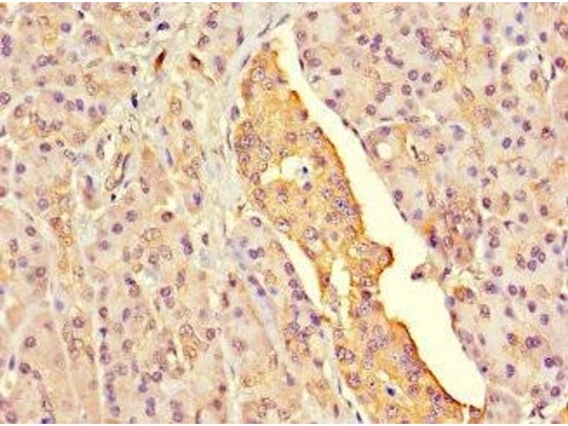
G6PC2 Antikörper (AA 78-115)
Kurzübersicht für G6PC2 Antikörper (AA 78-115) (ABIN7153908)
Target
Reaktivität
Wirt
Klonalität
Konjugat
Applikation
-
-
Bindungsspezifität
- AA 78-115
-
Verwendungszweck
- G6PC2 Antibody
-
Aufreinigung
- Protein G purified
-
Reinheit
- >95 %
-
Immunogen
- Recombinant Human Glucose-6-phosphatase 2 protein (78-115AA)
-
Isotyp
- IgG
-
-
-
-
Applikationshinweise
- Optimal working dilution should be determined by the investigator.
-
Beschränkungen
- Nur für Forschungszwecke einsetzbar
-
-
-
Format
- Liquid
-
Buffer
-
Preservative: 0.03 % Proclin 300
Constituents: 50 % Glycerol, 0.01M PBS, PH 7.4 -
Konservierungsmittel
- ProClin
-
Vorsichtsmaßnahmen
- This product contains ProClin: a POISONOUS AND HAZARDOUS SUBSTANCE which should be handled by trained staff only.
-
Lagerung
- -20 °C,-80 °C
-
Informationen zur Lagerung
- Upon receipt, store at -20°C or -80°C. Avoid repeated freeze.
-
-
- G6PC2 (Glucose-6-Phosphatase, Catalytic, 2 (G6PC2))
-
Andere Bezeichnung
- G6PC2
-
Hintergrund
-
Background: May hydrolyze glucose-6-phosphate to glucose in the endoplasmic reticulum. May be responsible for glucose production through glycogenolysis and gluconeogenesis (By similarity).
Aliases: G6PC2 antibody, IGRPGlucose-6-phosphatase 2 antibody, G-6-Pase 2 antibody, G6Pase 2 antibody, EC 3.1.3.9 antibody, Islet-specific glucose-6-phosphatase catalytic subunit-related protein antibody
-
UniProt
- Q9NQR9
Target
-