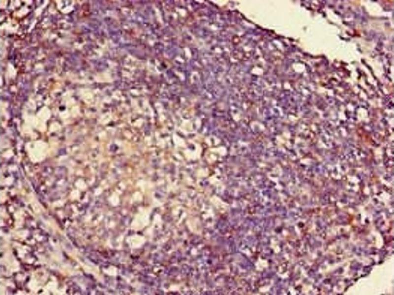
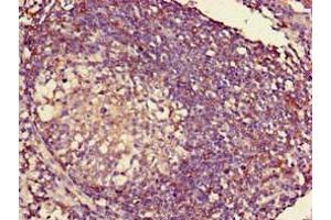
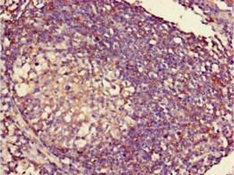
HLA-C Antikörper (AA 25-308) (Biotin)
Kurzübersicht für HLA-C Antikörper (AA 25-308) (Biotin) (ABIN7155626)
Target
Alle HLA-C Antikörper anzeigenReaktivität
Wirt
Klonalität
Konjugat
Applikation
-
-
Bindungsspezifität
- AA 25-308
-
Verwendungszweck
- HLA-C Antibody, Biotin conjugated
-
Aufreinigung
- Protein G purified
-
Reinheit
- >95 %
-
Immunogen
- Recombinant Human HLA-C protein (25-308AA)
-
Isotyp
- IgG
-
-
-
-
Applikationshinweise
- Optimal working dilution should be determined by the investigator.
-
Beschränkungen
- Nur für Forschungszwecke einsetzbar
-
-
-
Format
- Liquid
-
Buffer
-
Preservative: 0.03 % Proclin 300
Constituents: 50 % Glycerol, 0.01M PBS, PH 7.4 -
Konservierungsmittel
- ProClin
-
Vorsichtsmaßnahmen
- This product contains ProClin: a POISONOUS AND HAZARDOUS SUBSTANCE which should be handled by trained staff only.
-
Lagerung
- -20 °C,-80 °C
-
Informationen zur Lagerung
- Upon receipt, store at -20°C or -80°C. Avoid repeated freeze.
-
-
- HLA-C (Major Histocompatibility Complex Class I C (HLA-C))
-
Andere Bezeichnung
- HLA-C
-
Hintergrund
-
Background: Involved in the presentation of foreign antigens to the immune system.
Aliases: HLA class I histocompatibility antigen, Cw-6 alpha chain (MHC class I antigen Cw*6), HLA-C, HLAC
-
UniProt
- O78179
-
Pathways
- Regulation of Leukocyte Mediated Immunity, Positive Regulation of Immune Effector Process, Human Leukocyte Antigen (HLA) in Adaptive Immune Response
Target
-