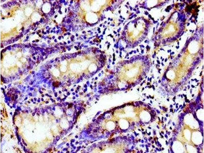
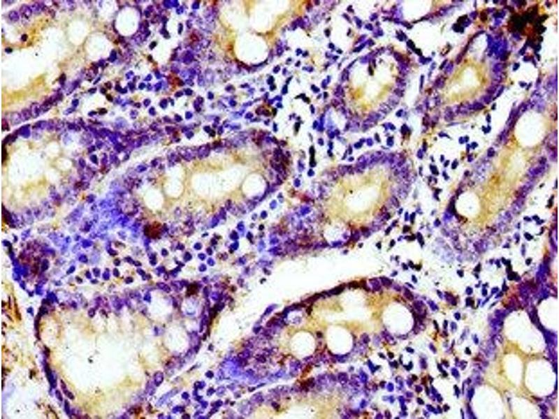
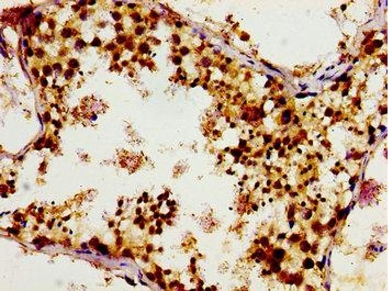
TUBGCP4 Antikörper (AA 203-309)
Kurzübersicht für TUBGCP4 Antikörper (AA 203-309) (ABIN7153569)
Target
Alle TUBGCP4 Antikörper anzeigenReaktivität
Wirt
Klonalität
Konjugat
Applikation
-
-
Bindungsspezifität
- AA 203-309
-
Verwendungszweck
- TUBGCP4 Antibody
-
Aufreinigung
- Protein G purified
-
Reinheit
- >95 %
-
Immunogen
- Recombinant Human Gamma-tubulin complex component 4 protein (203-309AA)
-
Isotyp
- IgG
-
-
-
-
Applikationshinweise
- Optimal working dilution should be determined by the investigator.
-
Beschränkungen
- Nur für Forschungszwecke einsetzbar
-
-
-
Format
- Liquid
-
Buffer
-
Preservative: 0.03 % Proclin 300
Constituents: 50 % Glycerol, 0.01M PBS, pH 7.4 -
Konservierungsmittel
- ProClin
-
Vorsichtsmaßnahmen
- This product contains ProClin: a POISONOUS AND HAZARDOUS SUBSTANCE which should be handled by trained staff only.
-
Lagerung
- -20 °C,-80 °C
-
Informationen zur Lagerung
- Upon receipt, store at -20°C or -80°C. Avoid repeated freeze.
-
-
- TUBGCP4 (Tubulin, gamma Complex Associated Protein 4 (TUBGCP4))
-
Andere Bezeichnung
- TUBGCP4
-
Hintergrund
-
Background: Gamma-tubulin complex is necessary for microtubule nucleation at the centrosome.
Aliases: TUBGCP4 antibody, 76P antibody, GCP4 antibody, Gamma-tubulin complex component 4 antibody, GCP-4 antibody, hGCP4 antibody, Gamma-ring complex protein 76 kDa antibody, h76p antibody, hGrip76 antibody
-
UniProt
- Q9UGJ1
-
Pathways
- M Phase
Target
-